Antibody data
- Antibody Data
- Antigen structure
- References [0]
- Comments [0]
- Validations
- Western blot [1]
- Immunohistochemistry [1]
- Flow cytometry [1]
Submit
Validation data
Reference
Comment
Report error
- Product number
- NB200-631 - Provider product page

- Provider
- Novus Biologicals
- Proper citation
- Novus Cat#NB200-631, RRID:AB_10003293
- Product name
- Mouse Monoclonal RPSA Antibody
- Antibody type
- Monoclonal
- Description
- Ammonium sulfate precipitation.
- Reactivity
- Human, Mouse
- Host
- Mouse
- Isotype
- IgM
- Vial size
- 500 uL
- Concentration
- 0.2 mg/ml
- Storage
- Store at 4C. Do not freeze.
No comments: Submit comment
Supportive validation
- Submitted by
- Novus Biologicals (provider)
- Main image

- Experimental details
- Western Blot: RPSA Antibody (MLuC5) [NB200-631] - Analysis of 25 ug of HepG2 (lane 1) and Hela (lane 2) cell lysates.
Supportive validation
- Submitted by
- Novus Biologicals (provider)
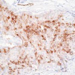
- Main image

- Experimental details
- Immunohistochemistry-Paraffin: RPSA Antibody (MLuC5) [NB200-631] - Human breast carcinoma stained with Laminin Receptor antibody using peroxidase-conjugate and DAB chromogen. Note cell membrane with some cytoplasmic staining of tumor cells.
Supportive validation
- Submitted by
- Novus Biologicals (provider)
- Main image

- Experimental details
- Flow Cytometry: RPSA Antibody (MLuC5) [NB200-631] - Analysis of Laminin Receptor in MCF-7 cells (green) compared to an isotype control (blue).