Antibody data
- Antibody Data
- Antigen structure
- References [0]
- Comments [0]
- Validations
- Western blot [1]
- Immunohistochemistry [6]
Submit
Validation data
Reference
Comment
Report error
- Product number
- RQ4328 - Provider product page

- Provider
- NSJ Bioreagents
- Product name
- MYLK Antibody / Myosin light chain kinase
- Antibody type
- Polyclonal
- Description
- This highly specific MYLK antibody is suitable for use in Western blot/Immunohistochemistry/ELISA applications with human, mouse and rat samples.
- Reactivity
- Human, Mouse, Rat
- Host
- Rabbit
- Conjugate
- Unconjugated
- Vial size
- 100 ug
- Concentration
- 0.5mg/ml if reconstituted with 0.2ml sterile DI water
- Storage
- After reconstitution, the MYLK antibody can be stored for up to one month at 4oC. For long-term, aliquot and store at -20oC. Avoid repeated freezing and thawing.
No comments: Submit comment
Supportive validation
- Submitted by
- NSJ Bioreagents (provider)
- Main image

- Experimental details
- Western blot testing of 1) human SGC-7901, 2) rat spleen and 3) mouse spleen lysate with MYLK antibody at 0.5ug/ml. Predicted molecular weight: isoforms from 197-211 kDa and ~110 kDa, observed here at ~250 kDa.
Supportive validation
- Submitted by
- NSJ Bioreagents (provider)
- Main image

- Experimental details
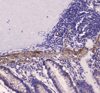
- IHC testing of FFPE human rectal cancer tissue with MYLK antibody at 1ug/ml. Required HIER: steam section in pH6 citrate buffer for 20 min and allow to cool prior to staining.
- Submitted by
- NSJ Bioreagents (provider)
- Main image

- Experimental details
- IHC testing of FFPE human placental tissue with MYLK antibody at 1ug/ml. Required HIER: steam section in pH6 citrate buffer for 20 min and allow to cool prior to staining.
- Submitted by
- NSJ Bioreagents (provider)
- Main image

- Experimental details
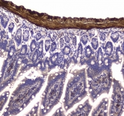
- IHC testing of FFPE mouse small intestine tissue with MYLK antibody at 1ug/ml. Required HIER: steam section in pH6 citrate buffer for 20 min and allow to cool prior to staining.
- Submitted by
- NSJ Bioreagents (provider)
- Main image

- Experimental details
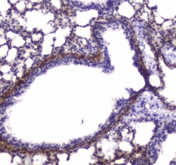
- IHC testing of FFPE mouse lung tissue with MYLK antibody at 1ug/ml. Required HIER: steam section in pH6 citrate buffer for 20 min and allow to cool prior to staining.
- Submitted by
- NSJ Bioreagents (provider)
- Main image

- Experimental details
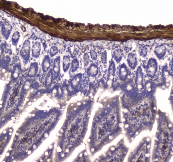
- IHC testing of FFPE rat small intestine tissue with MYLK antibody at 1ug/ml. Required HIER: steam section in pH6 citrate buffer for 20 min and allow to cool prior to staining.
- Submitted by
- NSJ Bioreagents (provider)
- Main image

- Experimental details
- IHC testing of FFPE rat lung tissue with MYLK antibody at 1ug/ml. Required HIER: steam section in pH6 citrate buffer for 20 min and allow to cool prior to staining.