Antibody data
- Antibody Data
- Antigen structure
- References [0]
- Comments [0]
- Validations
- Immunohistochemistry [2]
Submit
Validation data
Reference
Comment
Report error
- Product number
- GTX26022 - Provider product page

- Provider
- GeneTex
- Proper citation
- GeneTex Cat#GTX26022, RRID:AB_11177671
- Product name
- PARD6A antibody, C-term
- Antibody type
- Polyclonal
- Reactivity
- Human
- Host
- Goat
No comments: Submit comment
Supportive validation
- Submitted by
- GeneTex (provider)
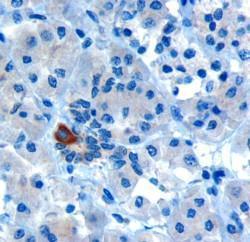
- Main image

- Experimental details
- GTX26022 (10?g/ml) staining of paraffin embedded Human Pancreas. Microwaved antigen retrieval with Tris/EDTA buffer pH9, HRP-staining.
- Submitted by
- GeneTex (provider)
- Main image

- Experimental details
- GTX26022 (5?g/ml) staining of paraffin embedded Human Heart. Steamed antigen retrieval with citrate buffer pH 6, AP-staining.