Antibody data
- Antibody Data
- Antigen structure
- References [0]
- Comments [0]
- Validations
- Western blot [1]
- Immunohistochemistry [2]
Submit
Validation data
Reference
Comment
Report error
- Product number
- LS-C499499 - Provider product page

- Provider
- LSBio
- Product name
- PDE2A Antibody LS-C499499
- Antibody type
- Polyclonal
- Description
- Protein G purified
- Reactivity
- Human
- Host
- Rabbit
- Isotype
- IgG
- Storage
- Short term: -20°C; Long term: -80°C; Avoid freeze-thaw cycles.
No comments: Submit comment
Enhanced validation
- Submitted by
- LSBio (provider)
- Enhanced method
- Genetic validation
- Main image

- Experimental details
- Positive WB detected in:Hela whole cell lysate;All lanes:PDE2A antibody at 2?g/ml;Secondary;Goat polyclonal to rabbit IgG at 1/50000 dilution;Predicted band size: 106,104,105,79,88 KDa;Observed band size: 106 KDa;
Supportive validation
- Submitted by
- LSBio (provider)
- Enhanced method
- Genetic validation
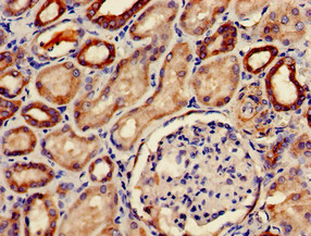
- Main image

- Experimental details
- Immunohistochemistry of paraffin-embedded human kidney tissue using PDE2A Antibody at dilution of 1:100
- Submitted by
- LSBio (provider)
- Enhanced method
- Genetic validation
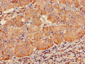
- Main image

- Experimental details
- Immunohistochemistry of paraffin-embedded human adrenal gland tissue using PDE2A Antibody at dilution of 1:100