Antibody data
- Antibody Data
- Antigen structure
- References [0]
- Comments [0]
- Validations
- Immunohistochemistry [2]
Submit
Validation data
Reference
Comment
Report error
- Product number
- TA322544 - Provider product page

- Provider
- OriGene
- Product name
- Anti-MAP1B Rabbit Polyclonal Antibody
- Antibody type
- Polyclonal
- Description
- Anti-MAP1B Rabbit Polyclonal Antibody
- Host
- Rabbit
- Conjugate
- Unconjugated
- Epitope
- MAP1B
- Isotype
- IgG
- Antibody clone number
- NULL
- Vial size
- 100 µl
- Concentration
- 2.2mg/ml
No comments: Submit comment
Supportive validation
- Submitted by
- OriGene (provider)
- Main image

- Experimental details
- Predicted cell location: Cytoplasm . Positive control: Human brain and lung cancer tissue . Recommended dilution: 1/50-200 The image on the left is immunohistochemistry of paraffin-embedded human lung cancer tissue using MAP1B antibody at dilution 1/60, on the right is treated with the synthetic peptide. (Original magnification:x200)
- Validation comment
- IHC
- Submitted by
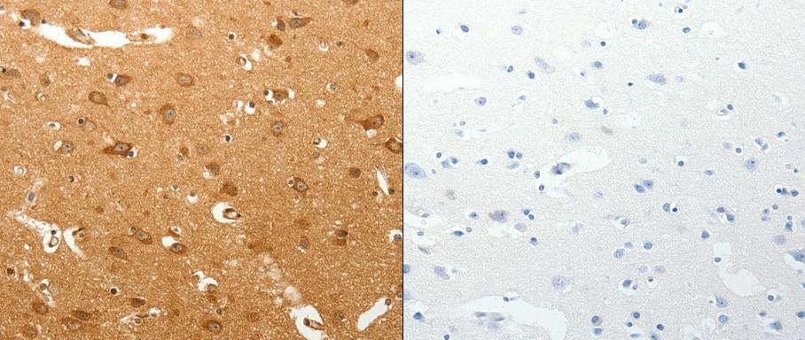
- OriGene (provider)
- Main image

- Experimental details
- Predicted cell location: Cytoplasm . Positive control: Human brain and lung cancer tissue . Recommended dilution: 1/50-200 The image on the left is immunohistochemistry of paraffin-embedded human brain tissue using MAP1B antibody at dilution 1/60, on the right is treated with the synthetic peptide. (Original magnification:x 200)
- Validation comment
- IHC