Antibody data
- Antibody Data
- Antigen structure
- References [0]
- Comments [0]
- Validations
- Western blot [1]
- Immunohistochemistry [6]
- Flow cytometry [1]
Submit
Validation data
Reference
Comment
Report error
- Product number
- NBP2-67753 - Provider product page

- Provider
- Novus Biologicals
- Product name
- Rabbit Monoclonal Histone H2B Antibody
- Antibody type
- Monoclonal
- Description
- Protein A purified.
- Reactivity
- Human, Mouse, Rat
- Host
- Rabbit
- Isotype
- IgG
- Vial size
- 100 ul
- Storage
- Store at 4C short term. Aliquot and store at -20C long term. Avoid freeze-thaw cycles.
No comments: Submit comment
Supportive validation
- Submitted by
- Novus Biologicals (provider)
- Main image

- Experimental details
- Western Blot: Histone H2B Antibody (SD20-63) [NBP2-67753] - Analysis of Histone H2B on different lysates using anti-Histone H2B antibody at 1/1,000 dilution. Positive control: Lane 1: Hela Lane 2: NIH/3T3 Lane 3: PC12
Supportive validation
- Submitted by
- Novus Biologicals (provider)
- Main image

- Experimental details
- Immunohistochemistry-Paraffin: Histone H2B Antibody (SD20-63) [NBP2-67753] - Analysis of paraffin-embedded mouse testis tissue using anti-Histone H2B antibody. Counter stained with hematoxylin.
- Submitted by
- Novus Biologicals (provider)
- Main image

- Experimental details
- Immunohistochemistry-Paraffin: Histone H2B Antibody (SD20-63) [NBP2-67753] - Analysis of paraffin-embedded human liver tissue using anti-Histone H2B antibody. Counter stained with hematoxylin.
- Submitted by
- Novus Biologicals (provider)
- Main image

- Experimental details
- Immunohistochemistry-Paraffin: Histone H2B Antibody (SD20-63) [NBP2-67753] - Analysis of paraffin-embedded human breast carcinoma tissue using anti-Histone H2B antibody. Counter stained with hematoxylin.
- Submitted by
- Novus Biologicals (provider)
- Main image

- Experimental details
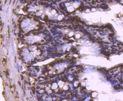
- Immunohistochemistry-Paraffin: Histone H2B Antibody (SD20-63) [NBP2-67753] - Analysis of paraffin-embedded mouse colon tissue using anti-Histone H2B antibody. Counter stained with hematoxylin.
- Submitted by
- Novus Biologicals (provider)
- Main image

- Experimental details
- Immunohistochemistry-Paraffin: Histone H2B Antibody (SD20-63) [NBP2-67753] - Analysis of paraffin-embedded mouse liver tissue using anti-Histone H2B antibody. Counter stained with hematoxylin.
- Submitted by
- Novus Biologicals (provider)
- Main image

- Experimental details
- Immunohistochemistry-Paraffin: Histone H2B Antibody (SD20-63) [NBP2-67753] - Analysis of paraffin-embedded human tonsil tissue using anti-Histone H2B antibody. Counter stained with hematoxylin.
Supportive validation
- Submitted by
- Novus Biologicals (provider)
- Main image

- Experimental details
- Flow Cytometry: Histone H2B Antibody (SD20-63) [NBP2-67753] - Analysis of Hela cells with Histone H2B antibody at 1/50 dilution (red) compared with an unlabelled control (cells without incubation with primary antibody; black). Alexa Fluor 488-conjugated goat anti rabbit IgG was used as the secondary antibody.