Antibody data
- Antibody Data
- Antigen structure
- References [0]
- Comments [0]
- Validations
- Western blot [1]
- Immunohistochemistry [3]
Submit
Validation data
Reference
Comment
Report error
- Product number
- LS-C312710 - Provider product page

- Provider
- LSBio
- Product name
- LHCGR / LHR / LH Receptor Antibody (aa127-143) LS-C312710
- Antibody type
- Polyclonal
- Description
- Immunogen affinity purified
- Reactivity
- Human, Rat
- Host
- Rabbit
- Storage
- At -20°C for 1 year. After reconstitution, at 4°C for 1 month. It can also be aliquotted and stored frozen at -20°C for a longer time. Avoid freeze-thaw cycles.
No comments: Submit comment
Enhanced validation
- Submitted by
- LSBio (provider)
- Enhanced method
- Genetic validation
- Main image

- Experimental details
- Anti-hCG receptor antibody, Western blotting All lanes: Anti hCG receptor at 0.5ug/mlWB: MCF-7 Whole Cell Lysate at 40ugPredicted bind size: 78KD Observed bind size: 78KD
Supportive validation
- Submitted by
- LSBio (provider)
- Enhanced method
- Genetic validation
- Main image

- Experimental details
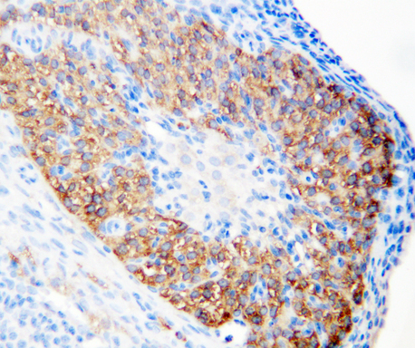
- LHCGR / LHR / LH Receptor antibody. IHC(P): Rat Ovary Tissue.
- Submitted by
- LSBio (provider)
- Enhanced method
- Genetic validation
- Main image

- Experimental details
- LHCGR / LHR / LH Receptor antibody. IHC(P): Rat Ovary Tissue.
- Submitted by
- LSBio (provider)
- Enhanced method
- Genetic validation
- Main image

- Experimental details
- LHCGR / LHR / LH Receptor antibody. IHC(P): Rat Ovary Tissue.