Antibody data
- Antibody Data
- Antigen structure
- References [1]
- Comments [0]
- Validations
- Immunohistochemistry [1]
Submit
Validation data
Reference
Comment
Report error
- Product number
- AP08832PU-N - Provider product page

- Provider
- OriGene
- Product name
- KIF5B (951-963) goat polyclonal antibody, Aff - Purified
- Antibody type
- Polyclonal
- Description
- KIF5B (951-963) goat polyclonal antibody, Aff - Purified
- Host
- Goat
- Conjugate
- Unconjugated
- Epitope
- KIF5B
- Isotype
- IgG
- Antibody clone number
- NULL
- Vial size
- 50 µg
- Concentration
- 0.5 mg/ml
Submitted references Kinesin-1 (uKHC/KIF5B) is required for bidirectional motility of ER exit sites and efficient ER-to-Golgi transport.
Gupta V, Palmer KJ, Spence P, Hudson A, Stephens DJ
Traffic (Copenhagen, Denmark) 2008 Nov;9(11):1850-66
Traffic (Copenhagen, Denmark) 2008 Nov;9(11):1850-66
No comments: Submit comment
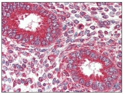
Supportive validation
- Submitted by
- OriGene (provider)
- Main image

- Experimental details
- staining KIF5B at 2.5 ug/ml in paraffin-embedded Human uterus by Immunohistochemistry.
- Validation comment
- IHC