Antibody data
- Antibody Data
- Antigen structure
- References [0]
- Comments [0]
- Validations
- Western blot [1]
- Immunohistochemistry [7]
Submit
Validation data
Reference
Comment
Report error
- Product number
- NBP2-38643 - Provider product page

- Provider
- Novus Biologicals
- Product name
- Rabbit Polyclonal Acidic Calponin Antibody
- Antibody type
- Polyclonal
- Description
- Immunogen affinity purified. Specificity of human Acidic Calponin antibody verified on a Protein Array containing target protein plus 383 other non-specific proteins.
- Reactivity
- Human
- Host
- Rabbit
- Isotype
- IgG
- Vial size
- 0.1 ml
- Storage
- Store at 4C short term. Aliquot and store at -20C long term. Avoid freeze-thaw cycles.
No comments: Submit comment
Supportive validation
- Submitted by
- Novus Biologicals (provider)
- Main image

- Experimental details
- Western Blot: Acidic Calponin Antibody [NBP2-38643] - Lane 1: Marker [kDa] 250, 130, 95, 72, 55, 36, 28, 17, 10. Lane 2: Human cell line RT-4. Lane 3: Human cell line U-251MG
Supportive validation
- Submitted by
- Novus Biologicals (provider)
- Main image

- Experimental details
- Immunohistochemistry: Acidic Calponin Antibody [NBP2-38643] - Staining of human small intestine shows distinct positivity in vessels.
- Submitted by
- Novus Biologicals (provider)
- Main image

- Experimental details
- Immunohistochemistry-Paraffin: Acidic Calponin Antibody [NBP2-38643] - Staining of human placenta shows high expression.
- Submitted by
- Novus Biologicals (provider)
- Main image

- Experimental details
- Immunohistochemistry-Paraffin: Acidic Calponin Antibody [NBP2-38643] - Staining of human skeletal muscle shows low expression as expected.
- Submitted by
- Novus Biologicals (provider)
- Main image

- Experimental details
- Immunohistochemistry-Paraffin: Acidic Calponin Antibody [NBP2-38643] - Analysis in human placenta and skeletal muscle tissues. Corresponding Acidic Calponin RNA-seq data are presented for the same tissues.
- Submitted by
- Novus Biologicals (provider)
- Main image

- Experimental details
- Immunohistochemistry-Paraffin: Acidic Calponin Antibody [NBP2-38643] - Staining of human kidney shows weak to moderate membranous and cytoplasmic positivity in cells in tubules.
- Submitted by
- Novus Biologicals (provider)
- Main image

- Experimental details
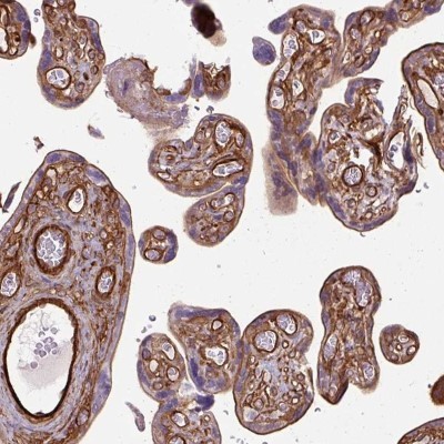
- Immunohistochemistry-Paraffin: Acidic Calponin Antibody [NBP2-38643] - Staining of human placenta shows strong positivity in endothelial cells.
- Submitted by
- Novus Biologicals (provider)
- Main image

- Experimental details
- Immunohistochemistry-Paraffin: Acidic Calponin Antibody [NBP2-38643] - Staining of human skeletal muscle shows no positivity in myocytes as expected.