Antibody data
- Antibody Data
- Antigen structure
- References [0]
- Comments [0]
- Validations
- Western blot [2]
- Immunohistochemistry [2]
Submit
Validation data
Reference
Comment
Report error
- Product number
- AP42178PU-N - Provider product page

- Provider
- Acris Antibodies GmbH
- Proper citation
- Acris Antibodies GmbH Cat#AP42178PU-N, RRID:AB_11214881
- Product name
- anti PMF1
- Antibody type
- Polyclonal
- Antigen
- Synthetic peptide directed towards the middle region of Human PMF1.
- Reactivity
- Human, Mouse, Rat, Bovine, Porcine
- Host
- Rabbit
- Vial size
- 50 µg
No comments: Submit comment
Supportive validation
- Submitted by
- Acris Antibodies GmbH (provider)
- Main image

- Experimental details
- Western blotting of human transfected 293T cell lysate using AP42178PU-N PMF1 antibody.
- Submitted by
- Acris Antibodies GmbH (provider)
- Main image

- Experimental details
- Transfected 293T; WB Suggested Anti-PMF1 Antibody Titration: 0.2-1 ug/ml. Positive Control: Transfected 293T; PMF1 antibody - middle region (AP42178PU-N) in Transfected 293T cells using Western Blot
Supportive validation
- Submitted by
- Acris Antibodies GmbH (provider)
- Main image

- Experimental details
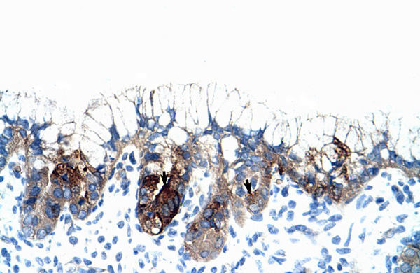
- Staining of paraffin embedded sections of human stomach using AP42178PU-N PMF1 antibody. Note positive staining of epithelial cells of Fundic Glands (arrows).
- Submitted by
- Acris Antibodies GmbH (provider)
- Main image

- Experimental details
- Human Stomach; PMF1 antibody - middle region (AP42178PU-N) in Human Stomach cells using Immunohistochemistry