Antibody data
- Antibody Data
- Antigen structure
- References [4]
- Comments [0]
- Validations
- Immunohistochemistry [1]
Submit
Validation data
Reference
Comment
Report error
- Product number
- sc-30074 - Provider product page

- Provider
- Santa Cruz Biotechnology
- Proper citation
- Santa Cruz Biotechnology Cat#sc-30074, RRID:AB_2250767
- Product name
- Anti-MMP14
- Antibody type
- Polyclonal
- Antigen
- Recombinant full-length protein
- Reactivity
- Human
- Host
- Rabbit
Submitted references Patterns of mRNA and protein expression during minus-lens compensation and recovery in tree shrew sclera.
Differential expression of Caveolin-1 in hepatocellular carcinoma: correlation with differentiation state, motility and invasion.
Regulatory mechanism of matrix metalloprotease-2 enzymatic activity by factor Xa and thrombin.
Localization of tartrate-resistant acid phosphatase (TRAP), membrane type-1 matrix metalloproteinases (MT1-MMP) and macrophages during early endochondral bone formation.
Gao H, Frost MR, Siegwart JT Jr, Norton TT
Molecular vision 2011 Apr 12;17:903-19
Molecular vision 2011 Apr 12;17:903-19
Differential expression of Caveolin-1 in hepatocellular carcinoma: correlation with differentiation state, motility and invasion.
Cokakli M, Erdal E, Nart D, Yilmaz F, Sagol O, Kilic M, Karademir S, Atabey N
BMC cancer 2009 Feb 24;9:65
BMC cancer 2009 Feb 24;9:65
Regulatory mechanism of matrix metalloprotease-2 enzymatic activity by factor Xa and thrombin.
Koo BH, Park MY, Jeon OH, Kim DS
The Journal of biological chemistry 2009 Aug 28;284(35):23375-85
The Journal of biological chemistry 2009 Aug 28;284(35):23375-85
Localization of tartrate-resistant acid phosphatase (TRAP), membrane type-1 matrix metalloproteinases (MT1-MMP) and macrophages during early endochondral bone formation.
Blumer MJ, Longato S, Fritsch H
Journal of anatomy 2008 Oct;213(4):431-41
Journal of anatomy 2008 Oct;213(4):431-41
No comments: Submit comment
Supportive validation
- Submitted by
- per
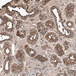
- Main image

- Experimental details
- Immunohistochemical staining of human kidney shows moderate cytoplasmic positivity in cells of tubules.
- Validation comment
- Staining pattern partly consistent with experimental and/or bioinformatic data.