Antibody data
- Antibody Data
- Antigen structure
- References [0]
- Comments [0]
- Validations
- Western blot [1]
- Immunohistochemistry [1]
Submit
Validation data
Reference
Comment
Report error
- Product number
- AP26191PU-N - Provider product page

- Provider
- Acris Antibodies GmbH
- Proper citation
- Acris Antibodies GmbH Cat#AP26191PU-N, RRID:AB_10976576
- Product name
- anti OTUD5 (C-term)
- Antibody type
- Polyclonal
- Antigen
- 13 amino acid peptide near the carboxy terminus of the human OTUD5
- Reactivity
- Human, Mouse, Rat
- Host
- Rabbit
- Vial size
- 0.1 mg
No comments: Submit comment
Supportive validation
- Submitted by
- Acris Antibodies GmbH (provider)
- Main image

- Experimental details
- Western blot analysis of OTUD5 in human kidney lysate with OTUD5 antibody at (A) 1 and (B) 2 μg/ml.
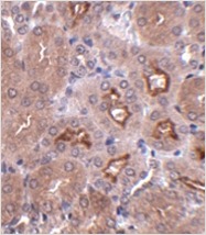
Supportive validation
- Submitted by
- Acris Antibodies GmbH (provider)
- Main image

- Experimental details
- Immunohistochemistry of OTUD5 in mouse kidney tissue with OTUD5 antibody at 2.5 μg/ml.