sc-28874
antibody from Santa Cruz Biotechnology
Targeting: CXCL11
b-R1, H174, I-TAC, IP-9, SCYB11, SCYB9B
Antibody data
- Antibody Data
- Antigen structure
- References [0]
- Comments [0]
- Validations
- Western blot [1]
- Immunohistochemistry [1]
Submit
Validation data
Reference
Comment
Report error
- Product number
- sc-28874 - Provider product page

- Provider
- Santa Cruz Biotechnology
- Proper citation
- Santa Cruz Biotechnology Cat#sc-28874, RRID:AB_2088137
- Product name
- Anti-CXCL11
- Antibody type
- Polyclonal
- Antigen
- Recombinant full-length protein
- Reactivity
- Human
- Host
- Rabbit
No comments: Submit comment
Supportive validation
- Submitted by
- per
- Main image

- Experimental details
- Western blot analysis of antibody specificity using a routine panel composed of IgG/HSA-depleted human plasma and protein lysates from selected human tissues and cell lines.
- Validation comment
- No bands detected.
- Primary Ab dilution
- 1:500
- Secondary Ab dilution
- 1:3000
- Lane 1
- Marker [kDa]: 213, 118, 83, 50, 33, 26, 18
- Lane 2
- RT-4
- Lane 3
- U-251MG sp
- Lane 4
- Human Plasma
- Lane 5
- Liver
- Lane 6
- Tonsil
- Theoretical target weight
- [kDa] 10
Supportive validation
- Submitted by
- per
- Main image

- Experimental details
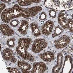
- Immunohistochemical staining of human kidney shows strong cytoplasmic positivity in cells of tubules.
- Validation comment
- Staining pattern partly consistent with experimental and/or bioinformatic data.