Antibody data
- Antibody Data
- Antigen structure
- References [0]
- Comments [0]
- Validations
- Western blot [1]
- Immunohistochemistry [1]
Submit
Validation data
Reference
Comment
Report error
- Product number
- TA311254 - Provider product page

- Provider
- OriGene
- Product name
- Goat Anti-endophilin-A1 / SH3GL2 Antibody
- Antibody type
- Polyclonal
- Description
- Goat Anti-endophilin-A1 / SH3GL2 Antibody
- Host
- Goat
- Conjugate
- Unconjugated
- Epitope
- SH3GL2
- Antibody clone number
- NULL
- Vial size
- 100 µg
- Concentration
- 0.5ug/ul
No comments: Submit comment
Supportive validation
- Submitted by
- OriGene (provider)
- Main image

- Experimental details
- (0.3ug/ml) staining of Human Frontal Cortex lysate (35ug protein in RIPA buffer). Primary incubation was 1 hour. Detected by chemiluminescence.
- Validation comment
- WB
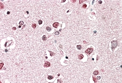
Supportive validation
- Submitted by
- OriGene (provider)
- Main image

- Experimental details
- TA311254 (5ug/ml) staining of paraffin embedded Human Cerebral Cortex. Steamed antigen retrieval with citrate buffer pH 6, AP-staining.
- Validation comment
- IHC