Antibody data
- Antibody Data
- Antigen structure
- References [0]
- Comments [0]
- Validations
- Western blot [1]
- Immunohistochemistry [1]
Submit
Validation data
Reference
Comment
Report error
- Product number
- AP30195PU-N - Provider product page

- Provider
- Acris Antibodies GmbH
- Proper citation
- Acris Antibodies GmbH Cat#AP30195PU-N, RRID:AB_10671328
- Product name
- anti Caspase-14
- Antibody type
- Polyclonal
- Antigen
- Caspase-14 antibody was raised against a 16 amino acid peptide from near the carboxy-terminus of human caspase-14. (AP30195CP-N)
- Reactivity
- Human, Mouse, Rat
- Host
- Rabbit
- Isotype
- IgG
- Vial size
- 0.1 mg
No comments: Submit comment
Supportive validation
- Submitted by
- Acris Antibodies GmbH (provider)
- Main image

- Experimental details
- Western blot analysis of caspase-14 in Jurkat cell lysate in the (A) absence or (B) presence of blocking peptide with AP30195PU-N caspase-14 antibody at 1 μg/ml.
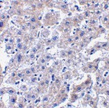
Supportive validation
- Submitted by
- Acris Antibodies GmbH (provider)
- Main image

- Experimental details
- Immunohistochemistry of caspase-14 in human liver tissue with AP30195PU-N caspase-14 antibody at 2.5 μg/ml.