Antibody data
- Antibody Data
- Antigen structure
- References [1]
- Comments [0]
- Validations
- Western blot [1]
- Immunohistochemistry [1]
Submit
Validation data
Reference
Comment
Report error
- Product number
- PAB2618 - Provider product page

- Provider
- Abnova Corporation
- Proper citation
- Abnova Corporation Cat#PAB2618, RRID:AB_1578673
- Product name
- PGK1 polyclonal antibody
- Antibody type
- Polyclonal
- Description
- Rabbit polyclonal antibody raised against synthetic peptide of PGK1.
- Storage
- Store at 4°C. For long term storage store at -20°C.Aliquot to avoid repeated freezing and thawing.
Submitted references Parkinson's disease-associated mutations in leucine-rich repeat kinase 2 augment kinase activity.
West AB, Moore DJ, Biskup S, Bugayenko A, Smith WW, Ross CA, Dawson VL, Dawson TM
Proceedings of the National Academy of Sciences of the United States of America 2005 Nov 15;102(46):16842-7
Proceedings of the National Academy of Sciences of the United States of America 2005 Nov 15;102(46):16842-7
No comments: Submit comment
Supportive validation
- Submitted by
- Abnova Corporation (provider)
- Main image

- Experimental details
- The PGK1 polyclonal antibody (Cat # PAB2618) is used in Western blot to detect PGK1 in mouse stomach tissue lysate (Lane 1) and HepG2 cell lysate (Lane 2) .
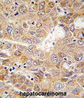
Supportive validation
- Submitted by
- Abnova Corporation (provider)
- Main image

- Experimental details
- Formalin-fixed and paraffin-embedded human hepatocarcinomareacted with PGK1 polyclonal antibody (Cat # PAB2618), which was peroxidase-conjugated to the secondary antibody, followed by AEC staining.This data demonstrates the use of this antibody for immunohistochemistry; clinical relevance has not been evaluated.
- Validation comment
- Immunohistochemistry (Formalin/PFA-fixed paraffin-embedded sections)