OAAF00385
antibody from Aviva Systems Biology
Targeting: STMN1
C1orf215, FLJ32206, Lag, LAP18, OP18, PP17, PP19, PR22, SMN
Antibody data
- Antibody Data
- Antigen structure
- References [0]
- Comments [0]
- Validations
- Western blot [1]
- Immunocytochemistry [1]
- Immunohistochemistry [1]
Submit
Validation data
Reference
Comment
Report error
- Product number
- OAAF00385 - Provider product page

- Provider
- Aviva Systems Biology
- Product name
- STMN1 antibody
- Antibody type
- Polyclonal
- Reactivity
- Human, Mouse, Rat
- Host
- Rabbit
- Vial size
- 100µg
- Storage
- Store at -20°C/1 year
No comments: Submit comment
Supportive validation
- Submitted by
- Aviva Systems Biology (provider)
- Main image

- Experimental details
- Western blot analysis of extracts from 293 cells, using Stathmin 1 (Phospho-Ser15) antibody. The lane on the right is treated with the synthesized peptide.
Supportive validation
- Submitted by
- Aviva Systems Biology (provider)
- Main image

- Experimental details
- Immunofluorescence analysis of COS-7 cells, using Stathmin 1 (Phospho-Ser15) antibody. The picture on the right is treated with the synthesized peptide.
Supportive validation
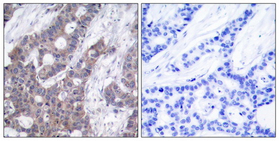
- Submitted by
- Aviva Systems Biology (provider)
- Main image

- Experimental details
- Immunohistochemistry analysis of paraffin-embedded human thymus breast carcinoma tissue, using Stathmin 1 (Phospho-Ser15) antibody. The picture on the right is treated with the synthesized peptide.