M01194
antibody from Boster Biological Technology
Targeting: STMN1
C1orf215, FLJ32206, Lag, LAP18, OP18, PP17, PP19, PR22, SMN
Antibody data
- Antibody Data
- Antigen structure
- References [1]
- Comments [0]
- Validations
- Immunohistochemistry [1]
Submit
Validation data
Reference
Comment
Report error
- Product number
- M01194 - Provider product page

- Provider
- Boster Biological Technology
- Product name
- Anti-Stathmin 1 STMN1 Rabbit Monoclonal Antibody
- Antibody type
- Monoclonal
- Description
- Monoclonal antibody for OP18/STMN1 detection. Host: Rabbit.Size: 100ug/vial. Tested applications: Flow Cytometry, IP, IF, IHC, ICC, WB. Reactive species: Human, Mouse, Rat OP18/STMN1 information: Molecular Weight: 17303 MW; Subcellular Localization: Cytoplasm, cytoskeleton; Tissue Specificity: Ubiquitous. Expression is strongest in fetal and adult brain, spinal cord, and cerebellum, followed by thymus, bone marrow, testis, and fetal liver. Expression is intermediate in colon, ovary, placenta, uterus, and trachea, and is readily detected at substantially lower levels in all other tissues examined. Lowest expression is found in adult liver. Present in much greater abundance in cells from patients with acute leukemia of different subtypes than in normal peripheral blood lymphocytes, non-leukemic proliferating lymphoid cells, bone marrow cells, or cells from patients with chronic lymphoid or myeloid leukemia.
- Reactivity
- Human, Mouse, Rat
- Host
- Rabbit
- Antibody clone number
- DDA-19
- Vial size
- 100ug/vial
- Concentration
- 0.5-1mg/ml, actual concentration vary by lot. Use suggested dilution ratio to decide dilution procedure.
- Storage
- At -20°C for one year. Avoid repeated freezing and thawing.
Submitted references The knockdown of stathmin with si-RNA inhibits invasion of mesothelioma.
Aksoy A, Varoglu A, Onalan EE, Tektemur A, Artas G, Koc M, Cakmak M, Aydin S, Kilic M, Ulas M
Tissue & cell 2024 Apr;87:102303
Tissue & cell 2024 Apr;87:102303
No comments: Submit comment
Supportive validation
- Submitted by
- Boster Biological Technology (provider)
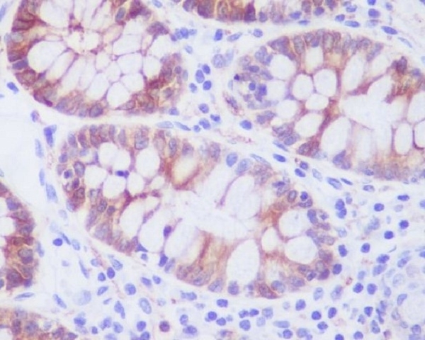
- Main image

- Experimental details
- Immunohistochemical analysis of paraffin-embedded human colon, using Stathmin 1 Antibody(M01194)STMN1 was detected in paraffin-embedded tissue section. Heat mediated antigen retrieval was performed in citrate buffer (pH6, epitope retrieval solution) for 20 mins. The tissue section was blocked with 10% goat serum. The tissue section was then incubated with 1ug/ml rabbit anti-STMN1 Antibody (M01194)overnight at 4°C. Biotinylated goat anti-rabbit IgG was used as secondary antibody and incubated for 30 minutes at 37°C. The tissue section was developed using Strepavidin-Biotin-Complex (SABC)(Catalog # SA1022) with DAB as the chromogen.
- Additional image
