MA5-41130
antibody from Invitrogen Antibodies
Targeting: STMN1
C1orf215, FLJ32206, Lag, LAP18, OP18, PP17, PP19, PR22, SMN
Antibody data
- Antibody Data
- Antigen structure
- References [0]
- Comments [0]
- Validations
- Immunocytochemistry [6]
- Immunohistochemistry [5]
- Flow cytometry [2]
Submit
Validation data
Reference
Comment
Report error
- Product number
- MA5-41130 - Provider product page

- Provider
- Invitrogen Antibodies
- Product name
- Stathmin 1 Recombinant Rabbit Monoclonal Antibody (SS0453)
- Antibody type
- Monoclonal
- Antigen
- Synthetic peptide
- Description
- This product is predicted to work in Western Blot at a dilution of 1:1,000-1:2,000.
- Reactivity
- Human, Mouse, Rat
- Host
- Rabbit
- Isotype
- IgG
- Antibody clone number
- SS0453
- Vial size
- 100 μL
- Concentration
- 1 mg/mL
- Storage
- Store at 4°C short term. For long term storage, store at -20°C, avoiding freeze/thaw cycles.
No comments: Submit comment
Supportive validation
- Submitted by
- Invitrogen Antibodies (provider)
- Main image

- Experimental details
- Immunocytochemistry/Immunofluorescence analysis of Stathmin-1 in PC-12 cells (green) using Stathmin 1 Recombinant Monoclonal Antibody (Product # MA5-41130). Cells were fixed in paraformaldehyde, permeabilised with 0.25% Triton X100/PBS. The nuclear counter stain is DAPI (blue).
- Submitted by
- Invitrogen Antibodies (provider)
- Main image

- Experimental details
- Immunocytochemistry/Immunofluorescence analysis of Stathmin-1 in Hela cells (green) using Stathmin 1 Recombinant Monoclonal Antibody (Product # MA5-41130). Cells were fixed in paraformaldehyde, permeabilised with 0.25% Triton X100/PBS. The nuclear counter stain is DAPI (blue).
- Submitted by
- Invitrogen Antibodies (provider)
- Main image

- Experimental details
- Immunocytochemistry/Immunofluorescence analysis of Stathmin-1 in SH-SY-5Y cells (green) using Stathmin 1 Recombinant Monoclonal Antibody (Product # MA5-41130). Cells were fixed in paraformaldehyde, permeabilised with 0.25% Triton X100/PBS. The nuclear counter stain is DAPI (blue).
- Submitted by
- Invitrogen Antibodies (provider)
- Main image

- Experimental details
- Immunocytochemistry/Immunofluorescence analysis of Stathmin-1 in PC-12 cells (green) using Stathmin 1 Recombinant Monoclonal Antibody (Product # MA5-41130). Cells were fixed in paraformaldehyde, permeabilised with 0.25% Triton X100/PBS. The nuclear counter stain is DAPI (blue).
- Submitted by
- Invitrogen Antibodies (provider)
- Main image

- Experimental details
- Immunocytochemistry/Immunofluorescence analysis of Stathmin-1 in Hela cells (green) using Stathmin 1 Recombinant Monoclonal Antibody (Product # MA5-41130). Cells were fixed in paraformaldehyde, permeabilised with 0.25% Triton X100/PBS. The nuclear counter stain is DAPI (blue).
- Submitted by
- Invitrogen Antibodies (provider)
- Main image

- Experimental details
- Immunocytochemistry/Immunofluorescence analysis of Stathmin-1 in SH-SY-5Y cells (green) using Stathmin 1 Recombinant Monoclonal Antibody (Product # MA5-41130). Cells were fixed in paraformaldehyde, permeabilised with 0.25% Triton X100/PBS. The nuclear counter stain is DAPI (blue).
Supportive validation
- Submitted by
- Invitrogen Antibodies (provider)
- Main image

- Experimental details
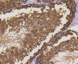
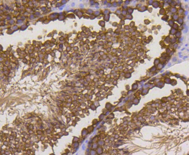
- Immunohistochemistry (Paraffin) analysis of Stathmin-1 in paraffin-embedded mouse testis tissue using Stathmin 1 Recombinant Monoclonal Antibody (Product # MA5-41130). Counter stained with hematoxylin.
- Submitted by
- Invitrogen Antibodies (provider)
- Main image

- Experimental details
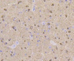
- Immunohistochemistry (Paraffin) analysis of Stathmin-1 in paraffin-embedded mouse spinal cord tissue using Stathmin 1 Recombinant Monoclonal Antibody (Product # MA5-41130). Counter stained with hematoxylin.
- Submitted by
- Invitrogen Antibodies (provider)
- Main image

- Experimental details
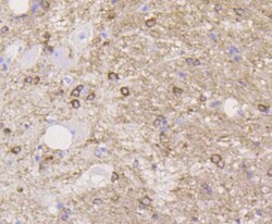
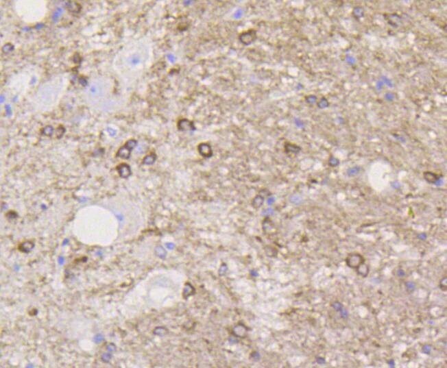
- Immunohistochemistry (Paraffin) analysis of Stathmin-1 in paraffin-embedded mouse brain tissue using Stathmin 1 Recombinant Monoclonal Antibody (Product # MA5-41130). Counter stained with hematoxylin.
- Submitted by
- Invitrogen Antibodies (provider)
- Main image

- Experimental details
- Immunohistochemistry (Paraffin) analysis of Stathmin-1 in paraffin-embedded human breast carcinoma tissue using Stathmin 1 Recombinant Monoclonal Antibody (Product # MA5-41130). Counter stained with hematoxylin.
- Submitted by
- Invitrogen Antibodies (provider)
- Main image

- Experimental details
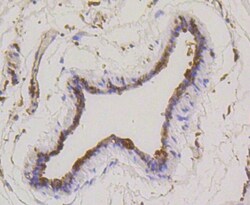
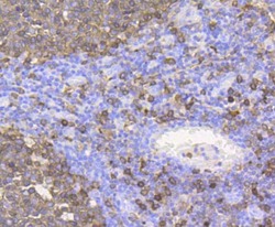
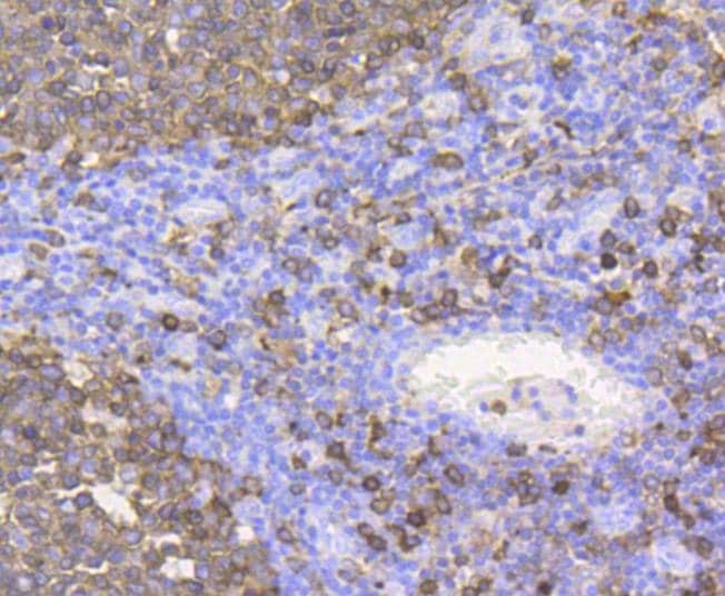
- Immunohistochemistry (Paraffin) analysis of Stathmin-1 in paraffin-embedded human tonsil tissue using Stathmin 1 Recombinant Monoclonal Antibody (Product # MA5-41130). Counter stained with hematoxylin.
Supportive validation
- Submitted by
- Invitrogen Antibodies (provider)
- Main image

- Experimental details
- Flow Cytometry analysis of Stathmin-1 in Hela cells. The cells were fixed, permeabilized and stained with Stathmin 1 Recombinant Monoclonal Antibody (Product # MA5-41130) at a dilution of 1:50 (blue). Alexa Fluor 488-conjugated goat anti rabbit IgG was used as the secondary antibody. Unlabelled control (cells without incubation with primary antibody; red).
- Submitted by
- Invitrogen Antibodies (provider)
- Main image

- Experimental details
- Flow Cytometry analysis of Stathmin-1 in Hela cells. The cells were fixed, permeabilized and stained with Stathmin 1 Recombinant Monoclonal Antibody (Product # MA5-41130) at a dilution of 1:50 (blue). Alexa Fluor 488-conjugated goat anti rabbit IgG was used as the secondary antibody. Unlabelled control (cells without incubation with primary antibody; red).