Antibody data
- Antibody Data
- Antigen structure
- References [0]
- Comments [0]
- Validations
- Immunocytochemistry [2]
Submit
Validation data
Reference
Comment
Report error
- Product number
- ADI-905-721-100 - Provider product page

- Provider
- Enzo Life Sciences
- Proper citation
- Enzo Life Sciences Cat#ADI-905-721-100, RRID:AB_2038869
- Product name
- Beclin-1 polyclonal antibody
- Antibody type
- Polyclonal
- Antigen
- Synthetic peptide
- Description
- Peptide affinity purified.
- Reactivity
- Human, Mouse, Rat
- Host
- Rabbit
- Vial size
- 100 μg
- Storage
- +4°C
No comments: Submit comment
Supportive validation
- Submitted by
- Enzo Life Sciences (provider)
- Main image

- Experimental details
- Western blot analysis of Beclin-1 in 293 cell lysate with Beclin-1 antibody at (A) 0.5, (B) 1 and (C) 2µg/ml.
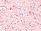
- Submitted by
- Enzo Life Sciences (provider)
- Main image

- Experimental details
- Immunohistochemistry analysis of beclin-1 in rat brain tissue with beclin-1 antibody at 2µg/ml.