Antibody data
- Antibody Data
- Antigen structure
- References [0]
- Comments [0]
- Validations
- Western blot [1]
- ELISA [1]
- Immunohistochemistry [1]
- Flow cytometry [1]
Submit
Validation data
Reference
Comment
Report error
- Product number
- AM06595SU-N - Provider product page

- Provider
- Acris Antibodies GmbH
- Proper citation
- Acris Antibodies GmbH Cat#AM06595SU-N, RRID:AB_11216988
- Product name
- anti Beclin-1
- Antibody type
- Monoclonal
- Antigen
- Purified recombinant fragment of Human BECN1 expressed in E. Coli.
- Reactivity
- Human
- Host
- Mouse
- Isotype
- IgG
- Antibody clone number
- 2A4
- Vial size
- 0.1 ml
No comments: Submit comment
Supportive validation
- Submitted by
- Acris Antibodies GmbH (provider)
- Main image

- Experimental details
- Western blot analysis using BECN1 antibody Cat.-No AM06595SU-N against Hela (1), A431 (2), MCF-7 (3), RAJI (4), Jurkat (5) and SKBR-3 (6) cell lysate.
Supportive validation
- Submitted by
- Acris Antibodies GmbH (provider)
- Main image

Supportive validation
- Submitted by
- Acris Antibodies GmbH (provider)
- Main image

- Experimental details
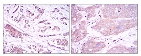
- Immunohistochemical analysis of paraffin-embedded breast cancer tissues (left) and liver cancer tissues (right) using BECN1 antibody Cat.-No AM06595SU-N with DAB staining.
Supportive validation
- Submitted by
- Acris Antibodies GmbH (provider)
- Main image

- Experimental details
- Flow cytometric analysis of RAJI cells using BECN1 antibody Cat.-No AM06595SU-N (green) and negative control (purple).