Antibody data
- Antibody Data
- Antigen structure
- References [0]
- Comments [0]
- Validations
- Western blot [1]
- Immunohistochemistry [6]
Submit
Validation data
Reference
Comment
Report error
- Product number
- R32412 - Provider product page

- Provider
- NSJ Bioreagents
- Product name
- CRM1 Antibody / XPO1 / Exportin 1
- Antibody type
- Polyclonal
- Description
- This highly specific CRM1 antibody is suitable for use in Western blot/Immunohistochemistry/Immunohistochemistry applications with human, mouse and rat samples.
- Reactivity
- Human, Mouse, Rat
- Host
- Rabbit
- Conjugate
- Unconjugated
- Vial size
- 100 ug
- Concentration
- 0.5mg/ml if reconstituted with 0.2ml sterile DI water
- Storage
- After reconstitution, the CRM1 antibody can be stored for up to one month at 4oC. For long-term, aliquot and store at -20oC. Avoid repeated freezing and thawing.
No comments: Submit comment
Supportive validation
- Submitted by
- NSJ Bioreagents (provider)
- Main image

- Experimental details
- Western blot testing of 1) rat heart, 2) mouse brain, and 3) human A549 lysate with CRM1 antibody. Expected/observed molecular weight ~123 kDa.
Supportive validation
- Submitted by
- NSJ Bioreagents (provider)
- Main image

- Experimental details
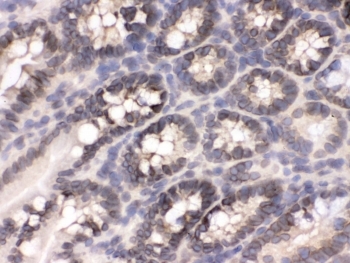
- IHC testing of FFPE human intestinal cancer tissue with CRM1 antibody. Boil the paraffin sections in pH 6, 10mM citrate buffer for 20 minutes and allow to cool prior to testing.
- Submitted by
- NSJ Bioreagents (provider)
- Main image

- Experimental details
- IHC testing of FFPE mouse intestine with CRM1 antibody. Boil the paraffin sections in pH 6, 10mM citrate buffer for 20 minutes and allow to cool prior to testing.
- Submitted by
- NSJ Bioreagents (provider)
- Main image

- Experimental details
- IHC testing of FFPE rat testis with CRM1 antibody. Boil the paraffin sections in pH 6, 10mM citrate buffer for 20 minutes and allow to cool prior to testing.
- Submitted by
- NSJ Bioreagents (provider)
- Main image

- Experimental details
- IHC testing of frozen mouse intestine tissue with CRM1 antibody.
- Submitted by
- NSJ Bioreagents (provider)
- Main image

- Experimental details
- IHC testing of frozen rat intestine tissue with CRM1 antibody.
- Submitted by
- NSJ Bioreagents (provider)
- Main image

- Experimental details
- IHC testing of frozen rat testis tissue with CRM1 antibody.