Antibody data
- Antibody Data
- Antigen structure
- References [1]
- Comments [0]
- Validations
- Western blot [1]
- Immunohistochemistry [1]
- Flow cytometry [2]
Submit
Validation data
Reference
Comment
Report error
- Product number
- NBP2-22376 - Provider product page

- Provider
- Novus Biologicals
- Product name
- Mouse Monoclonal IL-7R alpha/CD127 Antibody
- Antibody type
- Monoclonal
- Description
- Protein G purified.
- Reactivity
- Human
- Host
- Mouse
- Isotype
- IgG
- Vial size
- 0.1 mg
- Concentration
- 1.0 mg/ml
- Storage
- Store at 4C short term. Aliquot and store at -20C long term. Avoid freeze-thaw cycles.
Submitted references Influence of glucose and insulin in human adipogenic differentiation models with adipose-derived stem cells.
Kolodziej M, Strauss S, Lazaridis A, Bucan V, Kuhbier JW, Vogt PM, Könneker S
Adipocyte 2019 Dec;8(1):254-264
Adipocyte 2019 Dec;8(1):254-264
No comments: Submit comment
Supportive validation
- Submitted by
- Novus Biologicals (provider)
- Main image

- Experimental details
- Western Blot: IL-7R alpha/CD127 Antibody (22F3D9) [NBP2-22376] - Analysis of CD127 in A) a partial recombinant protein and B) Daudi lysate using CD127 antibody at 0.5 ug/ml and 5 ug/ml respectively. Goat anti-mouse Ig HRP secondary antibody and PicoTect ECL substrate solution were used for this test.
Supportive validation
- Submitted by
- Novus Biologicals (provider)
- Main image

- Experimental details
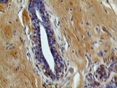
- Immunohistochemistry-Paraffin: IL-7 R alpha/CD127 Antibody (22F3D9) [NBP2-22376] - Breast cancer tissue stained with CD127 antibody (5 ug/ml), peroxidase-conjugate and DAB chromagen.
Supportive validation
- Submitted by
- Novus Biologicals (provider)
- Main image

- Experimental details
- Flow Cytometry: IL-7R alpha/CD127 Antibody (22F3D9) [NBP2-22376] - Analysis using the Alexa Fluor (R) 405 conjugate of NBP2-22376. Detection of IL-7 R alpha in human PMBCs using anti-IL-7 R alpha antibody. Image from verified customer review.
- Submitted by
- Novus Biologicals (provider)
- Main image

- Experimental details
- Flow Cytometry: IL-7R alpha/CD127 Antibody (22F3D9) [NBP2-22376] - Analysis using the PE conjugate of NBP2-22376. Staining of IL7 Receptor alpha in human PBMC using anti-IL7 Receptor alpha antibody. The primary antibody was used at a dilution of 1:100, incubated for 25 minutes at 4C. Image from verified customer review.