Antibody data
- Antibody Data
- Antigen structure
- References [0]
- Comments [0]
- Validations
- Western blot [1]
- Immunohistochemistry [3]
Submit
Validation data
Reference
Comment
Report error
- Product number
- LS-C366781 - Provider product page

- Provider
- LSBio
- Product name
- IL7R / CD127 Antibody (aa145-235, clone 73N8F2, Azide-free) LS-C366781
- Antibody type
- Monoclonal
- Description
- Protein G purified
- Reactivity
- Mouse
- Host
- Rat
- Isotype
- IgG
- Antibody clone number
- 73N8F2
- Storage
- Short term: store at 4°C. Long term: aliquot and store at -20°C. Avoid freeze-thaw cycles.
No comments: Submit comment
Enhanced validation
- Submitted by
- LSBio (provider)
- Enhanced method
- Genetic validation
- Main image

- Experimental details
- Western Blot: IL7 Receptor alpha Antibody (73N8F2) [Azide Free] - Western blot analysis of A) IL-17R recombinant protein fragment and B) mouse thymus lysate using this antibody at 2 ug/ml. This image was taken for the unmodified form of this product. Other forms have not been tested.
Supportive validation
- Submitted by
- LSBio (provider)
- Enhanced method
- Genetic validation
- Main image

- Experimental details
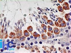
- Immunohistochemistry-Paraffin: IL7 Receptor alpha Antibody (73N8F2) [Azide Free] - Formalin-fixed, paraffin-embedded mouse testis stained with this antibody at 5 ug/ml. This image was taken for the unmodified form of this product. Other forms have not been tested.
- Submitted by
- LSBio (provider)
- Enhanced method
- Genetic validation
- Main image

- Experimental details
- Immunohistochemistry-Paraffin: IL7 Receptor alpha Antibody (73N8F2) [Azide Free] - Formalin-fixed, paraffin-embedded mouse testis stained with this antibody at 5 ug/ml. This image was taken for the unmodified form of this product. Other forms have not been tested.
- Submitted by
- LSBio (provider)
- Enhanced method
- Genetic validation
- Main image

- Experimental details
- Immunohistochemistry-Paraffin: IL7 Receptor alpha Antibody (73N8F2) [Azide Free] - Formalin-fixed, paraffin-embedded mouse testis stained with this antibody at 5 ug/ml. This image was taken for the unmodified form of this product. Other forms have not been tested.