Antibody data
- Antibody Data
- Antigen structure
- References [0]
- Comments [0]
- Validations
- Western blot [3]
- Immunocytochemistry [1]
- Immunohistochemistry [11]
Submit
Validation data
Reference
Comment
Report error
- Product number
- PA5-51387 - Provider product page

- Provider
- Invitrogen Antibodies
- Product name
- RENBP Polyclonal Antibody
- Antibody type
- Polyclonal
- Antigen
- Recombinant protein fragment
- Description
- Immunogen sequence: RILQHVQRDG QAVLENVSEG GKELPGCLGR QQNPGHTLEA GWFLLRHCIR KGDPELRAHV IDKFLLLPFH SGWDPDHGGL FYFQDADNFC PTQLEWAMKL WWPHSEAMIA Highest antigen sequence identity to the following orthologs: Mouse - 87%, Rat - 85%.
- Reactivity
- Human, Mouse, Rat
- Host
- Rabbit
- Isotype
- IgG
- Vial size
- 100 μL
- Concentration
- 0.05 mg/mL
- Storage
- Store at 4°C short term. For long term storage, store at -20°C, avoiding freeze/thaw cycles.
No comments: Submit comment
Supportive validation
- Submitted by
- Invitrogen Antibodies (provider)
- Main image

- Experimental details
- Western blot analysis of RENBP in human cell lines SK-MEL-30 and PC-3 using a RENBP Polyclonal Antibody (Product # PA5-51387). Corresponding RENBP RNA-seq data are presented for the same cell lines. Loading control: Anti-GAPDH.
- Submitted by
- Invitrogen Antibodies (provider)
- Main image

- Experimental details
- Western blot analysis of RENBP in mouse liver tissue and rat liver tissue using a RENBP Polyclonal Antibody (Product # PA5-51387).
- Submitted by
- Invitrogen Antibodies (provider)
- Main image

- Experimental details
- Western blot was performed using Anti-RENBP Polyclonal Antibody (Product # PA5-51387) and 48 kDa band corresponding to RENBP was observed across all the cell lines tested except PC-3 which is reported to be negative. Whole cell extracts (30 µg lysate) of U-937 (Lane 1), K-562 (Lane 2) and PC-3 (Lane 3) were electrophoresed using Novex® NuPAGE® 4-12% Bis-Tris Protein Gel (Product # NP0321BOX). Resolved proteins were then transferred onto a nitrocellulose membrane (Product # IB23001) by iBlot® 2 Dry Blotting System (Product # IB21001). The blot was probed with the primary antibody (0.4µg/ml) and detected by chemiluminescence with Goat anti-Rabbit IgG (H+L), Superclonal™ Recombinant Secondary Antibody, HRP (Product # A27036, 1:4000 dilution) using the iBright FL 1000 (Product # A32752). Chemiluminescent detection was performed using Novex® ECL Chemiluminescent Substrate Reagent Kit (Product # WP20005).
Supportive validation
- Submitted by
- Invitrogen Antibodies (provider)
- Main image

- Experimental details
- Immunofluorescent staining of RENBP in human cell line U-2 OS shows positivity in cytoplasm. Samples were probed using a RENBP Polyclonal Antibody (Product # PA5-51387).
Supportive validation
- Submitted by
- Invitrogen Antibodies (provider)
- Main image

- Experimental details
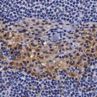
- Immunohistochemical staining of RENBP in human lymph node using RENBP Polyclonal Antibody (Product # PA5-51387).
- Submitted by
- Invitrogen Antibodies (provider)
- Main image

- Experimental details
- Immunohistochemical staining of RENBP in human spleen and liver tissues using RENBP Polyclonal Antibody (Product # PA5-51387). Corresponding RENBP RNA-seq data are presented for the same tissues.
- Submitted by
- Invitrogen Antibodies (provider)
- Main image

- Experimental details
- Immunohistochemical staining of RENBP in human cerebral cortex, colon, kidney and lymph node using RENBP Polyclonal Antibody (Product # PA5-51387) (A) shows similar protein distribution across tissues to an independent RENBP Polyclonal Antibody (B).
- Submitted by
- Invitrogen Antibodies (provider)
- Main image

- Experimental details
- Immunohistochemical staining of RENBP in human spleen using RENBP Polyclonal Antibody (Product # PA5-51387) shows high expression.
- Submitted by
- Invitrogen Antibodies (provider)
- Main image

- Experimental details
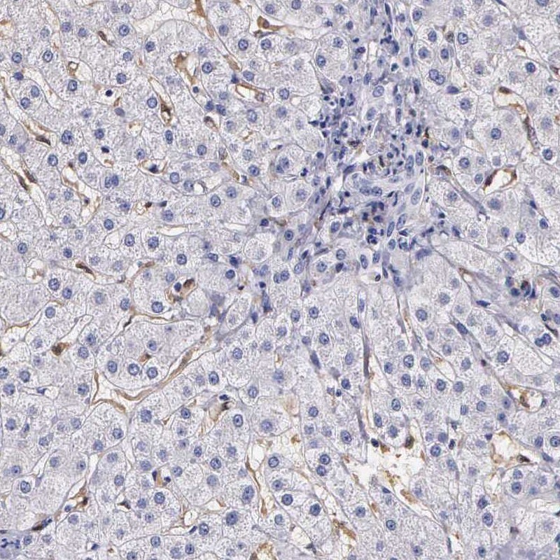
- Immunohistochemical staining of RENBP in human liver using RENBP Polyclonal Antibody (Product # PA5-51387) shows low expression as expected.
- Submitted by
- Invitrogen Antibodies (provider)
- Main image

- Experimental details
- Immunohistochemical staining of RENBP in human colon using RENBP Polyclonal Antibody (Product # PA5-51387).
- Submitted by
- Invitrogen Antibodies (provider)
- Main image

- Experimental details
- Immunohistochemical staining of RENBP in human kidney using RENBP Polyclonal Antibody (Product # PA5-51387).
- Submitted by
- Invitrogen Antibodies (provider)
- Main image

- Experimental details
- Immunohistochemical staining of RENBP in human cerebral cortex using RENBP Polyclonal Antibody (Product # PA5-51387).
- Submitted by
- Invitrogen Antibodies (provider)
- Main image

- Experimental details
- Immunohistochemical staining of RENBP in human spleen using RENBP Polyclonal Antibody (Product # PA5-51387) shows high expression.
- Submitted by
- Invitrogen Antibodies (provider)
- Main image

- Experimental details
- Immunohistochemical staining of RENBP in human liver using RENBP Polyclonal Antibody (Product # PA5-51387) shows low expression as expected.
- Submitted by
- Invitrogen Antibodies (provider)
- Main image

- Experimental details
- Immunohistochemical staining of RENBP in human kidney using RENBP Polyclonal Antibody (Product # PA5-51387).