Antibody data
- Antibody Data
- Antigen structure
- References [16]
- Comments [0]
- Validations
- Immunohistochemistry [1]
Submit
Validation data
Reference
Comment
Report error
- Product number
- sc-588 - Provider product page

- Provider
- Santa Cruz Biotechnology
- Proper citation
- Santa Cruz Biotechnology Cat#sc-588, RRID:AB_630839
- Product name
- Anti-ADCY3
- Antibody type
- Polyclonal (Antigen purified)
- Antigen
- Synthetic peptide
- Reactivity
- Human
- Host
- Rabbit
Submitted references Laminin-511 and integrin beta-1 in hair follicle development and basal cell carcinoma formation.
Consistent improvement of cross-docking results using binding site ensembles generated with elastic network normal modes.
AT1a receptor knockout in mice impairs urine concentration by reducing basal vasopressin levels and its receptor signaling proteins in the inner medulla.
Human olfactory epithelial cells generated in vitro express diverse neuronal characteristics.
Phosphodiesterase 1C is dispensable for rapid response termination of olfactory sensory neurons.
Wnt/Frizzled family members mediate olfactory sensory neuron axon extension.
A new method for ligand docking to flexible receptors by dual alanine scanning and refinement (SCARE).
Bardet-Biedl syndrome proteins are required for the localization of G protein-coupled receptors to primary cilia.
Identification of ciliary localization sequences within the third intracellular loop of G protein-coupled receptors.
Calcium-mediated, purinergic stimulation and polarized localization of calcium-sensitive adenylyl cyclase isoforms in human airway epithelia.
Plasma membrane calcium pumps in mouse olfactory sensory neurons.
Loss of CNGB1 protein leads to olfactory dysfunction and subciliary cyclic nucleotide-gated channel trapping.
Calmodulin contributes to gating control in olfactory calcium-activated chloride channels.
Calmodulin is required for vasopressin-stimulated increase in cyclic AMP production in inner medullary collecting duct.
Endoplasmic reticulum stress induces p53 cytoplasmic localization and prevents p53-dependent apoptosis by a pathway involving glycogen synthase kinase-3beta.
1999 Subject index — Volume 2
Nature Neuroscience 1999 Dec;2(12):1144-1147
DeRouen MC, Zhen H, Tan SH, Williams S, Marinkovich MP, Oro AE
BMC developmental biology 2010 Nov 10;10:112
BMC developmental biology 2010 Nov 10;10:112
Consistent improvement of cross-docking results using binding site ensembles generated with elastic network normal modes.
Rueda M, Bottegoni G, Abagyan R
Journal of chemical information and modeling 2009 Mar;49(3):716-25
Journal of chemical information and modeling 2009 Mar;49(3):716-25
AT1a receptor knockout in mice impairs urine concentration by reducing basal vasopressin levels and its receptor signaling proteins in the inner medulla.
Li XC, Shao Y, Zhuo JL
Kidney international 2009 Jul;76(2):169-77
Kidney international 2009 Jul;76(2):169-77
Human olfactory epithelial cells generated in vitro express diverse neuronal characteristics.
Borgmann-Winter KE, Rawson NE, Wang HY, Wang H, Macdonald ML, Ozdener MH, Yee KK, Gomez G, Xu J, Bryant B, Adamek G, Mirza N, Pribitkin E, Hahn CG
Neuroscience 2009 Jan 23;158(2):642-53
Neuroscience 2009 Jan 23;158(2):642-53
Phosphodiesterase 1C is dispensable for rapid response termination of olfactory sensory neurons.
Cygnar KD, Zhao H
Nature neuroscience 2009 Apr;12(4):454-62
Nature neuroscience 2009 Apr;12(4):454-62
Wnt/Frizzled family members mediate olfactory sensory neuron axon extension.
Rodriguez-Gil DJ, Greer CA
The Journal of comparative neurology 2008 Nov 20;511(3):301-17
The Journal of comparative neurology 2008 Nov 20;511(3):301-17
A new method for ligand docking to flexible receptors by dual alanine scanning and refinement (SCARE).
Bottegoni G, Kufareva I, Totrov M, Abagyan R
Journal of computer-aided molecular design 2008 May;22(5):311-25
Journal of computer-aided molecular design 2008 May;22(5):311-25
Bardet-Biedl syndrome proteins are required for the localization of G protein-coupled receptors to primary cilia.
Berbari NF, Lewis JS, Bishop GA, Askwith CC, Mykytyn K
Proceedings of the National Academy of Sciences of the United States of America 2008 Mar 18;105(11):4242-6
Proceedings of the National Academy of Sciences of the United States of America 2008 Mar 18;105(11):4242-6
Identification of ciliary localization sequences within the third intracellular loop of G protein-coupled receptors.
Berbari NF, Johnson AD, Lewis JS, Askwith CC, Mykytyn K
Molecular biology of the cell 2008 Apr;19(4):1540-7
Molecular biology of the cell 2008 Apr;19(4):1540-7
Calcium-mediated, purinergic stimulation and polarized localization of calcium-sensitive adenylyl cyclase isoforms in human airway epithelia.
Nlend MC, Schmid A, Sutto Z, Ransford GA, Conner GE, Fregien N, Salathe M
FEBS letters 2007 Jul 10;581(17):3241-6
FEBS letters 2007 Jul 10;581(17):3241-6
Plasma membrane calcium pumps in mouse olfactory sensory neurons.
Weeraratne SD, Valentine M, Cusick M, Delay R, Van Houten JL
Chemical senses 2006 Oct;31(8):725-30
Chemical senses 2006 Oct;31(8):725-30
Loss of CNGB1 protein leads to olfactory dysfunction and subciliary cyclic nucleotide-gated channel trapping.
Michalakis S, Reisert J, Geiger H, Wetzel C, Zong X, Bradley J, Spehr M, Hüttl S, Gerstner A, Pfeifer A, Hatt H, Yau KW, Biel M
The Journal of biological chemistry 2006 Nov 17;281(46):35156-66
The Journal of biological chemistry 2006 Nov 17;281(46):35156-66
Calmodulin contributes to gating control in olfactory calcium-activated chloride channels.
Kaneko H, Möhrlen F, Frings S
The Journal of general physiology 2006 Jun;127(6):737-48
The Journal of general physiology 2006 Jun;127(6):737-48
Calmodulin is required for vasopressin-stimulated increase in cyclic AMP production in inner medullary collecting duct.
Hoffert JD, Chou CL, Fenton RA, Knepper MA
The Journal of biological chemistry 2005 Apr 8;280(14):13624-30
The Journal of biological chemistry 2005 Apr 8;280(14):13624-30
Endoplasmic reticulum stress induces p53 cytoplasmic localization and prevents p53-dependent apoptosis by a pathway involving glycogen synthase kinase-3beta.
Qu L, Huang S, Baltzis D, Rivas-Estilla AM, Pluquet O, Hatzoglou M, Koumenis C, Taya Y, Yoshimura A, Koromilas AE
Genes & development 2004 Feb 1;18(3):261-77
Genes & development 2004 Feb 1;18(3):261-77
1999 Subject index — Volume 2
Nature Neuroscience 1999 Dec;2(12):1144-1147
No comments: Submit comment
Supportive validation
- Submitted by
- per
- Main image

- Experimental details
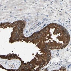
- Immunohistochemical staining of human prostate shows strong cytoplasmic positivity in glandular cells.
- Validation comment
- Staining pattern partly consistent with experimental and/or bioinformatic data.