Antibody data
- Antibody Data
- Antigen structure
- References [4]
- Comments [0]
- Validations
- Immunohistochemistry [1]
Submit
Validation data
Reference
Comment
Report error
- Product number
- sc-645 - Provider product page

- Provider
- Santa Cruz Biotechnology
- Proper citation
- Santa Cruz Biotechnology Cat#sc-645, RRID:AB_2194481
- Product name
- Anti-SP4
- Antibody type
- Polyclonal (Antigen purified)
- Antigen
- Synthetic peptide
- Reactivity
- Human
- Host
- Rabbit
Submitted references MicroRNA-27a Indirectly Regulates Estrogen Receptor {alpha} Expression and Hormone Responsiveness in MCF-7 Breast Cancer Cells.
Mechanisms of matrix metalloproteinase-2 (mmp-2) transcriptional repression by progesterone in jar choriocarcinoma cells.
The cyclooxygenase inhibitor sulindac sulfide inhibits EP4 expression and suppresses the growth of glioblastoma cells.
The Sp1 family of transcription factors is involved in p27(Kip1)-mediated activation of myelin basic protein gene expression.
Li X, Mertens-Talcott SU, Zhang S, Kim K, Ball J, Safe S
Endocrinology 2010 Jun;151(6):2462-73
Endocrinology 2010 Jun;151(6):2462-73
Mechanisms of matrix metalloproteinase-2 (mmp-2) transcriptional repression by progesterone in jar choriocarcinoma cells.
Goldman S, Lovett DH, Shalev E
Reproductive biology and endocrinology : RB&E 2009 May 9;7:41
Reproductive biology and endocrinology : RB&E 2009 May 9;7:41
The cyclooxygenase inhibitor sulindac sulfide inhibits EP4 expression and suppresses the growth of glioblastoma cells.
Kambe A, Yoshioka H, Kamitani H, Watanabe T, Baek SJ, Eling TE
Cancer prevention research (Philadelphia, Pa.) 2009 Dec;2(12):1088-99
Cancer prevention research (Philadelphia, Pa.) 2009 Dec;2(12):1088-99
The Sp1 family of transcription factors is involved in p27(Kip1)-mediated activation of myelin basic protein gene expression.
Wei Q, Miskimins WK, Miskimins R
Molecular and cellular biology 2003 Jun;23(12):4035-45
Molecular and cellular biology 2003 Jun;23(12):4035-45
No comments: Submit comment
Supportive validation
- Submitted by
- per
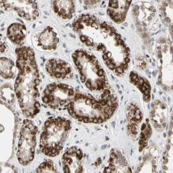
- Main image

- Experimental details
- Immunohistochemical staining of human kidney shows strong cytoplasmic positivity in cells of tubules.
- Validation comment
- Staining pattern partly consistent with experimental and/or bioinformatic data.