Antibody data
- Antibody Data
- Antigen structure
- References [0]
- Comments [0]
- Validations
- Western blot [2]
- Immunocytochemistry [1]
- Immunohistochemistry [2]
Submit
Validation data
Reference
Comment
Report error
- Product number
- PA5-118276 - Provider product page

- Provider
- Invitrogen Antibodies
- Product name
- SP4 Polyclonal Antibody
- Antibody type
- Polyclonal
- Antigen
- Other
- Reactivity
- Human
- Host
- Rabbit
- Isotype
- IgG
- Vial size
- 100 µL
- Storage
- -20° C, Avoid Freeze/Thaw Cycles
No comments: Submit comment
Supportive validation
- Submitted by
- Invitrogen Antibodies (provider)
- Main image

- Experimental details
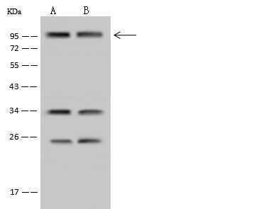
- Western Blot of SP4 in Lane A: Hela Whole Cell Lysate, Lane B: Jurkat Whole Cell Lysate. Samples (30 µg per lane) were incubated with polyclonal antibody (Product # PA5-118276) with a dilution of 1:500 , followed by Goat Anti-Rabbit IgG (H+L)/HRP using a dilution of 1:10,000. Assay was performed under reducing conditions. Predicted band size: 82 kDa, Observed band size: 97 kDa.
- Submitted by
- Invitrogen Antibodies (provider)
- Main image

- Experimental details
- Western Blot using SP4 Polyclonal Antibody (Product # PA5-118276) at 1:500 dilution. Lane A: Hela Whole Cell Lysate, Lane B: Jurkat Whole Cell Lysate. Lysates/proteins at 30 μg per lane. Secondary antibody: Goat Anti-Rabbit IgG (H+L)/HRP at 1:10,000 dilution. Developed using the ECL technique. Performed under reducing conditions. Predicted band size: 82 kDa. Observed band size: 97 kDa.
Supportive validation
- Submitted by
- Invitrogen Antibodies (provider)
- Main image

- Experimental details
- Immunofluorescence staining of SP4 in U251MG cells. Cells were fixed with 4% PFA, permeabilzed with 0.1% Triton X-100 in PBS, blocked with 10% serum, and incubated with SP4 Polyclonal Antibody (Product # PA5-118276, 1:200) at 4°C overnight. Then cells were stained with the Alexa Fluor®488-conjugated Goat Anti-rabbit IgG secondary antibody (green). Positive staining was localized to nucleus.
Supportive validation
- Submitted by
- Invitrogen Antibodies (provider)
- Main image

- Experimental details
- Immunohistochemical staining of human SP4 in human lymph node with SP4 Polyclonal Antibody (Product # PA5-118276, 1:300 dilution, formalin-fixed paraffin embedded sections).
- Submitted by
- Invitrogen Antibodies (provider)
- Main image

- Experimental details
- Immunohistochemical staining of human SP4 in human spleen with SP4 Polyclonal Antibody (Product # PA5-118276, 1:300 dilution, formalin-fixed paraffin embedded sections).