sc-728
antibody from Santa Cruz Biotechnology
Targeting: MAPK14
CSBP1, CSBP2, CSPB1, Mxi2, p38, PRKM14, PRKM15
Antibody data
- Antibody Data
- Antigen structure
- References [5]
- Comments [0]
- Validations
- Western blot [1]
- Immunohistochemistry [1]
Submit
Validation data
Reference
Comment
Report error
- Product number
- sc-728 - Provider product page

- Provider
- Santa Cruz Biotechnology
- Proper citation
- Santa Cruz Biotechnology Cat#sc-728, RRID:AB_632140
- Product name
- Anti-MAPK14
- Antibody type
- Polyclonal (Antigen purified)
- Antigen
- Synthetic peptide
- Reactivity
- Human
- Host
- Rabbit
Submitted references The signal transduction cascade regulating the expression of the gap junction protein connexin43 by beta-adrenoceptors.
Up-regulation of cyclooxygenase-2 expression and prostaglandin E2 production in human endometriotic cells by macrophage migration inhibitory factor: involvement of novel kinase signaling pathways.
Chemical biology investigation of cell death pathways activated by endoplasmic reticulum stress reveals cytoprotective modulators of ASK1.
SUMOylation regulates nucleo-cytoplasmic shuttling of Elk-1.
TGF-β induces fibronectin synthesis through a c-Jun N-terminal kinase-dependent, Smad4-independent pathway
Salameh A, Krautblatter S, Karl S, Blanke K, Gomez DR, Dhein S, Pfeiffer D, Janousek J
British journal of pharmacology 2009 Sep;158(1):198-208
British journal of pharmacology 2009 Sep;158(1):198-208
Up-regulation of cyclooxygenase-2 expression and prostaglandin E2 production in human endometriotic cells by macrophage migration inhibitory factor: involvement of novel kinase signaling pathways.
Carli C, Metz CN, Al-Abed Y, Naccache PH, Akoum A
Endocrinology 2009 Jul;150(7):3128-37
Endocrinology 2009 Jul;150(7):3128-37
Chemical biology investigation of cell death pathways activated by endoplasmic reticulum stress reveals cytoprotective modulators of ASK1.
Kim I, Shu CW, Xu W, Shiau CW, Grant D, Vasile S, Cosford ND, Reed JC
The Journal of biological chemistry 2009 Jan 16;284(3):1593-603
The Journal of biological chemistry 2009 Jan 16;284(3):1593-603
SUMOylation regulates nucleo-cytoplasmic shuttling of Elk-1.
Salinas S, Briançon-Marjollet A, Bossis G, Lopez MA, Piechaczyk M, Jariel-Encontre I, Debant A, Hipskind RA
The Journal of cell biology 2004 Jun 21;165(6):767-73
The Journal of cell biology 2004 Jun 21;165(6):767-73
TGF-β induces fibronectin synthesis through a c-Jun N-terminal kinase-dependent, Smad4-independent pathway
Barbara A. Hocevar, Thomas L. Brown, Philip H. Howe
The EMBO Journal 1999 Mar;18(5):1345-1356
The EMBO Journal 1999 Mar;18(5):1345-1356
No comments: Submit comment
Supportive validation
- Submitted by
- per
- Main image

- Experimental details
- Western blot analysis of antibody specificity using a routine panel composed of IgG/HSA-depleted human plasma and protein lysates from selected human tissues and cell lines.
- Validation comment
- Band of predicted size in kDa (+/-20%) with additional bands present.
- Primary Ab dilution
- 1:500
- Secondary Ab dilution
- 1:3000
- Lane 1
- Marker [kDa]: 219, 111, 83, 48, 32, 26, 17
- Lane 2
- RT-4
- Lane 3
- U-251MG sp
- Lane 4
- Human Plasma
- Lane 5
- Liver
- Lane 6
- Tonsil
- Theoretical target weight
- [kDa] 41
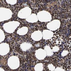
Supportive validation
- Submitted by
- per
- Main image

- Experimental details
- Immunohistochemical staining of human bone marrow shows distinct nuclear and cytoplasmic positivity in bone marrow poietic cells.
- Validation comment
- Staining pattern consistent with experimental and/or bioinformatic data.