H00001432-M01
antibody from Abnova Corporation
Targeting: MAPK14
CSBP1, CSBP2, CSPB1, Mxi2, p38, PRKM14, PRKM15
Antibody data
- Antibody Data
- Antigen structure
- References [0]
- Comments [0]
- Validations
- Western blot [2]
- Immunoprecipitation [1]
- Immunohistochemistry [1]
- Proximity ligation assay [2]
Submit
Validation data
Reference
Comment
Report error
- Product number
- H00001432-M01 - Provider product page

- Provider
- Abnova Corporation
- Proper citation
- Abnova Corporation Cat#H00001432-M01, RRID:AB_626473
- Product name
- MAPK14 monoclonal antibody (M01), clone 3D5
- Antibody type
- Monoclonal
- Description
- Mouse monoclonal antibody raised against a partial recombinant MAPK14.
- Antigen sequence
QSLTQMPKMNFANVFIGANPLAVDLLEKMLVLDSD
KRITAAQALAHAYFAQYHDPDDEPVADPYDQSFES
RDLLIDEWKSLTYDEVISFVPPPLDQEEMES- Isotype
- IgG
- Antibody clone number
- 3D5
- Storage
- Store at -20°C or lower. Aliquot to avoid repeated freezing and thawing.
No comments: Submit comment
Supportive validation
- Submitted by
- Abnova Corporation (provider)
- Main image

- Experimental details
- MAPK14 monoclonal antibody (M01), clone 3D5 Western Blot analysis of MAPK14 expression in C32 ( Cat # L002V1 ).
- Submitted by
- Abnova Corporation (provider)
- Main image

- Experimental details
- Western Blot analysis of MAPK14 expression in transfected 293T cell line by MAPK14 monoclonal antibody (M01), clone 3D5.Lane 1: MAPK14 transfected lysate(41.3 KDa).Lane 2: Non-transfected lysate.
Supportive validation
- Submitted by
- Abnova Corporation (provider)
- Main image

- Experimental details
- Immunoprecipitation of MAPK14 transfected lysate using anti-MAPK14 monoclonal antibody and Protein A Magnetic Bead (U0007), and immunoblotted with MAPK14 monoclonal antibody.
- Validation comment
- Immunoprecipitation
- Protocol
- Protocol
Supportive validation
- Submitted by
- Abnova Corporation (provider)
- Main image

- Experimental details
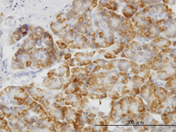
- Immunoperoxidase of monoclonal antibody to MAPK14 on formalin-fixed paraffin-embedded human pancreas. [antibody concentration 3 ug/ml]
- Validation comment
- Immunohistochemistry (Formalin/PFA-fixed paraffin-embedded sections)
- Protocol
- Protocol
Supportive validation
- Submitted by
- Abnova Corporation (provider)
- Main image

- Experimental details
- Proximity Ligation Analysis of protein-protein interactions between AKT1 and MAPK14. Huh7 cells were stained with anti-AKT1 rabbit purified polyclonal 1:1200 and anti-MAPK14 mouse monoclonal antibody 1:50. Each red dot represents the detection of protein-protein interaction complex, and nuclei were counterstained with DAPI (blue).
- Validation comment
- In situ Proximity Ligation Assay (Cell)
- Submitted by
- Abnova Corporation (provider)
- Main image

- Experimental details
- Proximity Ligation Analysis of protein-protein interactions between AKT1 and MAPK14. HeLa cells were stained with anti-AKT1 rabbit purified polyclonal 1:1200 and anti-MAPK14 mouse monoclonal antibody 1:50. Each red dot represents the detection of protein-protein interaction complex, and nuclei were counterstained with DAPI (blue).
- Validation comment
- In situ Proximity Ligation Assay (Cell)