Antibody data
- Antibody Data
- Antigen structure
- References [0]
- Comments [0]
- Validations
- Immunohistochemistry [1]
Submit
Validation data
Reference
Comment
Report error
- Product number
- RQ4780 - Provider product page

- Provider
- NSJ Bioreagents
- Product name
- MAF Antibody
- Antibody type
- Monoclonal
- Description
- This highly specific MAF antibody is suitable for use in Immunohistochemistry applications with human samples.
- Reactivity
- Human
- Host
- Rabbit
- Conjugate
- Unconjugated
- Antibody clone number
- DHI-13
- Vial size
- 100 ul
- Concentration
- Antibody in PBS with 0.02% sodium azide, 50% glycerol and 0.4-0.5mg/ml BSA
- Storage
- Store the MAF antibody at -20oC.
No comments: Submit comment
Supportive validation
- Submitted by
- NSJ Bioreagents (provider)
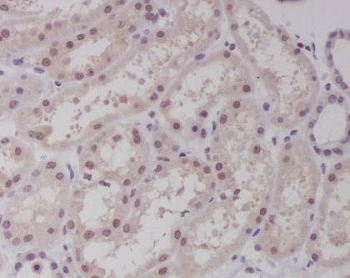
- Main image

- Experimental details
- IHC staining of FFPE human kidney tissue with MAF antibody. HIER: boil tissue sections in pH6, 10mM citrate buffer, for 10-20 min and allow to cool before testing.