Antibody data
- Antibody Data
 - Antigen structure
 - References [3]
 - Comments [0]
 - Validations
 - Western blot [1]
 - Immunohistochemistry [4]
 - Other assay [4]
 
Submit
Validation data
Reference
Comment
Report error
- Product number
 - PA5-72843 - Provider product page

 - Provider
 - Invitrogen Antibodies
 - Product name
 - Jagged1 Polyclonal Antibody
 - Antibody type
 - Polyclonal
 - Antigen
 - Synthetic peptide
 - Reactivity
 - Human, Mouse, Rat
 - Host
 - Rabbit
 - Isotype
 - IgG
 - Vial size
 - 100 μg
 - Concentration
 - 1 mg/mL
 - Storage
 - 4°C
 
Submitted references		Nuclear and Membrane Receptors for Sex Steroids Are Involved in the Regulation of Delta/Serrate/LAG-2 Proteins in Rodent Sertoli Cells.
				
A dopamine-methacrylated hyaluronic acid hydrogel as an effective carrier for stem cells in skin regeneration therapy.
				
Disruption of androgen signaling during puberty affects Notch pathway in rat seminiferous epithelium.
				
		
	
			Lustofin S, Kamińska A, Brzoskwinia M, Cyran J, Kotula-Balak M, Bilińska B, Hejmej A
International journal of molecular sciences 2022 Feb 18;23(4)
		International journal of molecular sciences 2022 Feb 18;23(4)
A dopamine-methacrylated hyaluronic acid hydrogel as an effective carrier for stem cells in skin regeneration therapy.
			Gong M, Yan F, Yu L, Li F
Cell death & disease 2022 Aug 27;13(8):738
		Cell death & disease 2022 Aug 27;13(8):738
Disruption of androgen signaling during puberty affects Notch pathway in rat seminiferous epithelium.
			Kamińska A, Marek S, Pardyak L, Brzoskwinia M, Pawlicki P, Bilińska B, Hejmej A
Reproductive biology and endocrinology : RB&E 2020 Apr 16;18(1):30
		Reproductive biology and endocrinology : RB&E 2020 Apr 16;18(1):30
				No comments: Submit comment	
	
			
							
					Supportive validation
					
									
				
				- Submitted by
 - Invitrogen Antibodies (provider)
 - Main image
 
- Experimental details
 - Western Blot analysis of JAG1 in HeLa cell lysate with Jagged1 Polyclonal Antibody (Product # PA5-72843) at 1 µg/mL.
 
							
					Supportive validation
					
									
				
				- Submitted by
 - Invitrogen Antibodies (provider)
 - Main image
 
- Experimental details
 - Immunohistochemistry of JAG1 in human spleen tissue with Jagged1 Polyclonal Antibody (Product # PA5-72843) at 5 µg/mL.
 
- Submitted by
 - Invitrogen Antibodies (provider)
 - Main image
 
- Experimental details
 - Immunofluorescence of JAG1 in human spleen tissue with Jagged1 Polyclonal Antibody (Product # PA5-72843) at 20 µg/mL.
 
- Submitted by
 - Invitrogen Antibodies (provider)
 - Main image
 
- Experimental details
 - Immunohistochemistry of JAG1 in human spleen tissue with Jagged1 Polyclonal Antibody (Product # PA5-72843) at 5 µg/mL.
 
- Submitted by
 - Invitrogen Antibodies (provider)
 - Main image
 
- Experimental details
 - Immunofluorescence of JAG1 in human spleen tissue with Jagged1 Polyclonal Antibody (Product # PA5-72843) at 20 µg/mL.
 
							
					Supportive validation
					
									
				
		- Submitted by
 - Invitrogen Antibodies (provider)
 - Main image
 
- Experimental details
 - The effect of androgen receptor antagonists on mRNA and protein expression of Jag1 /JAG1, Dll1 /DLL1, and Dll4 /DLL4 in primary rat Sertoli cells. Cells were treated with 10 -8 M testosterone (T), 10 -4 M hydroxyflutamide (HF), HF + T, 10 -6 M bicalutamide (Bic), Bic + T, or vehicle (C) for 24 h. ( a , c , e ) Relative expression of mRNAs (RQ) was determined using real-time RT-PCR analysis. The expression values of the individual genes were normalized to the mean expression of the reference genes. ( b , d , f ) Western blot detection of the proteins. The relative level of studied protein was normalized to beta-actin. The protein levels within the control group were arbitrarily set at 1. The histograms are the quantitative representation of data (mean +- SD) of three independent experiments, each in triplicate. Significant differences from control values are denoted as * p < 0.05, ** p < 0.01, and *** p < 0.001. ( g ) Immunofluorescence analysis of JAG1, DLL1, and DLL4 expression. Scale bar = 10 um.
 
- Submitted by
 - Invitrogen Antibodies (provider)
 - Main image
 
- Experimental details
 - The effect of androgen receptor antagonists or androgen receptor silencing on mRNA and protein expression of Jag1 /JAG1, Dll1 /DLL1, and Dll4 /DLL4 in TM4 Sertoli cell line. ( a - g ) Cells were treated with 10 -8 M testosterone (T), 10 -4 M hydroxyflutamide (HF), HF + T, 10 -6 M bicalutamide (Bic), Bic + T, or vehicle (C) for 24 h. ( h - n ) Cells were treated with transfection reagent alone (C), transfection reagent + 5 x 10 -8 M non-targeting siRNA (negative control, NT), transfection reagent + 5 x 10 -8 M AR siRNA (AR-Kd), or ZIP9 siRNA (ZIP9-Kd). After 24 h, 10 -8 M T or vehicle was added to the culture. ( a , c , e , h , j , l ) Relative expression of mRNAs (RQ) was determined using real-time RT-PCR analysis. The expression values of the individual genes were normalized to the mean expression of the reference genes. ( b , d , f , i , k , m ) Western blot detection of the proteins. The relative level of studied protein was normalized to beta-actin. The protein levels within the control group were arbitrarily set at 1. The histograms are the quantitative representation of data (mean +- SD) of three independent experiments, each in triplicate. Significant differences from control values are denoted as * p < 0.05, ** p < 0.01, and *** p < 0.001. ( g , n ) Immunofluorescence analysis of JAG1, DLL1, and DLL4 expression. Scale bar = 10 um.
 
- Submitted by
 - Invitrogen Antibodies (provider)
 - Main image
 
- Experimental details
 - The effect of estrogen receptor antagonists on mRNA and protein expression of Jag1 /JAG1, Dll1 /DLL1, and Dll4 /DLL4 in primary rat Sertoli cells. Cells were treated with 10 -9 M 17beta-estradiol (E), 10 -6 M ICI 182,780 (ICI), ICI + E, 10 -8 M G15, G15 + E, or vehicle (C) for 24 h. ( a , c , e ) Relative expression of mRNAs (RQ) was determined using real-time RT-PCR analysis. The expression values of the individual genes were normalized to the mean expression of the reference genes. ( b , d , f ) Western blot detection of the proteins. The relative level of studied protein was normalized to beta-actin. The protein levels within the control group were arbitrarily set at 1. The histograms are the quantitative representation of data (mean +- SD) of three independent experiments, each in triplicate. Significant differences from control values are denoted as * p < 0.05, ** p < 0.01, and *** p < 0.001. ( g ) Immunofluorescence analysis of JAG1, DLL1, and DLL4 expression. Scale bar = 10 um.
 
- Submitted by
 - Invitrogen Antibodies (provider)
 - Main image
 
- Experimental details
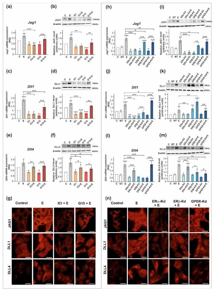
 - The effect of estrogen receptor antagonists or estrogen receptor silencing on mRNA and protein expression of Jag1 /JAG1, Dll1 /DLL1, and Dll4 /DLL4 in TM4 Sertoli cell line. ( a - g ) Cells were treated with 10 -9 M 17beta-estradiol (E), 10 -6 M ICI 182,780 (ICI), ICI + E, 10 -8 M G15, G15 + E, or vehicle (C) for 24 h. ( h - n ) Cells were treated with transfection reagent alone (C), transfection reagent + 5 x 10 -8 M non-targeting siRNA (negative control, NT), transfection reagent + 5 x 10 -8 M ERalpha siRNA (ERalpha -Kd), ERbeta siRNA (ERbeta -Kd), or GPER siRNA (GPER-Kd). After 24 h, 17beta-estradiol or vehicle was added to the culture. ( a , c , e , h , j , l ) Relative expression of mRNAs (RQ) was determined using real-time RT-PCR analysis. The expression values of the individual genes were normalized to the mean expression of the reference genes. ( b , d , f , i , k , m ) Western blot detection of the proteins. The relative level of studied protein was normalized to beta-actin. The protein levels within the control group were arbitrarily set at 1. The histograms are the quantitative representation of data (mean +- SD) of three independent experiments, each in triplicate. Significant differences from control values are denoted as * p < 0.05, ** p < 0.01, and *** p < 0.001. ( g , n ) Immunofluorescence analysis of JAG1, DLL1, and DLL4 expression. Scale bar = 10 um.