GTX22731
antibody from GeneTex
Targeting: CLTC
CLTCL2, Hc
Antibody data
- Antibody Data
- Antigen structure
- References [5]
- Comments [0]
- Validations
- Immunocytochemistry [1]
- Immunohistochemistry [1]
Submit
Validation data
Reference
Comment
Report error
- Product number
- GTX22731 - Provider product page

- Provider
- GeneTex
- Proper citation
- GeneTex Cat#GTX22731, RRID:AB_369614
- Product name
- Clathrin heavy chain antibody [X22]
- Antibody type
- Monoclonal
- Reactivity
- Human, Mouse, Rat, Bovine, Canine, Hamster, Simian
- Host
- Mouse
Submitted references Convallatoxin enhance the ligand-induced mu-opioid receptor endocytosis and attenuate morphine antinociceptive tolerance in mice.
Protease-activated Receptor-4 Signaling and Trafficking Is Regulated by the Clathrin Adaptor Protein Complex-2 Independent of β-Arrestins.
Cell surface epidermal growth factor receptors increase Src and c-Cbl activity and receptor ubiquitylation.
Size-dependent toxicity and cell interaction mechanisms of gold nanoparticles on mouse fibroblasts.
Phosphorylation of protease-activated receptor-2 differentially regulates desensitization and internalization.
Chao PK, Chang HF, Ou LC, Chuang JY, Lee PT, Chang WT, Chen SC, Ueng SH, Hsu JT, Tao PL, Law PY, Loh HH, Yeh SH
Scientific reports 2019 Feb 20;9(1):2405
Scientific reports 2019 Feb 20;9(1):2405
Protease-activated Receptor-4 Signaling and Trafficking Is Regulated by the Clathrin Adaptor Protein Complex-2 Independent of β-Arrestins.
Smith TH, Coronel LJ, Li JG, Dores MR, Nieman MT, Trejo J
The Journal of biological chemistry 2016 Aug 26;291(35):18453-64
The Journal of biological chemistry 2016 Aug 26;291(35):18453-64
Cell surface epidermal growth factor receptors increase Src and c-Cbl activity and receptor ubiquitylation.
Parks EE, Ceresa BP
The Journal of biological chemistry 2014 Sep 12;289(37):25537-45
The Journal of biological chemistry 2014 Sep 12;289(37):25537-45
Size-dependent toxicity and cell interaction mechanisms of gold nanoparticles on mouse fibroblasts.
Coradeghini R, Gioria S, García CP, Nativo P, Franchini F, Gilliland D, Ponti J, Rossi F
Toxicology letters 2013 Mar 13;217(3):205-16
Toxicology letters 2013 Mar 13;217(3):205-16
Phosphorylation of protease-activated receptor-2 differentially regulates desensitization and internalization.
Ricks TK, Trejo J
The Journal of biological chemistry 2009 Dec 4;284(49):34444-57
The Journal of biological chemistry 2009 Dec 4;284(49):34444-57
No comments: Submit comment
Supportive validation
- Submitted by
- GeneTex (provider)
- Main image

- Experimental details
- Immunofluorescent analysis of Clathrin heavy chain in HeLa cells. Clathrin heavy chain staining (green), F-Actin staining with Phalloidin (red) and nuclei with DAPI (blue) is shown. Cells were grown on slides and fixed with formaldehyde prior to staining. Cells were probed without (control) or with Clathrin heavy chain antibody [X22] at a dilution of 1:200 over night at 4 ?C, washed with PBS and incubated with a proper secondary antibody. Images were taken at 60X magnification.
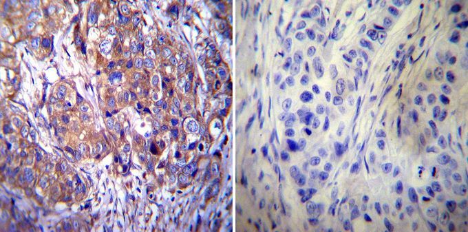
Supportive validation
- Submitted by
- GeneTex (provider)
- Main image

- Experimental details
- Immunohistochemistry was performed on cancer biopsies of deparaffinized human breast carcinoma tissue. To expose target proteins, heat induced antigen retrieval was performed using 10mM sodium citrate (pH6.0) buffer, microwaved for 8-15 minutes. Following antigen retrieval tissues were blocked in 3% BSA-PBS for 30 minutes at room temperature. Tissues were then probed at a dilution of 1:100 with or without Clathrin heavy chain antibody [X22] overnight at 4¢XC in a humidified chamber. Tissues were washed extensively with PBST and endogenous peroxidase activity was quenched with a peroxidase suppressor. Detection was performed using a biotin-conjugated secondary antibody and SA-HRP, followed by colorimetric detection using DAB. Tissues were counterstained with hematoxylin and prepped for mounting.