sc-9072
antibody from Santa Cruz Biotechnology
		Targeting: TNFRSF11A
		
		CD265, FEO, LOH18CR1, PDB2, RANK	
	
	
	
	
Antibody data
- Antibody Data
- Antigen structure
- References [1]
- Comments [0]
- Validations
- Western blot [1]
- Immunohistochemistry [1]
Submit
Validation data
Reference
Comment
Report error
- Product number
- sc-9072 - Provider product page 
- Provider
- Santa Cruz Biotechnology
- Proper citation
- Santa Cruz Biotechnology Cat#sc-9072, RRID:AB_2205352
- Product name
- Anti-TNFRSF11A
- Antibody type
- Polyclonal
- Antigen
- Recombinant full-length protein
- Reactivity
- Human
- Host
- Rabbit
Submitted references		Identification of a novel L-serine analog that suppresses osteoclastogenesis in vitro and bone turnover in vivo.
				
		
	
			Bahtiar A, Matsumoto T, Nakamura T, Akiyama M, Yogo K, Ishida-Kitagawa N, Ogawa T, Takeya T
The Journal of biological chemistry 2009 Dec 4;284(49):34157-66
		The Journal of biological chemistry 2009 Dec 4;284(49):34157-66
				No comments: Submit comment	
	
			
							
					Supportive validation
					
									
				
				- Submitted by
- per
- Main image
 
- Experimental details
- Western blot analysis of antibody specificity using a routine panel composed of IgG/HSA-depleted human plasma and protein lysates from selected human tissues and cell lines.
- Validation comment
- Band of predicted size in kDa (+/-20%) with additional bands present.
- Primary Ab dilution
- 1:500
- Secondary Ab dilution
- 1:3000
- Lane 1
- Marker [kDa]: 219, 111, 83, 48, 32, 26, 17
- Lane 2
- RT-4
- Lane 3
- U-251MG sp
- Lane 4
- Human Plasma
- Lane 5
- Liver
- Lane 6
- Tonsil
- Theoretical target weight
- [kDa] 66
							
					Supportive validation
					
									
				
		- Submitted by
- per
- Main image
 
- Experimental details
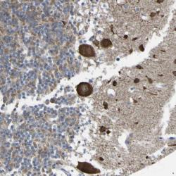
- Immunohistochemical staining of human cerebellum shows strong cytoplasmic positivity in purkinje cells.
- Validation comment
- Staining pattern consistent with experimental and/or bioinformatic data.