Antibody data
- Antibody Data
 - Antigen structure
 - References [0]
 - Comments [0]
 - Validations
 - Immunohistochemistry [2]
 
Submit
Validation data
Reference
Comment
Report error
- Product number
 - TA350573 - Provider product page

 - Provider
 - OriGene
 - Product name
 - Rabbit Polyclonal Anti-TBL1Y Antibody
 - Antibody type
 - Polyclonal
 - Description
 - Rabbit Polyclonal Anti-TBL1Y Antibody
 - Host
 - Rabbit
 - Conjugate
 - Unconjugated
 - Epitope
 - TBL1Y
 - Isotype
 - IgG
 - Antibody clone number
 - NULL
 - Vial size
 - 100 µl
 - Concentration
 - 1 mg/ml
 
				No comments: Submit comment	
	
			
							
					Supportive validation
					
									
				
		- Submitted by
 - OriGene (provider)
 - Main image
 
- Experimental details
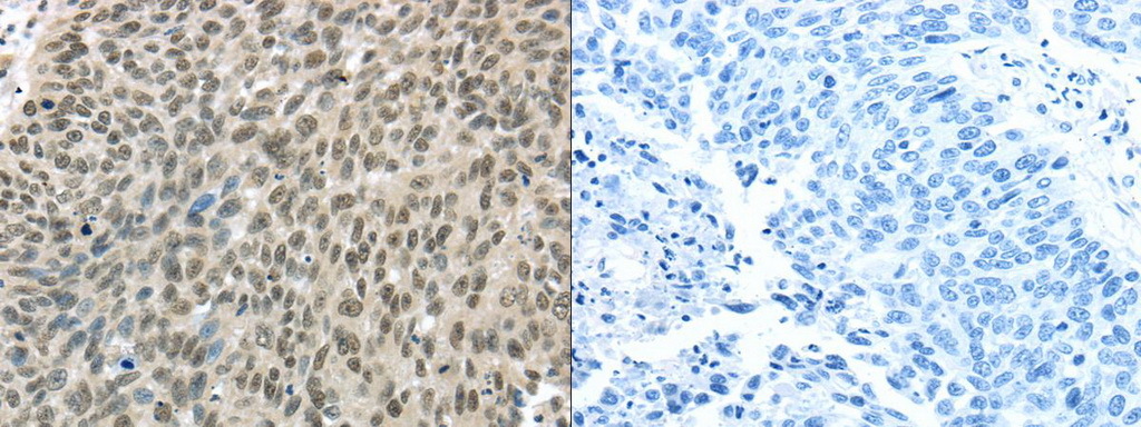
 - The image on the left is immunohistochemistry of paraffin-embedded Human thyroid cancer tissue using (TBL1Y Antibody) at dilution 1/20, on the right is treated with fusion protein. (Original magnification: ?200)
 - Validation comment
 - IHC
 
- Submitted by
 - OriGene (provider)
 - Main image
 
- Experimental details
 - The image on the left is immunohistochemistry of paraffin-embedded Human lung cancer tissue using (TBL1Y Antibody) at dilution 1/20, on the right is treated with fusion protein. (Original magnification: ?200)
 - Validation comment
 - IHC