PA5-93320
antibody from Invitrogen Antibodies
Targeting: RASGRF1
CDC25, CDC25L, GNRP, GRF1, GRF55, H-GRF55, PP13187
Antibody data
- Antibody Data
- Antigen structure
- References [0]
- Comments [0]
- Validations
- Immunocytochemistry [1]
- Immunohistochemistry [1]
Submit
Validation data
Reference
Comment
Report error
- Product number
- PA5-93320 - Provider product page

- Provider
- Invitrogen Antibodies
- Product name
- RASGRF1 Polyclonal Antibody
- Antibody type
- Polyclonal
- Antigen
- Recombinant full-length protein
- Reactivity
- Human, Mouse
- Host
- Rabbit
- Isotype
- IgG
- Vial size
- 100 µL
- Concentration
- 2.39 mg/mL
- Storage
- -20° C, Avoid Freeze/Thaw Cycles
No comments: Submit comment
Supportive validation
- Submitted by
- Invitrogen Antibodies (provider)
- Main image

- Experimental details
- Immunocytochemistry-Immunofluorescence analysis of RASGRF1 was performed in U2OS cells using RASGRF1 Polyclonal Antibody (Product # PA5-93320).
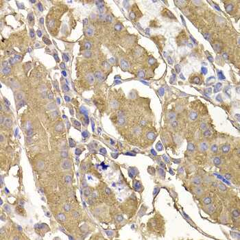
Supportive validation
- Submitted by
- Invitrogen Antibodies (provider)
- Main image

- Experimental details
- Immunohistochemistry analysis of RASGRF1 in paraffin-embedded human stomach using RASGRF1 Polyclonal Antibody (Product # PA5-93320) at a dilution of 1:200.