Antibody data
- Antibody Data
- Antigen structure
- References [0]
- Comments [0]
- Validations
- Immunohistochemistry [4]
Submit
Validation data
Reference
Comment
Report error
- Product number
- BS-0200R - Provider product page

- Provider
- Invitrogen Antibodies
- Product name
- PACAP-38 Polyclonal Antibody
- Antibody type
- Polyclonal
- Antigen
- Synthetic peptide
- Reactivity
- Human, Mouse, Rat
- Host
- Rabbit
- Isotype
- IgG
- Vial size
- 100 µL
- Concentration
- 1 mg/mL
- Storage
- -20°C
No comments: Submit comment
Supportive validation
- Submitted by
- Invitrogen Antibodies (provider)
- Main image

- Experimental details
- Formalin-fixed and paraffin embedded rat brain tissue labeled with Rabbit Anti-PACAP-38 Polyclonal Antibody (bs-0200R), Unconjugated at 1:200 followed by conjugation to the secondary antibody and DAB staining.
- Submitted by
- Invitrogen Antibodies (provider)
- Main image

- Experimental details
- Formalin-fixed and paraffin embedded mouse small intestine tissue labeled with Rabbit Anti-PACAP-38 Polyclonal Antibody (bs-0200R), Unconjugated at 1:200 followed by conjugation to the secondary antibody and DAB staining.
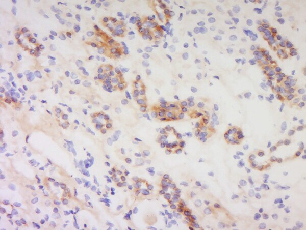
- Submitted by
- Invitrogen Antibodies (provider)
- Main image

- Experimental details
- Formalin-fixed and paraffin embedded mouse small intestine tissue labeled with Rabbit Anti-PACAP-38 Polyclonal Antibody (bs-0200R), Unconjugated at 1:200 followed by conjugation to the secondary antibody and DAB staining.
- Submitted by
- Invitrogen Antibodies (provider)
- Main image

- Experimental details
- Formalin-fixed and paraffin embedded human kidney labeled with Anti-PACAP-38 Polyclonal Antibody, Unconjugated (bs-0200R) at 1:200 followed by conjugation to the secondary antibody and DAB staining.