Antibody data
- Antibody Data
- Antigen structure
- References [3]
- Comments [0]
- Validations
- Immunohistochemistry [1]
Submit
Validation data
Reference
Comment
Report error
- Product number
- sc-867 - Provider product page

- Provider
- Santa Cruz Biotechnology
- Proper citation
- Santa Cruz Biotechnology Cat#sc-867, RRID:AB_631959
- Product name
- Anti-KIF23
- Antibody type
- Polyclonal
- Antigen
- Recombinant full-length protein
- Reactivity
- Human
- Host
- Rabbit
Submitted references KIF14 and citron kinase act together to promote efficient cytokinesis.
Relocation of Aurora B from centromeres to the central spindle at the metaphase to anaphase transition requires MKlp2.
Phosphorylation of mitotic kinesin-like protein 2 by polo-like kinase 1 is required for cytokinesis.
Gruneberg U, Neef R, Li X, Chan EH, Chalamalasetty RB, Nigg EA, Barr FA
The Journal of cell biology 2006 Jan 30;172(3):363-72
The Journal of cell biology 2006 Jan 30;172(3):363-72
Relocation of Aurora B from centromeres to the central spindle at the metaphase to anaphase transition requires MKlp2.
Gruneberg U, Neef R, Honda R, Nigg EA, Barr FA
The Journal of cell biology 2004 Jul 19;166(2):167-72
The Journal of cell biology 2004 Jul 19;166(2):167-72
Phosphorylation of mitotic kinesin-like protein 2 by polo-like kinase 1 is required for cytokinesis.
Neef R, Preisinger C, Sutcliffe J, Kopajtich R, Nigg EA, Mayer TU, Barr FA
The Journal of cell biology 2003 Sep 1;162(5):863-75
The Journal of cell biology 2003 Sep 1;162(5):863-75
No comments: Submit comment
Supportive validation
- Submitted by
- per
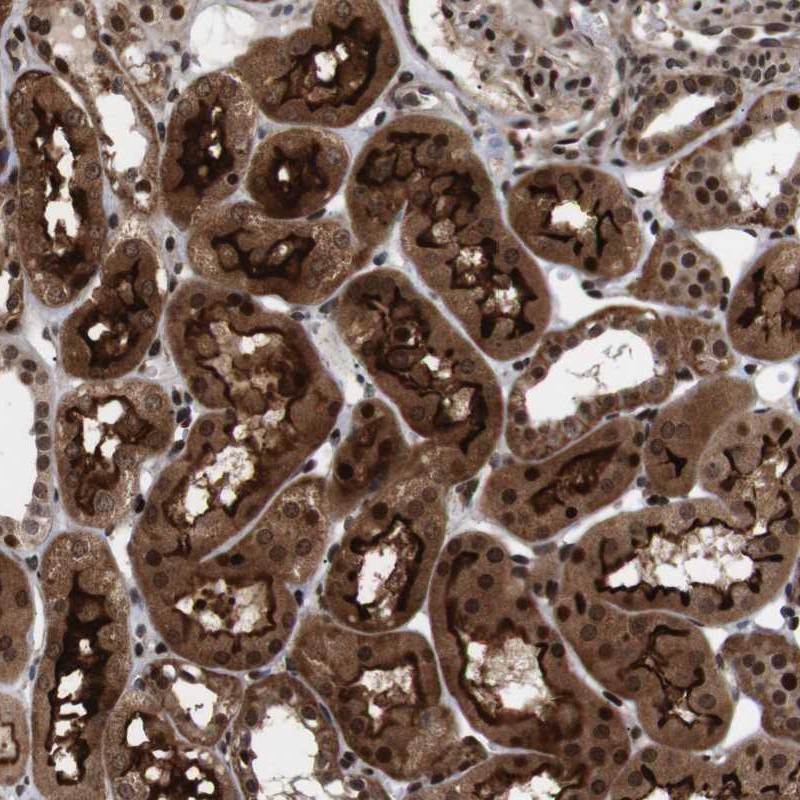
- Main image

- Experimental details
- Immunohistochemical staining of human kidney shows strong cytoplasmic, membranous and nuclear positivity in cells of tubules.
- Validation comment
- Staining pattern partly consistent with experimental and/or bioinformatic data.