Antibody data
- Antibody Data
- Antigen structure
- References [1]
- Comments [0]
- Validations
- Western blot [3]
- ELISA [1]
- Immunocytochemistry [1]
- Immunohistochemistry [1]
Submit
Validation data
Reference
Comment
Report error
- Product number
- H00022800-M01 - Provider product page

- Provider
- Abnova Corporation
- Proper citation
- Abnova Corporation Cat#H00022800-M01, RRID:AB_425895
- Product name
- RRAS2 monoclonal antibody (M01), clone 2D3-4B8
- Antibody type
- Monoclonal
- Description
- Mouse monoclonal antibody raised against a full length recombinant RRAS2.
- Antigen sequence
MAAAGWRDGSGQEKYRLVVVGGGGVGKSALTIQFI
QSYFVTDYDPTIEDSYTKQCVIDDRAARLDILDTA
GQEEFGAMREQYMRTGEGFLLVFSVTDRGSFEEIY
KFQRQILRVKDRDEFPMILIGNKADLDHQRQVTQE
EGQQLARQLKVTYMEASAKIRMNVDQAFHELVRVI
RKFQEQECPPSPEPTRKEKDKKGCHCVIF- Isotype
- IgG
- Antibody clone number
- 2D3-4B8
- Storage
- Store at -20°C or lower. Aliquot to avoid repeated freezing and thawing.
Submitted references In vivo regulation of TGF-β by R-Ras2 revealed through loss of the RasGAP protein NF1.
Patmore DM, Welch S, Fulkerson PC, Wu J, Choi K, Eaves D, Kordich JJ, Collins MH, Cripe TP, Ratner N
Cancer research 2012 Oct 15;72(20):5317-27
Cancer research 2012 Oct 15;72(20):5317-27
No comments: Submit comment
Supportive validation
- Submitted by
- Abnova Corporation (provider)
- Main image

- Experimental details
- RRAS2 monoclonal antibody (M01), clone 2D3-4B8 Western Blot analysis of RRAS2 expression in A-431 ( Cat # L015V1 ).
- Submitted by
- Abnova Corporation (provider)
- Main image

- Experimental details
- RRAS2 monoclonal antibody (M01), clone 2D3-4B8. Western Blot analysis of RRAS2 expression in Raw 264.7(Cat # L024V1 ).
- Submitted by
- Abnova Corporation (provider)
- Main image

- Experimental details
- Western Blot analysis of RRAS2 expression in transfected 293T cell line by RRAS2 monoclonal antibody (M01), clone 2D3-4B8.Lane 1: RRAS2 transfected lysate (Predicted MW: 23.4 KDa).Lane 2: Non-transfected lysate.
Supportive validation
- Submitted by
- Abnova Corporation (provider)
- Main image

- Experimental details
- Detection limit for recombinant GST tagged RRAS2 is 1 ng/ml as a capture antibody.
- Validation comment
- Sandwich ELISA (Recombinant protein)
- Protocol
- Protocol
Supportive validation
- Submitted by
- Abnova Corporation (provider)
- Main image

- Experimental details
- Immunofluorescence of monoclonal antibody to RRAS2 on A-431 cell. [antibody concentration 10 ug/ml]
- Validation comment
- Immunofluorescence
- Protocol
- Protocol
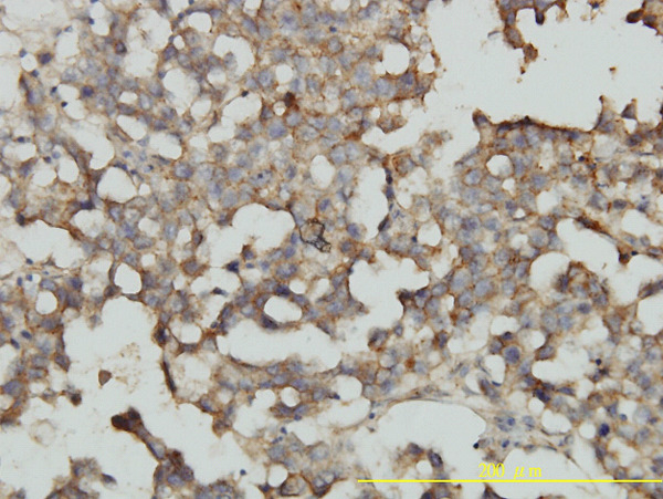
Supportive validation
- Submitted by
- Abnova Corporation (provider)
- Main image

- Experimental details
- Immunoperoxidase of monoclonal antibody to RRAS2 on formalin-fixed paraffin-embedded human dysgerminoma tissue. [antibody concentration 5 ug/ml]
- Validation comment
- Immunohistochemistry (Formalin/PFA-fixed paraffin-embedded sections)
- Protocol
- Protocol