Antibody data
- Antibody Data
- Antigen structure
- References [3]
- Comments [0]
- Validations
- Western blot [1]
- Immunohistochemistry [1]
Submit
Validation data
Reference
Comment
Report error
- Product number
- sc-9140 - Provider product page

- Provider
- Santa Cruz Biotechnology
- Proper citation
- Santa Cruz Biotechnology Cat#sc-9140, RRID:AB_2187342
- Product name
- Anti-SKI
- Antibody type
- Polyclonal
- Antigen
- Recombinant full-length protein
- Reactivity
- Human
- Host
- Rabbit
Submitted references Smad ubiquitination regulatory factor-2 in the fibrotic kidney: regulation, target specificity, and functional implication.
Ubiquitin-dependent degradation of SnoN and Ski is increased in renal fibrosis induced by obstructive injury
Hepatocyte growth factor suppresses renal interstitial myofibroblast activation and intercepts Smad signal transduction.
Tan R, He W, Lin X, Kiss LP, Liu Y
American journal of physiology. Renal physiology 2008 May;294(5):F1076-83
American journal of physiology. Renal physiology 2008 May;294(5):F1076-83
Ubiquitin-dependent degradation of SnoN and Ski is increased in renal fibrosis induced by obstructive injury
H Fukasawa, T Yamamoto, A Togawa, N Ohashi, Y Fujigaki, T Oda, C Uchida, K Kitagawa, T Hattori, S Suzuki, M Kitagawa, A Hishida
Kidney International 2006 Apr;69(10):1733-1740
Kidney International 2006 Apr;69(10):1733-1740
Hepatocyte growth factor suppresses renal interstitial myofibroblast activation and intercepts Smad signal transduction.
Yang J, Dai C, Liu Y
The American journal of pathology 2003 Aug;163(2):621-32
The American journal of pathology 2003 Aug;163(2):621-32
No comments: Submit comment
Supportive validation
- Submitted by
- per
- Main image

- Experimental details
- Western blot analysis of antibody specificity using a routine panel composed of IgG/HSA-depleted human plasma and protein lysates from selected human tissues and cell lines.
- Validation comment
- Single band corresponding to the predicted size in kDa (+/-20%).
- Primary Ab dilution
- 1:500
- Secondary Ab dilution
- 1:3000
- Lane 1
- Marker [kDa]: 219, 111, 83, 48, 32, 26, 17
- Lane 2
- RT-4
- Lane 3
- U-251MG sp
- Lane 4
- Human Plasma
- Lane 5
- Liver
- Lane 6
- Tonsil
- Theoretical target weight
- [kDa] 80
Supportive validation
- Submitted by
- per
- Main image

- Experimental details
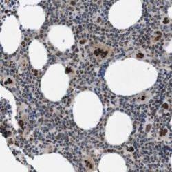
- Immunohistochemical staining of human bone marrow shows strong nuclear positivity in megakaryocytes.
- Validation comment
- Staining pattern partly consistent with experimental and/or bioinformatic data.