Antibody data
- Antibody Data
- Antigen structure
- References [7]
- Comments [0]
- Validations
- Western blot [1]
- Immunohistochemistry [1]
Submit
Validation data
Reference
Comment
Report error
- Product number
- sc-924 - Provider product page

- Provider
- Santa Cruz Biotechnology
- Proper citation
- Santa Cruz Biotechnology Cat#sc-924, RRID:AB_631436
- Product name
- Anti-EPHA2
- Antibody type
- Polyclonal (Antigen purified)
- Antigen
- Synthetic peptide
- Reactivity
- Human
- Host
- Rabbit
Submitted references Using patterned supported lipid membranes to investigate the role of receptor organization in intercellular signaling.
A potential tumor suppressor role for Hic1 in breast cancer through transcriptional repression of ephrin-A1.
Regulation of mammary gland branching morphogenesis by EphA2 receptor tyrosine kinase.
Expressions of EphA2 and EphrinA-1 in early squamous cell cervical carcinomas and their relation to prognosis.
The receptor tyrosine kinase EphA2 promotes mammary adenocarcinoma tumorigenesis and metastatic progression in mice by amplifying ErbB2 signaling.
Expression of EphA2 and EphrinA-1 in vulvar carcinomas and its relation to prognosis.
Essential role of Vav family guanine nucleotide exchange factors in EphA receptor-mediated angiogenesis.
Nair PM, Salaita K, Petit RS, Groves JT
Nature protocols 2011 Apr;6(4):523-39
Nature protocols 2011 Apr;6(4):523-39
A potential tumor suppressor role for Hic1 in breast cancer through transcriptional repression of ephrin-A1.
Zhang W, Zeng X, Briggs KJ, Beaty R, Simons B, Chiu Yen RW, Tyler MA, Tsai HC, Ye Y, Gesell GS, Herman JG, Baylin SB, Watkins DN
Oncogene 2010 Apr 29;29(17):2467-76
Oncogene 2010 Apr 29;29(17):2467-76
Regulation of mammary gland branching morphogenesis by EphA2 receptor tyrosine kinase.
Vaught D, Chen J, Brantley-Sieders DM
Molecular biology of the cell 2009 May;20(10):2572-81
Molecular biology of the cell 2009 May;20(10):2572-81
Expressions of EphA2 and EphrinA-1 in early squamous cell cervical carcinomas and their relation to prognosis.
Holm R, de Putte GV, Suo Z, Lie AK, Kristensen GB
International journal of medical sciences 2008 Jun 5;5(3):121-6
International journal of medical sciences 2008 Jun 5;5(3):121-6
The receptor tyrosine kinase EphA2 promotes mammary adenocarcinoma tumorigenesis and metastatic progression in mice by amplifying ErbB2 signaling.
Brantley-Sieders DM, Zhuang G, Hicks D, Fang WB, Hwang Y, Cates JM, Coffman K, Jackson D, Bruckheimer E, Muraoka-Cook RS, Chen J
The Journal of clinical investigation 2008 Jan;118(1):64-78
The Journal of clinical investigation 2008 Jan;118(1):64-78
Expression of EphA2 and EphrinA-1 in vulvar carcinomas and its relation to prognosis.
Holm R, Knopp S, Suo Z, Tropè C, Nesland JM
Journal of clinical pathology 2007 Oct;60(10):1086-91
Journal of clinical pathology 2007 Oct;60(10):1086-91
Essential role of Vav family guanine nucleotide exchange factors in EphA receptor-mediated angiogenesis.
Hunter SG, Zhuang G, Brantley-Sieders D, Swat W, Cowan CW, Chen J
Molecular and cellular biology 2006 Jul;26(13):4830-42
Molecular and cellular biology 2006 Jul;26(13):4830-42
No comments: Submit comment
Supportive validation
- Submitted by
- per
- Main image

- Experimental details
- Western blot analysis of antibody specificity using a routine panel composed of IgG/HSA-depleted human plasma and protein lysates from selected human tissues and cell lines.
- Validation comment
- Single band corresponding to the predicted size in kDa (+/-20%).
- Primary Ab dilution
- 1:500
- Secondary Ab dilution
- 1:3000
- Lane 1
- Marker [kDa]: 229, 107, 78, 46, 31, 26, 16.2
- Lane 2
- RT-4
- Lane 3
- U-251MG sp
- Lane 4
- Human Plasma
- Lane 5
- Liver
- Lane 6
- Tonsil
- Theoretical target weight
- [kDa] 108
Supportive validation
- Submitted by
- per
- Main image

- Experimental details
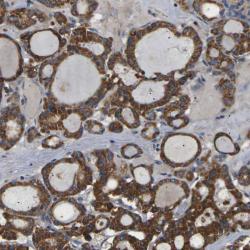
- Immunohistochemical staining of human thyroid gland shows strong cytoplasmic positivity in glandular cells.
- Validation comment
- Staining pattern partly consistent with experimental and/or bioinformatic data.