Antibody data
- Antibody Data
- Antigen structure
- References [0]
- Comments [0]
- Validations
- Immunohistochemistry [1]
Submit
Validation data
Reference
Comment
Report error
- Product number
- EB08631 - Provider product page

- Provider
- Everest Biotech
- Product name
- Goat anti-Ankyrin G Antibody
- Antibody type
- Polyclonal
- Description
- Goat anti-Ankyrin G Antibody
- Reactivity
- Human
- Host
- Goat
- Antigen sequence
C-SWQNETSSGNLE- Epitope
- internal region
- Isotype
- IgG
- Vial size
- 100µg specific antibody in 200µl
- Concentration
- 0.5 mg/ml
- Storage
- Aliquot and store at -20°C. Minimize freezing and thawing.
No comments: Submit comment
Supportive validation
- Submitted by
- Everest Biotech (provider)
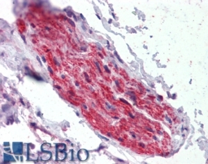
- Main image

- Experimental details
- EB08631 (3.8µg/ml) staining of paraffin embedded Human Nerve Bundle. Steamed antigen retrieval with citrate buffer pH 6, AP-staining.