sc-33144
antibody from Santa Cruz Biotechnology
		Targeting: LTBP4
		
		FLJ46318, FLJ90018, LTBP-4, LTBP-4L	
	
	
	
	
Antibody data
- Antibody Data
- Antigen structure
- References [0]
- Comments [0]
- Validations
- Western blot [1]
- Immunohistochemistry [1]
Submit
Validation data
Reference
Comment
Report error
- Product number
- sc-33144 - Provider product page 
- Provider
- Santa Cruz Biotechnology
- Proper citation
- Santa Cruz Biotechnology Cat#sc-33144, RRID:AB_2139064
- Product name
- Anti-LTBP4
- Antibody type
- Polyclonal
- Antigen
- Recombinant full-length protein
- Reactivity
- Human
- Host
- Rabbit
				No comments: Submit comment	
	
			
							
					Supportive validation
					
									
				
				- Submitted by
- per
- Main image
 
- Experimental details
- Western blot analysis of antibody specificity using a routine panel composed of IgG/HSA-depleted human plasma and protein lysates from selected human tissues and cell lines.
- Validation comment
- Band of predicted size in kDa (+/-20%) with additional bands present.
- Primary Ab dilution
- 1:500
- Secondary Ab dilution
- 1:3000
- Lane 1
- Marker [kDa]: 229, 107, 78, 46, 31, 26, 16.2
- Lane 2
- RT-4
- Lane 3
- U-251MG sp
- Lane 4
- Human Plasma
- Lane 5
- Liver
- Lane 6
- Tonsil
- Theoretical target weight
- [kDa] 17
							
					Supportive validation
					
									
				
		- Submitted by
- per
- Main image
 
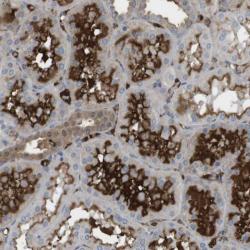
- Experimental details
- Immunohistochemical staining of human kidney shows strong membranous positivity in cells in tubules.
- Validation comment
- Staining pattern partly consistent with experimental and/or bioinformatic data.