Antibody data
- Antibody Data
- Antigen structure
- References [0]
- Comments [0]
- Validations
- Western blot [2]
- Immunocytochemistry [3]
- Immunohistochemistry [2]
Submit
Validation data
Reference
Comment
Report error
- Product number
- LS-C143437 - Provider product page

- Provider
- LSBio
- Product name
- LDHA / LDH1 Antibody (aa280-332, Biotin) LS-C143437
- Antibody type
- Polyclonal
- Description
- Affinity purified
- Reactivity
- Human, Mouse
- Host
- Rabbit
- Conjugate
- Biotin
- Storage
- Store at -20°C. Avoid freeze-thaw cycles.
No comments: Submit comment
Enhanced validation
- Submitted by
- LSBio (provider)
- Enhanced method
- Genetic validation
- Main image

- Experimental details
- Lactate Dehydrogenase A Antibody - Western blot of LDHA in NIH/3T3 whole cell lysates. This image was taken for the unconjugated form of this product. Other forms have not been tested.
- Submitted by
- LSBio (provider)
- Enhanced method
- Genetic validation
- Main image

- Experimental details
- Lactate Dehydrogenase A Antibody - Western blot of LDHA in HeLa whole cell lysates. This image was taken for the unconjugated form of this product. Other forms have not been tested.
Supportive validation
- Submitted by
- LSBio (provider)
- Enhanced method
- Genetic validation
- Main image

- Experimental details
- Lactate Dehydrogenase A Antibody - Immunocytochemical analysis of LDHA in HeLa cells. This image was taken for the unconjugated form of this product. Other forms have not been tested.
- Submitted by
- LSBio (provider)
- Main image

- Experimental details
- Lactate Dehydrogenase A Antibody - Immunocytochemical analysis of LDHA in HeLa cells. This image was taken for the unconjugated form of this product. Other forms have not been tested.
- Submitted by
- LSBio (provider)
- Main image

- Experimental details
- Lactate Dehydrogenase A Antibody - Immunocytochemical analysis of LDHA in HeLa cells. This image was taken for the unconjugated form of this product. Other forms have not been tested.
Supportive validation
- Submitted by
- LSBio (provider)
- Enhanced method
- Genetic validation
- Main image

- Experimental details
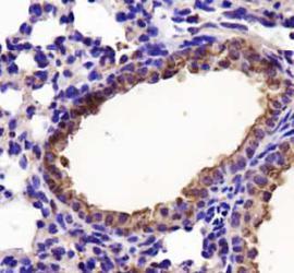
- Lactate Dehydrogenase A Antibody - IHC of LDHA in lung tissue. This image was taken for the unconjugated form of this product. Other forms have not been tested.
- Submitted by
- LSBio (provider)
- Enhanced method
- Genetic validation
- Main image

- Experimental details
- Lactate Dehydrogenase A Antibody - IHC of LDHA in lung tissue. This image was taken for the unconjugated form of this product. Other forms have not been tested.