Antibody data
- Antibody Data
 - Antigen structure
 - References [0]
 - Comments [0]
 - Validations
 - Western blot [1]
 - Immunohistochemistry [22]
 
Submit
Validation data
Reference
Comment
Report error
- Product number
 - LS-C115025 - Provider product page

 - Provider
 - LSBio
 - Product name
 - SRR / Serine Racemase Antibody (clone OTI7E8) LS-C115025
 - Antibody type
 - Monoclonal
 - Description
 - Affinity purified
 - Reactivity
 - Human
 - Host
 - Mouse
 - Isotype
 - IgG
 - Antibody clone number
 - OTI7E8
 - Storage
 - Store at -20°C. Avoid freeze-thaw cycles.
 
				No comments: Submit comment	
	
			
							
					Enhanced validation
					
									
				
				- Submitted by
 - LSBio (provider)
 - Enhanced method
 - Genetic validation
 - Main image
 
- Experimental details
 - HEK293T cells were transfected with the pCMV6-ENTRY control (Left lane) or pCMV6-ENTRY SRR (Right lane) cDNA for 48 hrs and lysed. Equivalent amounts of cell lysates (5 ug per lane) were separated by SDS-PAGE and immunoblotted with anti-SRR.
 
							
					Enhanced validation
					
									
				
		- Submitted by
 - LSBio (provider)
 - Enhanced method
 - Genetic validation
 - Main image
 
- Experimental details
 - Immunohistochemical staining of paraffin-embedded Adenocarcinoma of colon tissue using anti-SRR mouse monoclonal antibody. (Dilution 1:50).
 
- Submitted by
 - LSBio (provider)
 - Enhanced method
 - Genetic validation
 - Main image
 
- Experimental details
 - Immunohistochemical staining of paraffin-embedded Kidney tissue using anti-SRR mouse monoclonal antibody. (Dilution 1:50).
 
- Submitted by
 - LSBio (provider)
 - Enhanced method
 - Genetic validation
 - Main image
 
- Experimental details
 - Immunohistochemical staining of paraffin-embedded Carcinoma of pancreas tissue using anti-SRR mouse monoclonal antibody. (Dilution 1:50).
 
- Submitted by
 - LSBio (provider)
 - Enhanced method
 - Genetic validation
 - Main image
 
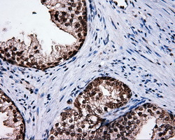
- Experimental details
 - Immunohistochemical staining of paraffin-embedded prostate tissue using anti-SRR mouse monoclonal antibody. (Dilution 1:50).
 
- Submitted by
 - LSBio (provider)
 - Enhanced method
 - Genetic validation
 - Main image
 
- Experimental details
 - Immunohistochemical staining of paraffin-embedded Carcinoma of prostate tissue using anti-SRR mouse monoclonal antibody. (Dilution 1:50).
 
- Submitted by
 - LSBio (provider)
 - Enhanced method
 - Genetic validation
 - Main image
 
- Experimental details
 - Immunohistochemical staining of paraffin-embedded Adenocarcinoma of breast tissue using anti-SRR mouse monoclonal antibody. (Dilution 1:50).
 
- Submitted by
 - LSBio (provider)
 - Enhanced method
 - Genetic validation
 - Main image
 
- Experimental details
 - Immunohistochemical staining of paraffin-embedded Adenocarcinoma of colon tissue using anti-SRR mouse monoclonal antibody. (Dilution 1:50).
 
- Submitted by
 - LSBio (provider)
 - Enhanced method
 - Genetic validation
 - Main image
 
- Experimental details
 - Immunohistochemical staining of paraffin-embedded Kidney tissue using anti-SRR mouse monoclonal antibody. (Dilution 1:50).
 
- Submitted by
 - LSBio (provider)
 - Enhanced method
 - Genetic validation
 - Main image
 
- Experimental details
 - Immunohistochemical staining of paraffin-embedded Carcinoma of liver tissue using anti-SRR mouse monoclonal antibody. (Dilution 1:50).
 
- Submitted by
 - LSBio (provider)
 - Enhanced method
 - Genetic validation
 - Main image
 
- Experimental details
 - Immunohistochemical staining of paraffin-embedded Adenocarcinoma of ovary tissue using anti-SRR mouse monoclonal antibody. (Dilution 1:50).
 
- Submitted by
 - LSBio (provider)
 - Enhanced method
 - Genetic validation
 - Main image
 
- Experimental details
 - Immunohistochemical staining of paraffin-embedded pancreas tissue using anti-SRR mouse monoclonal antibody. (Dilution 1:50).
 
- Submitted by
 - LSBio (provider)
 - Enhanced method
 - Genetic validation
 - Main image
 
- Experimental details
 - Immunohistochemical staining of paraffin-embedded Carcinoma of pancreas tissue using anti-SRR mouse monoclonal antibody. (Dilution 1:50).
 
- Submitted by
 - LSBio (provider)
 - Enhanced method
 - Genetic validation
 - Main image
 
- Experimental details
 - Immunohistochemical staining of paraffin-embedded prostate tissue using anti-SRR mouse monoclonal antibody. (Dilution 1:50).
 
- Submitted by
 - LSBio (provider)
 - Main image
 
- Experimental details
 - Immunohistochemical staining of paraffin-embedded Adenocarcinoma of breast tissue using anti-SRR mouse monoclonal antibody. (Dilution 1:50).
 
- Submitted by
 - LSBio (provider)
 - Main image
 
- Experimental details
 - Immunohistochemical staining of paraffin-embedded Adenocarcinoma of colon tissue using anti-SRR mouse monoclonal antibody. (Dilution 1:50).
 
- Submitted by
 - LSBio (provider)
 - Main image
 
- Experimental details
 - Immunohistochemical staining of paraffin-embedded Kidney tissue using anti-SRR mouse monoclonal antibody. (Dilution 1:50).
 
- Submitted by
 - LSBio (provider)
 - Main image
 
- Experimental details
 - Immunohistochemical staining of paraffin-embedded Carcinoma of liver tissue using anti-SRR mouse monoclonal antibody. (Dilution 1:50).
 
- Submitted by
 - LSBio (provider)
 - Main image
 
- Experimental details
 - Immunohistochemical staining of paraffin-embedded Adenocarcinoma of ovary tissue using anti-SRR mouse monoclonal antibody. (Dilution 1:50).
 
- Submitted by
 - LSBio (provider)
 - Main image
 
- Experimental details
 - Immunohistochemical staining of paraffin-embedded pancreas tissue using anti-SRR mouse monoclonal antibody. (Dilution 1:50).
 
- Submitted by
 - LSBio (provider)
 - Main image
 
- Experimental details
 - Immunohistochemical staining of paraffin-embedded Carcinoma of pancreas tissue using anti-SRR mouse monoclonal antibody. (Dilution 1:50).
 
- Submitted by
 - LSBio (provider)
 - Main image
 
- Experimental details
 - Immunohistochemical staining of paraffin-embedded prostate tissue using anti-SRR mouse monoclonal antibody. (Dilution 1:50).
 
- Submitted by
 - LSBio (provider)
 - Main image
 
- Experimental details
 - Immunohistochemical staining of paraffin-embedded Carcinoma of prostate tissue using anti-SRR mouse monoclonal antibody. (Dilution 1:50).