Antibody data
- Antibody Data
 - Antigen structure
 - References [0]
 - Comments [0]
 - Validations
 - Western blot [1]
 - Immunocytochemistry [1]
 - Immunohistochemistry [9]
 - Flow cytometry [1]
 
Submit
Validation data
Reference
Comment
Report error
- Product number
 - CF500940 - Provider product page

 - Provider
 - Invitrogen Antibodies
 - Product name
 - SRR Monoclonal Antibody (OTI2E3), TrueMAB™
 - Antibody type
 - Monoclonal
 - Antigen
 - Recombinant full-length protein
 - Reactivity
 - Human
 - Host
 - Mouse
 - Isotype
 - IgG
 - Antibody clone number
 - OTI2E3
 - Vial size
 - 100 µg
 - Concentration
 - 1 mg/mL
 - Storage
 - -20° C, Avoid Freeze/Thaw Cycles
 
				No comments: Submit comment	
	
			
							
					Supportive validation
					
									
				
				- Submitted by
 - Invitrogen Antibodies (provider)
 - Main image
 
- Experimental details
 - HEK293T cells were transfected with the pCMV6-ENTRY control (Left lane) or pCMV6-ENTRY SRR (RC210359, Right lane) cDNA for 48 hrs and lysed. Equivalent amounts of cell lysates (5 µg per lane) were separated by SDS-PAGE and immunoblotted with anti-SRR. Positive lysates LY402897 (100 µg) and LC402897 (20 µg) can be purchased separately from OriGene.
 
							
					Supportive validation
					
									
				
				- Submitted by
 - Invitrogen Antibodies (provider)
 - Main image
 
- Experimental details
 - Anti-SRR mouse monoclonal antibody (TA500940) Immunofluorescent staining of COS7 cells transiently transfected by pCMV6-ENTRY SRR(RC210359).
 
							
					Supportive validation
					
									
				
				- Submitted by
 - Invitrogen Antibodies (provider)
 - Main image
 
- Experimental details
 - Immunohistochemical staining of paraffin-embedded Ovary tissue within the normal limits using anti-SRR mouse monoclonal antibody. (Heat-induced epitope retrieval by 10mM citric buffer, pH6.0, 100°C for 10min, TA500940, Dilution 1:50)
 
- Submitted by
 - Invitrogen Antibodies (provider)
 - Main image
 
- Experimental details
 - Immunohistochemical staining of paraffin-embedded pancreas tissue within the normal limits using anti-SRR mouse monoclonal antibody. (Heat-induced epitope retrieval by 10mM citric buffer, pH6.0, 100°C for 10min, TA500940, Dilution 1:50)
 
- Submitted by
 - Invitrogen Antibodies (provider)
 - Main image
 
- Experimental details
 - Immunohistochemical staining of paraffin-embedded Carcinoma of pancreas tissue using anti-SRR mouse monoclonal antibody. (Heat-induced epitope retrieval by 10mM citric buffer, pH6.0, 100°C for 10min, TA500940, Dilution 1:50)
 
- Submitted by
 - Invitrogen Antibodies (provider)
 - Main image
 
- Experimental details
 - Immunohistochemical staining of paraffin-embedded Carcinoma of thyroid tissue using anti-SRR mouse monoclonal antibody. (Heat-induced epitope retrieval by 10mM citric buffer, pH6.0, 100°C for 10min, TA500940, Dilution 1:50)
 
- Submitted by
 - Invitrogen Antibodies (provider)
 - Main image
 
- Experimental details
 - Immunohistochemical staining of paraffin-embedded Adenocarcinoma of endometrium tissue using anti-SRR mouse monoclonal antibody. (Heat-induced epitope retrieval by 10mM citric buffer, pH6.0, 100°C for 10min, TA500940, Dilution 1:50)
 
- Submitted by
 - Invitrogen Antibodies (provider)
 - Main image
 
- Experimental details
 - Immunohistochemical staining of paraffin-embedded Adenocarcinoma of breast tissue using anti-SRR mouse monoclonal antibody. (Heat-induced epitope retrieval by 10mM citric buffer, pH6.0, 100°C for 10min, TA500940, Dilution 1:50)
 
- Submitted by
 - Invitrogen Antibodies (provider)
 - Main image
 
- Experimental details
 - Immunohistochemical staining of paraffin-embedded Carcinoma of prostate tissue using anti-SRR mouse monoclonal antibody. (Heat-induced epitope retrieval by 10mM citric buffer, pH6.0, 100°C for 10min, TA500940, Dilution 1:50)
 
- Submitted by
 - Invitrogen Antibodies (provider)
 - Main image
 
- Experimental details
 - Immunohistochemical staining of paraffin-embedded Adenocarcinoma of colon tissue using anti-SRR mouse monoclonal antibody. (Heat-induced epitope retrieval by 10mM citric buffer, pH6.0, 100°C for 10min, TA500940, Dilution 1:50)
 
- Submitted by
 - Invitrogen Antibodies (provider)
 - Main image
 
- Experimental details
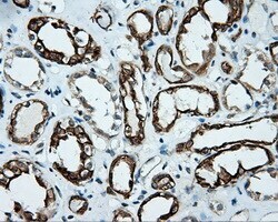
 - Immunohistochemical staining of paraffin-embedded Kidney tissue within the normal limits using anti-SRR mouse monoclonal antibody. (Heat-induced epitope retrieval by 10mM citric buffer, pH6.0, 100°C for 10min, TA500940, Dilution 1:50)
 
							
					Supportive validation
					
									
				
		- Submitted by
 - Invitrogen Antibodies (provider)
 - Main image
 
- Experimental details
 - HEK293T cells transfected with either pCMV6-ENTRY SRR(RC210359)(Red) or empty vector control plasmid (Blue) were immunostained with anti-SRR mouse monoclonal(TA500940), and then analyzed by flow cytometry.