Antibody data
- Antibody Data
 - Antigen structure
 - References [0]
 - Comments [0]
 - Validations
 - Western blot [1]
 - Immunohistochemistry [9]
 - Flow cytometry [1]
 
Submit
Validation data
Reference
Comment
Report error
- Product number
 - NBP2-02332 - Provider product page

 - Provider
 - Novus Biologicals
 - Product name
 - Mouse Monoclonal Serine racemase Antibody
 - Antibody type
 - Monoclonal
 - Description
 - Affinity purified.
 - Reactivity
 - Human
 - Host
 - Mouse
 - Isotype
 - IgG
 - Vial size
 - 0.1 ml
 - Concentration
 - 0.59 mg/ml
 - Storage
 - Store at -20C. Avoid freeze-thaw cycles.
 
				No comments: Submit comment	
	
			
							
					Supportive validation
					
									
				
				- Submitted by
 - Novus Biologicals (provider)
 - Main image
 
- Experimental details
 - Western Blot: Serine racemase Antibody (2E3) [NBP2-02332] - HEK293T cells were transfected with the pCMV6- ENTRY control (Left lane) or pCMV6-ENTRY SRR (RC210359, Right lane) cDNA for 48 hrs and lysed. Equivalent amounts of cell lysates (5 ug per lane) were separated by SDS-PAGE and immunoblotted with antiSRR.
 
							
					Supportive validation
					
									
				
				- Submitted by
 - Novus Biologicals (provider)
 - Main image
 
- Experimental details
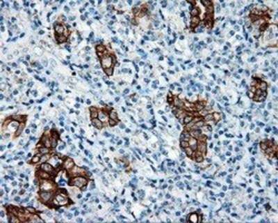
 - Immunohistochemistry-Paraffin: Serine racemase Antibody (2E3) [NBP2-02332] - Staining of paraffin-embedded Adenocarcinoma of colon tissue using anti-Serine racemase mouse monoclonal antibody.
 
- Submitted by
 - Novus Biologicals (provider)
 - Main image
 
- Experimental details
 - Immunohistochemistry-Paraffin: Serine racemase Antibody (2E3) [NBP2-02332] - Staining of paraffin-embedded Carcinoma of pancreas tissue using anti-Serine racemase mouse monoclonal antibody.
 
- Submitted by
 - Novus Biologicals (provider)
 - Main image
 
- Experimental details
 - Immunohistochemistry-Paraffin: Serine racemase Antibody (2E3) [NBP2-02332] - Staining of paraffin-embedded Carcinoma of prostate tissue using anti-Serine racemase mouse monoclonal antibody.
 
- Submitted by
 - Novus Biologicals (provider)
 - Main image
 
- Experimental details
 - Immunohistochemistry-Paraffin: Serine racemase Antibody (2E3) [NBP2-02332] - Staining of paraffin-embedded Carcinoma of thyroid tissue using anti-Serine racemase mouse monoclonal antibody.
 
- Submitted by
 - Novus Biologicals (provider)
 - Main image
 
- Experimental details
 - Immunohistochemistry-Paraffin: Serine racemase Antibody (2E3) [NBP2-02332] - Staining of paraffin-embedded colon tissue using anti-Serine racemase mouse monoclonal antibody.
 
- Submitted by
 - Novus Biologicals (provider)
 - Main image
 
- Experimental details
 - Immunohistochemistry-Paraffin: Serine racemase Antibody (2E3) [NBP2-02332] - Staining of paraffin-embedded Kidney tissue using anti-Serine racemase mouse monoclonal antibody.
 
- Submitted by
 - Novus Biologicals (provider)
 - Main image
 
- Experimental details
 - Immunohistochemistry-Paraffin: Serine racemase Antibody (2E3) [NBP2-02332] - Staining of paraffin-embedded Ovary tissue using anti-Serine racemase mouse monoclonal antibody.
 
- Submitted by
 - Novus Biologicals (provider)
 - Main image
 
- Experimental details
 - Immunohistochemistry-Paraffin: Serine racemase Antibody (2E3) [NBP2-02332] - Staining of paraffin-embedded pancreas tissue using anti-Serine racemase mouse monoclonal antibody.
 
- Submitted by
 - Novus Biologicals (provider)
 - Main image
 
- Experimental details
 - Immunohistochemistry-Paraffin: Serine racemase Antibody (2E3) [NBP2-02332] - Staining of paraffin-embedded prostate tissue using anti-Serine racemase mouse monoclonal antibody.
 
							
					Supportive validation
					
									
				
		- Submitted by
 - Novus Biologicals (provider)
 - Main image
 
- Experimental details
 - Flow Cytometry: Serine racemase Antibody (2E3) [NBP2-02332] - HEK293T cells transfected with either pCMV6-ENTRY SRR(RC210359)(Red) or empty vector control plasmid (Blue) were immunostained with anti-SRR mouse monoclona, and then analyzed by flow cytometry