Antibody data
- Antibody Data
- Antigen structure
- References [0]
- Comments [0]
- Validations
- Western blot [2]
- Immunocytochemistry [1]
- Immunohistochemistry [1]
Submit
Validation data
Reference
Comment
Report error
- Product number
- AM31738PU-N - Provider product page

- Provider
- Acris Antibodies GmbH
- Proper citation
- Acris Antibodies GmbH Cat#AM31738PU-N, RRID:AB_10980588
- Product name
- anti RCC1 / CHC1
- Antibody type
- Monoclonal
- Antigen
- RCC1 antibody was raised against RCC1 (AAH07300, 312 a.a. ~ 421 a.a) partial recombinant protein with GST tag.
- Reactivity
- Human
- Host
- Mouse
- Isotype
- IgG
- Antibody clone number
- 2F1
- Vial size
- 50 µg
No comments: Submit comment
Supportive validation
- Submitted by
- Acris Antibodies GmbH (provider)
- Main image

- Experimental details
- Western Blot analysis of RCC1 expression in A-431 cell lysate.
- Submitted by
- Acris Antibodies GmbH (provider)
- Main image

- Experimental details
- Western Blot analysis of RCC1 expression in transfected 293T cell line. Lane 1: RCC1 transfected lysate (45 KDa). Lane 2: Non-transfected lysate.
Supportive validation
- Submitted by
- Acris Antibodies GmbH (provider)
- Main image

- Experimental details
- Immunofluorescence of monoclonal antibody to RCC1 on HeLa cell at 10 mg/ml.
Supportive validation
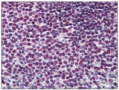
- Submitted by
- Acris Antibodies GmbH (provider)
- Main image

- Experimental details
- Human Spleen: Formalin-Fixed, Paraffin-Embedded (FFPE)