Antibody data
- Antibody Data
- Antigen structure
- References [118]
- Comments [0]
- Validations
- Western blot [1]
- Immunocytochemistry [1]
- Immunohistochemistry [2]
Submit
Validation data
Reference
Comment
Report error
- Product number
- 11308-1-AP - Provider product page

- Provider
- Proteintech Group
- Proper citation
- Proteintech Cat#11308-1-AP, RRID:AB_2115327
- Product name
- GOLGA2/GM130 antibody
- Antibody type
- Polyclonal
- Description
- GOLGA2/GM130 antibody (Cat. #11308-1-AP) is a rabbit polyclonal antibody that shows reactivity with human, Canine and has been validated for the following applications: FC, IF, IHC, WB, ELISA.
- Reactivity
- Human, Canine
- Host
- Rabbit
- Conjugate
- Unconjugated
- Isotype
- IgG
- Vial size
- 20ul, 150ul
Submitted references Detection of Extracellular Vesicle-Derived RNA as Potential Prostate Cancer Biomarkers: Role of Cancer-type SLCO1B3 and ABCC3.
SOD1-high fibroblasts derived exosomal miR-3960 promotes cisplatin resistance in triple-negative breast cancer by suppressing BRSK2-mediated phosphorylation of PIMREG.
Mapping the global interactome of the ARF family reveals spatial organization in cellular signaling pathways.
Cell death induced by nicotine in human neuroblastoma SH-SY5Y cells is mainly attributed to cytoplasmic vacuolation originating from the trans-Golgi network.
Unraveling cellular complexity with transient adapters in highly multiplexed super-resolution imaging.
Mapping the global interactome of the ARF family reveals spatial organization in cellular signaling pathways.
Isolation and characterization of small extracellular vesicles from murine primary mammary tumor.
N-glycosylation of SCAP exacerbates hepatocellular inflammation and lipid accumulation via ACSS2-mediated histone H3K27 acetylation.
Fibroblasts and Endothelial Cells in Three-Dimensional Models: A New Tool for Addressing the Pathogenesis of Systemic Sclerosis as a Prototype of Fibrotic Vasculopathies.
Supramolecular Hydrogel with Ultra-Rapid Cell-Mediated Network Adaptation for Enhancing Cellular Metabolic Energetics and Tissue Regeneration.
Exosome-based WTAP siRNA delivery ameliorates myocardial ischemia-reperfusion injury.
The role of Map1b in regulating osteoblast polarity, proliferation, differentiation and migration.
Anti-EGFR ScFv functionalized exosomes delivering LPCAT1 specific siRNAs for inhibition of lung cancer brain metastases.
Targeted elimination of senescent cells by engineered extracellular vesicles attenuates atherosclerosis in ApoE(-/-) mice with minimal side effects.
Microtubule-associated septin complexes modulate kinesin and dynein motility with differential specificities.
Collagen 1-mediated CXCL1 secretion in tumor cells activates fibroblasts to promote radioresistance of esophageal cancer.
Proteome census upon nutrient stress reveals Golgiphagy membrane receptors.
Manganese regulation of COPII condensation controls circulating lipid homeostasis.
Inhibition of exosome biogenesis affects cell motility in heterogeneous sub-populations of paediatric-type diffuse high-grade gliomas.
Tumor tissue derived extracellular vesicles promote diabetic wound healing.
Lipid phosphatase SAC1 suppresses hepatitis B virus replication through promoting autophagic degradation of virions.
Intracellular Vimentin Regulates the Formation of Classical Swine Fever Virus Replication Complex through Interaction with NS5A Protein.
ERK and USP5 govern PD-1 homeostasis via deubiquitination to modulate tumor immunotherapy.
hASCs-derived exosomal miR-155-5p targeting TGFβR2 promotes autophagy and reduces pyroptosis to alleviate intervertebral disc degeneration.
SLC35A2 deficiency reduces protein levels of core 1 β-1,3-galactosyltransferase 1 (C1GalT1) and its chaperone Cosmc and affects their subcellular localization.
Gβγ signaling regulates microtubule-dependent control of Golgi integrity.
Exosomes derived from oral squamous cell carcinoma tissue accelerate diabetic wound healing.
New Loss-of-Function Mutations in PCSK9 Reduce Plasma LDL Cholesterol.
BMSC-derived extracellular vesicles promoted osteogenesis via Axin2 inhibition by delivering MiR-16-5p.
Intranasally Administered MSC-Derived Extracellular Vesicles Reverse Cisplatin-Induced Cognitive Impairment.
Single-cell transcriptome sequencing-based analysis: probing the mechanisms of glycoprotein NMB regulation of epithelial cells involved in silicosis.
A Possible Role of VPS13B in the Formation of Golgi-Lipid Droplet Contacts Associating with the ER.
SARS-CoV-2 accessory proteins ORF7a and ORF3a use distinct mechanisms to down-regulate MHC-I surface expression.
Golgi damage caused by dysfunction of PiT-2 in primary familial brain calcification.
Exosomal RBP4 potentiated hepatic lipid accumulation and inflammation in high-fat-diet-fed mice by promoting M1 polarization of Kupffer cells.
White adipose tissue-derived small extracellular vesicles: A new potential therapeutic reagent for accelerating diabetic wound healing.
Exosome-transmitted hsa_circ_0012634 suppresses pancreatic ductal adenocarcinoma progression through regulating miR-147b/HIPK2 axis.
The glycoprotein 5 of porcine reproductive and respiratory syndrome virus stimulates mitochondrial ROS to facilitate viral replication.
VPS13B is localized at the cis-trans Golgi complex interface and is a functional partner of FAM177A1.
Modular Hydrogel Vaccine for Programmable and Coordinate Elicitation of Cancer Immunotherapy.
The nucleotide receptor STING translocates to the phagosomes to negatively regulate anti-fungal immunity.
Chemokine receptor CXCR7 activates Aurora Kinase A and promotes neuroendocrine prostate cancer growth.
Lanthanum Chloride Induces Axon Abnormality Through LKB1-MARK2 and LKB1-STK25-GM130 Signaling Pathways.
FOXP3+ macrophage represses acute ischemic stroke-induced neural inflammation.
Hydrogel armed with Bmp2 mRNA-enriched exosomes enhances bone regeneration.
N-Glycosylation on Asn50 of SND1 Is Required for Glioma U87 Cell Proliferation and Metastasis.
Macrophages with Different Polarization Phenotypes Influence Cementoblast Mineralization through Exosomes.
GALNT1 Enhances Malignant Phenotype of Gastric Cancer via Modulating CD44 Glycosylation to Activate the Wnt/β-catenin Signaling Pathway.
Characterization and subcellular localization of Alongshan virus proteins.
TM9SF4 is an F-actin disassembly factor that promotes tumor progression and metastasis.
Aberrant Cholesterol Metabolism and Wnt/β-Catenin Signaling Coalesce via Frizzled5 in Supporting Cancer Growth.
Neural stem cell‑derived exosomes transfer miR‑124‑3p into cells to inhibit glioma growth by targeting FLOT2.
TissUExM enables quantitative ultrastructural analysis in whole vertebrate embryos by expansion microscopy.
Exosomes from Adipose Stem Cells Promote Diabetic Wound Healing through the eHSP90/LRP1/AKT Axis.
Selenoprotein K contributes to CD36 subcellular trafficking in hepatocytes by accelerating nascent COPII vesicle formation and aggravates hepatic steatosis.
"All-in-One" Exosome Engineering Strategy for Effective Therapy of Familial Hypercholesterolemia.
SARS-CoV-2 Causes Lung Inflammation through Metabolic Reprogramming and RAGE.
SARS-CoV-2 accessory proteins ORF7a and ORF3a use distinct mechanisms to downregulate MHC-I surface expression.
Comparison of the Variability of Small Extracellular Vesicles Derived from Human Liver Cancer Tissues and Cultured from the Tissue Explants Based on a Simple Enrichment Method.
MOSPD2 is an endoplasmic reticulum-lipid droplet tether functioning in LD homeostasis.
Bunyavirus SFTSV exploits autophagic flux for viral assembly and egress.
Exercise promotes angiogenesis by enhancing endothelial cell fatty acid utilization via liver-derived extracellular vesicle miR-122-5p.
ER proteins decipher the tubulin code to regulate organelle distribution.
Visualizing the native cellular organization by coupling cryofixation with expansion microscopy (Cryo-ExM).
African Swine Fever Virus K205R Induces ER Stress and Consequently Activates Autophagy and the NF-κB Signaling Pathway.
Sonodynamical reversion of immunosuppressive microenvironment in prostate cancer via engineered exosomes.
Exosomes from Microvascular Endothelial Cells under Mechanical Unloading Inhibit Osteogenic Differentiation via miR-92b-3p/ELK4 Axis.
Exercise-derived peptide protects against pathological cardiac remodeling.
A cryostat-based frozen section method to increase the yield of extracellular vesicles extracted from different tissues.
c-Abl kinase-mediated phosphorylation of γ-tubulin promotes γ-tubulin ring complexes assembly and microtubule nucleation.
LMAN1-MCFD2 complex is a cargo receptor for the ER-Golgi transport of α1-antitrypsin.
Exosome-mediated delivery of inflammation-responsive Il-10 mRNA for controlled atherosclerosis treatment.
Gβγ regulates mitotic Golgi fragmentation and G2/M cell cycle progression.
Extracellular vesicles-based pre-targeting strategy enables multi-modal imaging of orthotopic colon cancer and image-guided surgery.
EVs Containing Host Restriction Factor IFITM3 Inhibited ZIKV Infection of Fetuses in Pregnant Mice through Trans-placenta Delivery.
Angiogenesis is promoted by exosomal DPP4 derived from 5-fluorouracil-resistant colon cancer cells.
Receptor-Mediated ER Export of Lipoproteins Controls Lipid Homeostasis in Mice and Humans.
Identification of TRAMs as sphingolipid-binding proteins using a photoactivatable and clickable short-chain ceramide analog.
Human umbilical vein endothelial cells derived-exosomes promote osteosarcoma cell stemness by activating Notch signaling pathway.
Smart exosomes with lymph node homing and immune-amplifying capacities for enhanced immunotherapy of metastatic breast cancer.
TMEM41B acts as an ER scramblase required for lipoprotein biogenesis and lipid homeostasis.
Cell-specific expression of functional glucose transporter 8 in mammary gland.
An mTORC1-GRASP55 signaling axis controls unconventional secretion to reshape the extracellular proteome upon stress.
Exosomes derived from 5-fluorouracil-resistant colon cancer cells are enriched in GDF15 and can promote angiogenesis.
Liquid Biopsy of Extracellular Vesicle-Derived miR-193a-5p in Colorectal Cancer and Discovery of Its Tumor-Suppressor Functions.
Fusion protein engineered exosomes for targeted degradation of specific RNAs in lysosomes: a proof-of-concept study.
Loss of GM130 does not impair oocyte meiosis and embryo development in mice.
BMSCs-Derived Exosomes Ameliorate Pain Via Abrogation of Aberrant Nerve Invasion in Subchondral Bone in Lumbar Facet Joint Osteoarthritis.
MACF1 promotes preosteoblast migration by mediating focal adhesion turnover through EB1.
Mast cells-derived MiR-223 destroys intestinal barrier function by inhibition of CLDN8 expression in intestinal epithelial cells.
Improved secretion of glycoproteins using an N-glycan-restricted passport sequence tag recognized by cargo receptor.
Identification of interaction domains in the pseudorabies virus ribonucleotide reductase large and small subunits.
CBS homogenization mutation strategy narrows the glycan binding profile of a GlcNAc-specific lectin AANL.
Exosome-mediated Hic-5 regulates proliferation and apoptosis of osteosarcoma via Wnt/β-catenin signal pathway.
Identification and Verification of Two Novel Differentially Expressed Proteins from Non-neoplastic Mucosa and Colorectal Carcinoma Via iTRAQ Combined with Liquid Chromatography-Mass Spectrometry.
Host BAG3 Is Degraded by Pseudorabies Virus pUL56 C-Terminal (181)L-(185)L and Plays a Negative Regulation Role during Viral Lytic Infection.
Extracellular vesicles expressing a single-chain variable fragment of an HIV-1 specific antibody selectively target Env(+) tissues.
Antitumor Potential of Extracellular Vesicles Released by Genetically Modified Murine Colon Carcinoma Cells With Overexpression of Interleukin-12 and shRNA for TGF-β1.
Tumor-derived exosomal miRNA-320d as a biomarker for metastatic colorectal cancer.
Golgi apparatus fragmentation participates in oxidized low-density lipoprotein-induced endothelial cell injury.
Genetically Encoded FapR-NLuc as a Biosensor to Determine Malonyl-CoA in Situ at Subcellular Scales.
Impaired Bone Regenerative Effect of Exosomes Derived from Bone Marrow Mesenchymal Stem Cells in Type 1 Diabetes.
A GFP-tagged version of the pseudorabies virus protein UL56 localizes to the Golgi and trans-Golgi network through a predicted C-terminal leucine-rich helix in transfected cells.
Exosomal miR-1229 derived from colorectal cancer cells promotes angiogenesis by targeting HIPK2.
Exosomes from human adipose-derived stem cells promote sciatic nerve regeneration via optimizing Schwann cell function.
Microglia Express Mu Opioid Receptor: Insights From Transcriptomics and Fluorescent Reporter Mice.
Cholesterol Homeostatic Regulator SCAP-SREBP2 Integrates NLRP3 Inflammasome Activation and Cholesterol Biosynthetic Signaling in Macrophages.
Single-Cell Analysis of the Impact of Host Cell Heterogeneity on Infection with Foot-and-Mouth Disease Virus.
A Golgi Lipid Signaling Pathway Controls Apical Golgi Distribution and Cell Polarity during Neurogenesis.
Sam50 Regulates PINK1-Parkin-Mediated Mitophagy by Controlling PINK1 Stability and Mitochondrial Morphology.
Identification of MOSPD2, a novel scaffold for endoplasmic reticulum membrane contact sites.
Autophagy defects and related genetic variations in renal cell carcinoma with eosinophilic cytoplasmic inclusions.
Protein kinase D at the Golgi controls NLRP3 inflammasome activation.
ESCRT-I Protein Tsg101 Plays a Role in the Post-macropinocytic Trafficking and Infection of Endothelial Cells by Kaposi's Sarcoma-Associated Herpesvirus.
Quantitative proteomic analysis identifies new effectors of FOXM1 involved in breast cancer cell migration.
Characterization and proteomic analysis of ovarian cancer-derived exosomes.
A novel non-canonical mechanism of regulation of MST3 (mammalian Sterile20-related kinase 3).
Therapeutic potential for phenytoin: targeting Na(v)1.5 sodium channels to reduce migration and invasion in metastatic breast cancer.
Lee KY, Beatson EL, Knechel MA, Sommer ER, Napoli GC, Risdon EN, Leon AF, Depaz RD, Strope JD, Price DK, Chau CH, Figg WD
Journal of Cancer 2024;15(3):615-622
Journal of Cancer 2024;15(3):615-622
SOD1-high fibroblasts derived exosomal miR-3960 promotes cisplatin resistance in triple-negative breast cancer by suppressing BRSK2-mediated phosphorylation of PIMREG.
Li K, Lin H, Liu A, Qiu C, Rao Z, Wang Z, Chen S, She X, Zhu S, Li P, Liu L, Wu Q, Wang G, Xu F, Li S
Cancer letters 2024 May 28;590:216842
Cancer letters 2024 May 28;590:216842
Mapping the global interactome of the ARF family reveals spatial organization in cellular signaling pathways.
Quirion L, Robert A, Boulais J, Huang S, Bernal Astrain G, Strakhova R, Jo CH, Kherdjemil Y, Faubert D, Thibault MP, Kmita M, Baskin JM, Gingras AC, Smith MJ, Côté JF
Journal of cell science 2024 May 1;137(9)
Journal of cell science 2024 May 1;137(9)
Cell death induced by nicotine in human neuroblastoma SH-SY5Y cells is mainly attributed to cytoplasmic vacuolation originating from the trans-Golgi network.
Li J, Wang H, Chen H, Li X, Liu Y, Hou H, Hu Q
Food and chemical toxicology : an international journal published for the British Industrial Biological Research Association 2024 Mar;185:114431
Food and chemical toxicology : an international journal published for the British Industrial Biological Research Association 2024 Mar;185:114431
Unraveling cellular complexity with transient adapters in highly multiplexed super-resolution imaging.
Schueder F, Rivera-Molina F, Su M, Marin Z, Kidd P, Rothman JE, Toomre D, Bewersdorf J
Cell 2024 Mar 28;187(7):1769-1784.e18
Cell 2024 Mar 28;187(7):1769-1784.e18
Mapping the global interactome of the ARF family reveals spatial organization in cellular signaling pathways.
Quirion L, Robert A, Boulais J, Huang S, Bernal Astrain G, Strakhova R, Jo CH, Kherdjemil Y, Thibault MP, Faubert D, Kmita M, Baskin JM, Gingras AC, Smith MJ, Cote JF
bioRxiv : the preprint server for biology 2024 Mar 25;
bioRxiv : the preprint server for biology 2024 Mar 25;
Isolation and characterization of small extracellular vesicles from murine primary mammary tumor.
Hu S, Zhang X, Yan W
STAR protocols 2024 Mar 15;5(1):102783
STAR protocols 2024 Mar 15;5(1):102783
N-glycosylation of SCAP exacerbates hepatocellular inflammation and lipid accumulation via ACSS2-mediated histone H3K27 acetylation.
Li X, Tang X, Xiang Y, Zhao Z, Li Y, Ding Q, Zhang L, Xu J, Zhao L, Chen Y
American journal of physiology. Gastrointestinal and liver physiology 2024 Jun 1;326(6):G697-G711
American journal of physiology. Gastrointestinal and liver physiology 2024 Jun 1;326(6):G697-G711
Fibroblasts and Endothelial Cells in Three-Dimensional Models: A New Tool for Addressing the Pathogenesis of Systemic Sclerosis as a Prototype of Fibrotic Vasculopathies.
Bodio C, Milesi A, Lonati PA, Chighizola CB, Mauro A, Pradotto LG, Meroni PL, Borghi MO, Raschi E
International journal of molecular sciences 2024 Feb 28;25(5)
International journal of molecular sciences 2024 Feb 28;25(5)
Supramolecular Hydrogel with Ultra-Rapid Cell-Mediated Network Adaptation for Enhancing Cellular Metabolic Energetics and Tissue Regeneration.
Li Z, Yang B, Yang Z, Xie X, Guo Z, Zhao J, Wang R, Fu H, Zhao P, Zhao X, Chen G, Li G, Wei F, Bian L
Advanced materials (Deerfield Beach, Fla.) 2024 Apr;36(15):e2307176
Advanced materials (Deerfield Beach, Fla.) 2024 Apr;36(15):e2307176
Exosome-based WTAP siRNA delivery ameliorates myocardial ischemia-reperfusion injury.
Yin T, Wang N, Jia F, Wu Y, Gao L, Zhang J, Hou R
European journal of pharmaceutics and biopharmaceutics : official journal of Arbeitsgemeinschaft fur Pharmazeutische Verfahrenstechnik e.V 2024 Apr;197:114218
European journal of pharmaceutics and biopharmaceutics : official journal of Arbeitsgemeinschaft fur Pharmazeutische Verfahrenstechnik e.V 2024 Apr;197:114218
The role of Map1b in regulating osteoblast polarity, proliferation, differentiation and migration.
Peng L, Zhang D, Tu H, Wu D, Xiang S, Yang W, Zhao Y, Yang J
Bone 2024 Apr;181:117038
Bone 2024 Apr;181:117038
Anti-EGFR ScFv functionalized exosomes delivering LPCAT1 specific siRNAs for inhibition of lung cancer brain metastases.
Jiang J, Lu Y, Chu J, Zhang X, Xu C, Liu S, Wan Z, Wang J, Zhang L, Liu K, Liu Z, Yang A, Ren X, Zhang R
Journal of nanobiotechnology 2024 Apr 8;22(1):159
Journal of nanobiotechnology 2024 Apr 8;22(1):159
Targeted elimination of senescent cells by engineered extracellular vesicles attenuates atherosclerosis in ApoE(-/-) mice with minimal side effects.
Zhang L, Wang C, Hu W, Bu T, Sun W, Zhou T, Qiu S, Wei M, Xing H, Li Z, Yang G, Yuan L
Theranostics 2023;13(14):5114-5129
Theranostics 2023;13(14):5114-5129
Microtubule-associated septin complexes modulate kinesin and dynein motility with differential specificities.
Suber Y, Alam MNA, Nakos K, Bhakt P, Spiliotis ET
The Journal of biological chemistry 2023 Sep;299(9):105084
The Journal of biological chemistry 2023 Sep;299(9):105084
Collagen 1-mediated CXCL1 secretion in tumor cells activates fibroblasts to promote radioresistance of esophageal cancer.
Yang X, Chen X, Zhang S, Fan W, Zhong C, Liu T, Cheng G, Zhu L, Liu Q, Xi Y, Tan W, Lin D, Wu C
Cell reports 2023 Oct 31;42(10):113270
Cell reports 2023 Oct 31;42(10):113270
Proteome census upon nutrient stress reveals Golgiphagy membrane receptors.
Hickey KL, Swarup S, Smith IR, Paoli JC, Miguel Whelan E, Paulo JA, Harper JW
Nature 2023 Nov;623(7985):167-174
Nature 2023 Nov;623(7985):167-174
Manganese regulation of COPII condensation controls circulating lipid homeostasis.
Wang X, Huang R, Wang Y, Zhou W, Hu Y, Yao Y, Cheng K, Li X, Xu B, Zhang J, Xu Y, Zeng F, Zhu Y, Chen XW
Nature cell biology 2023 Nov;25(11):1650-1663
Nature cell biology 2023 Nov;25(11):1650-1663
Inhibition of exosome biogenesis affects cell motility in heterogeneous sub-populations of paediatric-type diffuse high-grade gliomas.
Pericoli G, Galardi A, Paolini A, Petrilli LL, Pepe G, Palma A, Colletti M, Ferretti R, Giorda E, Levi Mortera S, Burford A, Carai A, Mastronuzzi A, Mackay A, Putignani L, Jones C, Pascucci L, Peinado H, Helmer-Citterich M, de Billy E, Masotti A, Locatelli F, Di Giannatale A, Vinci M
Cell & bioscience 2023 Nov 13;13(1):207
Cell & bioscience 2023 Nov 13;13(1):207
Tumor tissue derived extracellular vesicles promote diabetic wound healing.
Guo J, Jiang G, Chen J, Zhang M, Xiang K, Wang C, Jiang T, Kang Y, Sun Y, Xu X, Yang X, Chen Z
Journal of diabetes and its complications 2023 May;37(5):108435
Journal of diabetes and its complications 2023 May;37(5):108435
Lipid phosphatase SAC1 suppresses hepatitis B virus replication through promoting autophagic degradation of virions.
Zheng J, Deng Y, Wei Z, Zou H, Wen X, Cai J, Zhang S, Jia B, Lu M, Lu K, Lin Y
Antiviral research 2023 May;213:105601
Antiviral research 2023 May;213:105601
Intracellular Vimentin Regulates the Formation of Classical Swine Fever Virus Replication Complex through Interaction with NS5A Protein.
Cheng Y, Lou JX, Liu YY, Liu CC, Chen J, Yang MC, Ye YB, Go YY, Zhou B
Journal of virology 2023 May 31;97(5):e0177022
Journal of virology 2023 May 31;97(5):e0177022
ERK and USP5 govern PD-1 homeostasis via deubiquitination to modulate tumor immunotherapy.
Xiao X, Shi J, He C, Bu X, Sun Y, Gao M, Xiang B, Xiong W, Dai P, Mao Q, Xing X, Yao Y, Yu H, Xu G, Li S, Ren Y, Chen B, Jiang C, Meng G, Lee YR, Wei W, Freeman GJ, Xie C, Zhang J
Nature communications 2023 May 19;14(1):2859
Nature communications 2023 May 19;14(1):2859
hASCs-derived exosomal miR-155-5p targeting TGFβR2 promotes autophagy and reduces pyroptosis to alleviate intervertebral disc degeneration.
Chen D, Jiang X, Zou H
Journal of orthopaedic translation 2023 Mar;39:163-176
Journal of orthopaedic translation 2023 Mar;39:163-176
SLC35A2 deficiency reduces protein levels of core 1 β-1,3-galactosyltransferase 1 (C1GalT1) and its chaperone Cosmc and affects their subcellular localization.
Wiertelak W, Chabowska K, Szulc B, Zadorozhna Y, Olczak M, Maszczak-Seneczko D
Biochimica et biophysica acta. Molecular cell research 2023 Jun;1870(5):119462
Biochimica et biophysica acta. Molecular cell research 2023 Jun;1870(5):119462
Gβγ signaling regulates microtubule-dependent control of Golgi integrity.
Rajanala K, Wedegaertner PB
Cellular signalling 2023 Jun;106:110630
Cellular signalling 2023 Jun;106:110630
Exosomes derived from oral squamous cell carcinoma tissue accelerate diabetic wound healing.
Zhang M, Guo J, Xiang K, Chen J, Wang C, Jiang T, Kang Y, Xu X, Li J, Yang X, Chen Z
American journal of physiology. Cell physiology 2023 Jun 1;324(6):C1307-C1319
American journal of physiology. Cell physiology 2023 Jun 1;324(6):C1307-C1319
New Loss-of-Function Mutations in PCSK9 Reduce Plasma LDL Cholesterol.
Meng FH, Liu S, Xiao J, Zhou YX, Dong LW, Li YF, Zhang YQ, Li WH, Wang JQ, Wang Y, Song BL, Ma YT, Fu ZY, Luo J
Arteriosclerosis, thrombosis, and vascular biology 2023 Jul;43(7):1219-1233
Arteriosclerosis, thrombosis, and vascular biology 2023 Jul;43(7):1219-1233
BMSC-derived extracellular vesicles promoted osteogenesis via Axin2 inhibition by delivering MiR-16-5p.
Duan J, Li H, Wang C, Yao J, Jin Y, Zhao J, Zhang Y, Liu M, Sun H
International immunopharmacology 2023 Jul;120:110319
International immunopharmacology 2023 Jul;120:110319
Intranasally Administered MSC-Derived Extracellular Vesicles Reverse Cisplatin-Induced Cognitive Impairment.
Milutinovic B, Mahalingam R, Mendt M, Arroyo L, Seua A, Dharmaraj S, Shpall E, Heijnen CJ
International journal of molecular sciences 2023 Jul 24;24(14)
International journal of molecular sciences 2023 Jul 24;24(14)
Single-cell transcriptome sequencing-based analysis: probing the mechanisms of glycoprotein NMB regulation of epithelial cells involved in silicosis.
Yang S, Sun Y, Long M, Zhou X, Yuan M, Yang L, Luo W, Cheng Y, Zhang X, Jiang W, Chao J
Particle and fibre toxicology 2023 Jul 19;20(1):29
Particle and fibre toxicology 2023 Jul 19;20(1):29
A Possible Role of VPS13B in the Formation of Golgi-Lipid Droplet Contacts Associating with the ER.
Du Y, Hu X, Chang W, Deng L, Ji WK, Xiong J
Contact (Thousand Oaks (Ventura County, Calif.)) 2023 Jan-Dec;6:25152564231195718
Contact (Thousand Oaks (Ventura County, Calif.)) 2023 Jan-Dec;6:25152564231195718
SARS-CoV-2 accessory proteins ORF7a and ORF3a use distinct mechanisms to down-regulate MHC-I surface expression.
Arshad N, Laurent-Rolle M, Ahmed WS, Hsu JC, Mitchell SM, Pawlak J, Sengupta D, Biswas KH, Cresswell P
Proceedings of the National Academy of Sciences of the United States of America 2023 Jan 3;120(1):e2208525120
Proceedings of the National Academy of Sciences of the United States of America 2023 Jan 3;120(1):e2208525120
Golgi damage caused by dysfunction of PiT-2 in primary familial brain calcification.
Sun H, Wang Z, Zhang Q, Chen N, Tang M, Yang Z, Xu Y, Kang J, Wang Y
Biochemical and biophysical research communications 2023 Jan 29;642:167-174
Biochemical and biophysical research communications 2023 Jan 29;642:167-174
Exosomal RBP4 potentiated hepatic lipid accumulation and inflammation in high-fat-diet-fed mice by promoting M1 polarization of Kupffer cells.
Yao JM, Ying HZ, Zhang HH, Qiu FS, Wu JQ, Yu CH
Free radical biology & medicine 2023 Feb 1;195:58-73
Free radical biology & medicine 2023 Feb 1;195:58-73
White adipose tissue-derived small extracellular vesicles: A new potential therapeutic reagent for accelerating diabetic wound healing.
Zhang C, Jiang T, Jiang G, Xu X, Yan C, Kang Y, Xiang X, Liu S, Nie P, Zhang M, Chen J, Yuan M, Xu Y, Yang X, Chen Z
FASEB journal : official publication of the Federation of American Societies for Experimental Biology 2023 Dec;37(12):e23314
FASEB journal : official publication of the Federation of American Societies for Experimental Biology 2023 Dec;37(12):e23314
Exosome-transmitted hsa_circ_0012634 suppresses pancreatic ductal adenocarcinoma progression through regulating miR-147b/HIPK2 axis.
Wang L, Wu X, Ruan Y, Zhang X, Zhou X
Cancer biology & therapy 2023 Dec 31;24(1):2218514
Cancer biology & therapy 2023 Dec 31;24(1):2218514
The glycoprotein 5 of porcine reproductive and respiratory syndrome virus stimulates mitochondrial ROS to facilitate viral replication.
Zhang S, Zeng L, Su B-Q, Yang G-Y, Wang J, Ming S-L, Chu B-B
mBio 2023 Dec 19;14(6):e0265123
mBio 2023 Dec 19;14(6):e0265123
VPS13B is localized at the cis-trans Golgi complex interface and is a functional partner of FAM177A1.
Ugur B, Schueder F, Shin J, Hanna MG, Wu Y, Leonzino M, Su M, McAdow AR, Wilson C, Postlethwait J, Solnica-Krezel L, Bewersdorf J, De Camilli P
bioRxiv : the preprint server for biology 2023 Dec 18;
bioRxiv : the preprint server for biology 2023 Dec 18;
Modular Hydrogel Vaccine for Programmable and Coordinate Elicitation of Cancer Immunotherapy.
Ji P, Sun W, Zhang S, Xing Y, Wang C, Wei M, Li Q, Ji G, Yang G
Advanced science (Weinheim, Baden-Wurttemberg, Germany) 2023 Aug;10(22):e2301789
Advanced science (Weinheim, Baden-Wurttemberg, Germany) 2023 Aug;10(22):e2301789
The nucleotide receptor STING translocates to the phagosomes to negatively regulate anti-fungal immunity.
Chen T, Feng Y, Sun W, Zhao G, Wu H, Cheng X, Zhao F, Zhang L, Zheng Y, Zhan P, Zhao W, Liu B, Gao C
Immunity 2023 Aug 8;56(8):1727-1742.e6
Immunity 2023 Aug 8;56(8):1727-1742.e6
Chemokine receptor CXCR7 activates Aurora Kinase A and promotes neuroendocrine prostate cancer growth.
Gritsina G, Fong KW, Lu X, Lin Z, Xie W, Agarwal S, Lin D, Schiltz GE, Beltran H, Corey E, Morrissey C, Wang Y, Zhao JC, Hussain M, Yu J
The Journal of clinical investigation 2023 Aug 1;133(15)
The Journal of clinical investigation 2023 Aug 1;133(15)
Lanthanum Chloride Induces Axon Abnormality Through LKB1-MARK2 and LKB1-STK25-GM130 Signaling Pathways.
Song Z, Mao H, Liu J, Sun W, Wu S, Lu X, Jin C, Yang J
Cellular and molecular neurobiology 2023 Apr;43(3):1181-1196
Cellular and molecular neurobiology 2023 Apr;43(3):1181-1196
FOXP3+ macrophage represses acute ischemic stroke-induced neural inflammation.
Cai W, Hu M, Li C, Wu R, Lu D, Xie C, Zhang W, Li T, Shen S, Huang H, Qiu W, Liu Q, Lu Y, Lu Z
Autophagy 2023 Apr;19(4):1144-1163
Autophagy 2023 Apr;19(4):1144-1163
Hydrogel armed with Bmp2 mRNA-enriched exosomes enhances bone regeneration.
Yang Z, Li X, Gan X, Wei M, Wang C, Yang G, Zhao Y, Zhu Z, Wang Z
Journal of nanobiotechnology 2023 Apr 5;21(1):119
Journal of nanobiotechnology 2023 Apr 5;21(1):119
N-Glycosylation on Asn50 of SND1 Is Required for Glioma U87 Cell Proliferation and Metastasis.
Zhou Y, Li Q, Zheng J, Lin N
Journal of immunology research 2022;2022:5239006
Journal of immunology research 2022;2022:5239006
Macrophages with Different Polarization Phenotypes Influence Cementoblast Mineralization through Exosomes.
Zhao Y, Huang Y, Liu H, Tan K, Wang R, Jia L, Li W
Stem cells international 2022;2022:4185972
Stem cells international 2022;2022:4185972
GALNT1 Enhances Malignant Phenotype of Gastric Cancer via Modulating CD44 Glycosylation to Activate the Wnt/β-catenin Signaling Pathway.
Zhang J, Wang H, Wu J, Yuan C, Chen S, Liu S, Huo M, Zhang C, He Y
International journal of biological sciences 2022;18(16):6068-6083
International journal of biological sciences 2022;18(16):6068-6083
Characterization and subcellular localization of Alongshan virus proteins.
Zhao Y, Wu P, Liu L, Ma B, Pan M, Huang Y, Du N, Yu H, Sui L, Wang ZD, Hou Z, Liu Q
Frontiers in microbiology 2022;13:1000322
Frontiers in microbiology 2022;13:1000322
TM9SF4 is an F-actin disassembly factor that promotes tumor progression and metastasis.
Meng Z, Li Z, Xie M, Yu H, Jiang L, Yao X
Nature communications 2022 Sep 29;13(1):5728
Nature communications 2022 Sep 29;13(1):5728
Aberrant Cholesterol Metabolism and Wnt/β-Catenin Signaling Coalesce via Frizzled5 in Supporting Cancer Growth.
Zheng S, Lin J, Pang Z, Zhang H, Wang Y, Ma L, Zhang H, Zhang X, Chen M, Zhang X, Zhao C, Qi J, Cao L, Wang M, He X, Sheng R
Advanced science (Weinheim, Baden-Wurttemberg, Germany) 2022 Oct;9(28):e2200750
Advanced science (Weinheim, Baden-Wurttemberg, Germany) 2022 Oct;9(28):e2200750
Neural stem cell‑derived exosomes transfer miR‑124‑3p into cells to inhibit glioma growth by targeting FLOT2.
Qian C, Wang Y, Ji Y, Chen D, Wang C, Zhang G, Wang Y
International journal of oncology 2022 Oct;61(4)
International journal of oncology 2022 Oct;61(4)
TissUExM enables quantitative ultrastructural analysis in whole vertebrate embryos by expansion microscopy.
Steib E, Tetley R, Laine RF, Norris DP, Mao Y, Vermot J
Cell reports methods 2022 Oct 24;2(10):100311
Cell reports methods 2022 Oct 24;2(10):100311
Exosomes from Adipose Stem Cells Promote Diabetic Wound Healing through the eHSP90/LRP1/AKT Axis.
Ren S, Chen J, Guo J, Liu Y, Xiong H, Jing B, Yang X, Li G, Kang Y, Wang C, Xu X, Liu Z, Zhang M, Xiang K, Li C, Li Q, Machens HG, Chen Z
Cells 2022 Oct 14;11(20)
Cells 2022 Oct 14;11(20)
Selenoprotein K contributes to CD36 subcellular trafficking in hepatocytes by accelerating nascent COPII vesicle formation and aggravates hepatic steatosis.
You M, Wu F, Gao M, Chen M, Zeng S, Zhang Y, Zhao W, Li D, Wei L, Ruan XZ, Chen Y
Redox biology 2022 Nov;57:102500
Redox biology 2022 Nov;57:102500
"All-in-One" Exosome Engineering Strategy for Effective Therapy of Familial Hypercholesterolemia.
Mei R, Wan Z, Li Z, Wei M, Qin W, Yuan L, Liu L, Yang G
ACS applied materials & interfaces 2022 Nov 16;14(45):50626-50636
ACS applied materials & interfaces 2022 Nov 16;14(45):50626-50636
SARS-CoV-2 Causes Lung Inflammation through Metabolic Reprogramming and RAGE.
Allen CNS, Santerre M, Arjona SP, Ghaleb LJ, Herzi M, Llewellyn MD, Shcherbik N, Sawaya BE
Viruses 2022 May 6;14(5)
Viruses 2022 May 6;14(5)
SARS-CoV-2 accessory proteins ORF7a and ORF3a use distinct mechanisms to downregulate MHC-I surface expression.
Arshad N, Laurent-Rolle M, Ahmed WS, Hsu JC, Mitchell SM, Pawlak J, Sengupta D, Biswas KH, Cresswell P
bioRxiv : the preprint server for biology 2022 May 17;
bioRxiv : the preprint server for biology 2022 May 17;
Comparison of the Variability of Small Extracellular Vesicles Derived from Human Liver Cancer Tissues and Cultured from the Tissue Explants Based on a Simple Enrichment Method.
Chen J, Jiao Z, Mo J, Huang D, Li Z, Zhang W, Yang T, Zhao M, Xie F, Hu D, Wang X, Yi X, Jiang Y, Zhong T
Stem cell reviews and reports 2022 Mar;18(3):1067-1077
Stem cell reviews and reports 2022 Mar;18(3):1067-1077
MOSPD2 is an endoplasmic reticulum-lipid droplet tether functioning in LD homeostasis.
Zouiouich M, Di Mattia T, Martinet A, Eichler J, Wendling C, Tomishige N, Grandgirard E, Fuggetta N, Fromental-Ramain C, Mizzon G, Dumesnil C, Carpentier M, Reina-San-Martin B, Mathelin C, Schwab Y, Thiam AR, Kobayashi T, Drin G, Tomasetto C, Alpy F
The Journal of cell biology 2022 Jun 6;221(6)
The Journal of cell biology 2022 Jun 6;221(6)
Bunyavirus SFTSV exploits autophagic flux for viral assembly and egress.
Yan JM, Zhang WK, Yan LN, Jiao YJ, Zhou CM, Yu XJ
Autophagy 2022 Jul;18(7):1599-1612
Autophagy 2022 Jul;18(7):1599-1612
Exercise promotes angiogenesis by enhancing endothelial cell fatty acid utilization via liver-derived extracellular vesicle miR-122-5p.
Lou J, Wu J, Feng M, Dang X, Wu G, Yang H, Wang Y, Li J, Zhao Y, Shi C, Liu J, Zhao L, Zhang X, Gao F
Journal of sport and health science 2022 Jul;11(4):495-508
Journal of sport and health science 2022 Jul;11(4):495-508
ER proteins decipher the tubulin code to regulate organelle distribution.
Zheng P, Obara CJ, Szczesna E, Nixon-Abell J, Mahalingan KK, Roll-Mecak A, Lippincott-Schwartz J, Blackstone C
Nature 2022 Jan;601(7891):132-138
Nature 2022 Jan;601(7891):132-138
Visualizing the native cellular organization by coupling cryofixation with expansion microscopy (Cryo-ExM).
Laporte MH, Klena N, Hamel V, Guichard P
Nature methods 2022 Feb;19(2):216-222
Nature methods 2022 Feb;19(2):216-222
African Swine Fever Virus K205R Induces ER Stress and Consequently Activates Autophagy and the NF-κB Signaling Pathway.
Wang Q, Zhou L, Wang J, Su D, Li D, Du Y, Yang G, Zhang G, Chu B
Viruses 2022 Feb 15;14(2)
Viruses 2022 Feb 15;14(2)
Sonodynamical reversion of immunosuppressive microenvironment in prostate cancer via engineered exosomes.
Wang D, Wan Z, Yang Q, Chen J, Liu Y, Lu F, Tang J
Drug delivery 2022 Dec;29(1):702-713
Drug delivery 2022 Dec;29(1):702-713
Exosomes from Microvascular Endothelial Cells under Mechanical Unloading Inhibit Osteogenic Differentiation via miR-92b-3p/ELK4 Axis.
Zhang X, Zhang L, Xu L, Li G, Wang K, Xue T, Sun Q, Tang H, Cao X, Hu Z, Zhang S, Shi F
Journal of personalized medicine 2022 Dec 8;12(12)
Journal of personalized medicine 2022 Dec 8;12(12)
Exercise-derived peptide protects against pathological cardiac remodeling.
Yin A, Yuan R, Xiao Q, Zhang W, Xu K, Yang X, Yang W, Xu L, Wang X, Zhuang F, Li Y, Cai Z, Sun Z, Zhou B, He B, Shen L
EBioMedicine 2022 Aug;82:104164
EBioMedicine 2022 Aug;82:104164
A cryostat-based frozen section method to increase the yield of extracellular vesicles extracted from different tissues.
Yang S, Qin W, Li X, Guo Q, Wang Y, Chen J, Li H, Zhang S, Min L
BioTechniques 2022 Aug;73(2):90-98
BioTechniques 2022 Aug;73(2):90-98
c-Abl kinase-mediated phosphorylation of γ-tubulin promotes γ-tubulin ring complexes assembly and microtubule nucleation.
Wang GF, Dong Q, Bai Y, Gu J, Tao Q, Yue J, Zhou R, Niu X, Zhu L, Song C, Zheng T, Wang D, Jin Y, Liu H, Cao C, Liu X
The Journal of biological chemistry 2022 Apr;298(4):101778
The Journal of biological chemistry 2022 Apr;298(4):101778
LMAN1-MCFD2 complex is a cargo receptor for the ER-Golgi transport of α1-antitrypsin.
Zhang Y, Zhu M, Zheng C, Wei W, Emmer BT, Zhang B
The Biochemical journal 2022 Apr 14;479(7):839-855
The Biochemical journal 2022 Apr 14;479(7):839-855
Exosome-mediated delivery of inflammation-responsive Il-10 mRNA for controlled atherosclerosis treatment.
Bu T, Li Z, Hou Y, Sun W, Zhang R, Zhao L, Wei M, Yang G, Yuan L
Theranostics 2021;11(20):9988-10000
Theranostics 2021;11(20):9988-10000
Gβγ regulates mitotic Golgi fragmentation and G2/M cell cycle progression.
Rajanala K, Klayman LM, Wedegaertner PB
Molecular biology of the cell 2021 Oct 1;32(20):br2
Molecular biology of the cell 2021 Oct 1;32(20):br2
Extracellular vesicles-based pre-targeting strategy enables multi-modal imaging of orthotopic colon cancer and image-guided surgery.
Jing B, Qian R, Jiang D, Gai Y, Liu Z, Guo F, Ren S, Gao Y, Lan X, An R
Journal of nanobiotechnology 2021 May 22;19(1):151
Journal of nanobiotechnology 2021 May 22;19(1):151
EVs Containing Host Restriction Factor IFITM3 Inhibited ZIKV Infection of Fetuses in Pregnant Mice through Trans-placenta Delivery.
Zou X, Yuan M, Zhang T, Zheng N, Wu Z
Molecular therapy : the journal of the American Society of Gene Therapy 2021 Jan 6;29(1):176-190
Molecular therapy : the journal of the American Society of Gene Therapy 2021 Jan 6;29(1):176-190
Angiogenesis is promoted by exosomal DPP4 derived from 5-fluorouracil-resistant colon cancer cells.
Zheng X, Liu J, Li X, Tian R, Shang K, Dong X, Cao B
Cancer letters 2021 Jan 28;497:190-201
Cancer letters 2021 Jan 28;497:190-201
Receptor-Mediated ER Export of Lipoproteins Controls Lipid Homeostasis in Mice and Humans.
Wang X, Wang H, Xu B, Huang D, Nie C, Pu L, Zajac GJM, Yan H, Zhao J, Shi F, Emmer BT, Lu J, Wang R, Dong X, Dai J, Zhou W, Wang C, Gao G, Wang Y, Willer C, Lu X, Zhu Y, Chen XW
Cell metabolism 2021 Feb 2;33(2):350-366.e7
Cell metabolism 2021 Feb 2;33(2):350-366.e7
Identification of TRAMs as sphingolipid-binding proteins using a photoactivatable and clickable short-chain ceramide analog.
Deng Y, You L, Lu Y, Han S, Wang J, Vicas N, Chen C, Ye J
The Journal of biological chemistry 2021 Dec;297(6):101415
The Journal of biological chemistry 2021 Dec;297(6):101415
Human umbilical vein endothelial cells derived-exosomes promote osteosarcoma cell stemness by activating Notch signaling pathway.
Yang J, Hu Y, Wang L, Sun X, Yu L, Guo W
Bioengineered 2021 Dec;12(2):11007-11017
Bioengineered 2021 Dec;12(2):11007-11017
Smart exosomes with lymph node homing and immune-amplifying capacities for enhanced immunotherapy of metastatic breast cancer.
Ji P, Yang Z, Li H, Wei M, Yang G, Xing H, Li Q
Molecular therapy. Nucleic acids 2021 Dec 3;26:987-996
Molecular therapy. Nucleic acids 2021 Dec 3;26:987-996
TMEM41B acts as an ER scramblase required for lipoprotein biogenesis and lipid homeostasis.
Huang D, Xu B, Liu L, Wu L, Zhu Y, Ghanbarpour A, Wang Y, Chen FJ, Lyu J, Hu Y, Kang Y, Zhou W, Wang X, Ding W, Li X, Jiang Z, Chen J, Zhang X, Zhou H, Li JZ, Guo C, Zheng W, Zhang X, Li P, Melia T, Reinisch K, Chen XW
Cell metabolism 2021 Aug 3;33(8):1655-1670.e8
Cell metabolism 2021 Aug 3;33(8):1655-1670.e8
Cell-specific expression of functional glucose transporter 8 in mammary gland.
Mardones L, Muñoz K, Villagrán M
Biochemical and biophysical research communications 2021 Aug 27;567:125-130
Biochemical and biophysical research communications 2021 Aug 27;567:125-130
An mTORC1-GRASP55 signaling axis controls unconventional secretion to reshape the extracellular proteome upon stress.
Nüchel J, Tauber M, Nolte JL, Mörgelin M, Türk C, Eckes B, Demetriades C, Plomann M
Molecular cell 2021 Aug 19;81(16):3275-3293.e12
Molecular cell 2021 Aug 19;81(16):3275-3293.e12
Exosomes derived from 5-fluorouracil-resistant colon cancer cells are enriched in GDF15 and can promote angiogenesis.
Zheng X, Ma N, Wang X, Hu J, Ma X, Wang J, Cao B
Journal of Cancer 2020;11(24):7116-7126
Journal of Cancer 2020;11(24):7116-7126
Liquid Biopsy of Extracellular Vesicle-Derived miR-193a-5p in Colorectal Cancer and Discovery of Its Tumor-Suppressor Functions.
Wei R, Chen L, Qin D, Guo Q, Zhu S, Li P, Min L, Zhang S
Frontiers in oncology 2020;10:1372
Frontiers in oncology 2020;10:1372
Fusion protein engineered exosomes for targeted degradation of specific RNAs in lysosomes: a proof-of-concept study.
Li Z, Zhou X, Gao X, Bai D, Dong Y, Sun W, Zhao L, Wei M, Yang X, Yang G, Yuan L
Journal of extracellular vesicles 2020 Sep 6;9(1):1816710
Journal of extracellular vesicles 2020 Sep 6;9(1):1816710
Loss of GM130 does not impair oocyte meiosis and embryo development in mice.
Jiang Y, Liu Y, Han F, Zhou J, Zhang X, Xu J, Yu Z, Zhao S, Gao F, Zhao H
Biochemical and biophysical research communications 2020 Nov 12;532(3):336-340
Biochemical and biophysical research communications 2020 Nov 12;532(3):336-340
BMSCs-Derived Exosomes Ameliorate Pain Via Abrogation of Aberrant Nerve Invasion in Subchondral Bone in Lumbar Facet Joint Osteoarthritis.
Li J, Ding Z, Li Y, Wang W, Wang J, Yu H, Liu A, Miao J, Chen S, Wu T, Cao Y
Journal of orthopaedic research : official publication of the Orthopaedic Research Society 2020 Mar;38(3):670-679
Journal of orthopaedic research : official publication of the Orthopaedic Research Society 2020 Mar;38(3):670-679
MACF1 promotes preosteoblast migration by mediating focal adhesion turnover through EB1.
Su P, Yin C, Li D, Yang C, Wang X, Pei J, Tian Y, Qian A
Biology open 2020 Mar 24;9(3)
Biology open 2020 Mar 24;9(3)
Mast cells-derived MiR-223 destroys intestinal barrier function by inhibition of CLDN8 expression in intestinal epithelial cells.
Li M, Zhao J, Cao M, Liu R, Chen G, Li S, Xie Y, Xie J, Cheng Y, Huang L, Su M, Xu Y, Zheng M, Zou K, Geng L, Xu W, Gong S
Biological research 2020 Mar 24;53(1):12
Biological research 2020 Mar 24;53(1):12
Improved secretion of glycoproteins using an N-glycan-restricted passport sequence tag recognized by cargo receptor.
Yagi H, Yagi-Utsumi M, Honda R, Ohta Y, Saito T, Nishio M, Ninagawa S, Suzuki K, Anzai T, Kamiya Y, Aoki K, Nakanishi M, Satoh T, Kato K
Nature communications 2020 Mar 13;11(1):1368
Nature communications 2020 Mar 13;11(1):1368
Identification of interaction domains in the pseudorabies virus ribonucleotide reductase large and small subunits.
Lyu C, Li WD, Peng JM, Cai XH
Veterinary microbiology 2020 Jul;246:108740
Veterinary microbiology 2020 Jul;246:108740
CBS homogenization mutation strategy narrows the glycan binding profile of a GlcNAc-specific lectin AANL.
Su Y, Ye X, Xu B, Li Y, Yang Q, Yu W, Song J, Guo C, Wang X, Hart GW, Sun H
Glycobiology 2020 Feb 19;30(3):159-173
Glycobiology 2020 Feb 19;30(3):159-173
Exosome-mediated Hic-5 regulates proliferation and apoptosis of osteosarcoma via Wnt/β-catenin signal pathway.
Sha L, Ma D, Chen C
Aging 2020 Dec 13;12(23):23598-23608
Aging 2020 Dec 13;12(23):23598-23608
Identification and Verification of Two Novel Differentially Expressed Proteins from Non-neoplastic Mucosa and Colorectal Carcinoma Via iTRAQ Combined with Liquid Chromatography-Mass Spectrometry.
Bai Y, Wang J, Gao Z, Dai E
Pathology oncology research : POR 2020 Apr;26(2):967-976
Pathology oncology research : POR 2020 Apr;26(2):967-976
Host BAG3 Is Degraded by Pseudorabies Virus pUL56 C-Terminal (181)L-(185)L and Plays a Negative Regulation Role during Viral Lytic Infection.
Lyu C, Li WD, Wang SW, Peng JM, Yang YB, Tian ZJ, Cai XH
International journal of molecular sciences 2020 Apr 29;21(9)
International journal of molecular sciences 2020 Apr 29;21(9)
Extracellular vesicles expressing a single-chain variable fragment of an HIV-1 specific antibody selectively target Env(+) tissues.
Zou X, Yuan M, Zhang T, Wei H, Xu S, Jiang N, Zheng N, Wu Z
Theranostics 2019;9(19):5657-5671
Theranostics 2019;9(19):5657-5671
Antitumor Potential of Extracellular Vesicles Released by Genetically Modified Murine Colon Carcinoma Cells With Overexpression of Interleukin-12 and shRNA for TGF-β1.
Rossowska J, Anger N, Wegierek K, Szczygieł A, Mierzejewska J, Milczarek M, Szermer-Olearnik B, Pajtasz-Piasecka E
Frontiers in immunology 2019;10:211
Frontiers in immunology 2019;10:211
Tumor-derived exosomal miRNA-320d as a biomarker for metastatic colorectal cancer.
Tang Y, Zhao Y, Song X, Song X, Niu L, Xie L
Journal of clinical laboratory analysis 2019 Nov;33(9):e23004
Journal of clinical laboratory analysis 2019 Nov;33(9):e23004
Golgi apparatus fragmentation participates in oxidized low-density lipoprotein-induced endothelial cell injury.
Ji G, Song X, Wang L, Li Z, Wu H, Dong H
Journal of cellular biochemistry 2019 Nov;120(11):18862-18870
Journal of cellular biochemistry 2019 Nov;120(11):18862-18870
Genetically Encoded FapR-NLuc as a Biosensor to Determine Malonyl-CoA in Situ at Subcellular Scales.
Du Y, Hu H, Pei X, Du K, Wei T
Bioconjugate chemistry 2019 Mar 20;30(3):826-832
Bioconjugate chemistry 2019 Mar 20;30(3):826-832
Impaired Bone Regenerative Effect of Exosomes Derived from Bone Marrow Mesenchymal Stem Cells in Type 1 Diabetes.
Zhu Y, Jia Y, Wang Y, Xu J, Chai Y
Stem cells translational medicine 2019 Jun;8(6):593-605
Stem cells translational medicine 2019 Jun;8(6):593-605
A GFP-tagged version of the pseudorabies virus protein UL56 localizes to the Golgi and trans-Golgi network through a predicted C-terminal leucine-rich helix in transfected cells.
Lyu C, Cai X
Virology journal 2019 Jun 20;16(1):81
Virology journal 2019 Jun 20;16(1):81
Exosomal miR-1229 derived from colorectal cancer cells promotes angiogenesis by targeting HIPK2.
Hu HY, Yu CH, Zhang HH, Zhang SZ, Yu WY, Yang Y, Chen Q
International journal of biological macromolecules 2019 Jul 1;132:470-477
International journal of biological macromolecules 2019 Jul 1;132:470-477
Exosomes from human adipose-derived stem cells promote sciatic nerve regeneration via optimizing Schwann cell function.
Chen J, Ren S, Duscher D, Kang Y, Liu Y, Wang C, Yuan M, Guo G, Xiong H, Zhan P, Wang Y, Machens HG, Chen Z
Journal of cellular physiology 2019 Dec;234(12):23097-23110
Journal of cellular physiology 2019 Dec;234(12):23097-23110
Microglia Express Mu Opioid Receptor: Insights From Transcriptomics and Fluorescent Reporter Mice.
Maduna T, Audouard E, Dembélé D, Mouzaoui N, Reiss D, Massotte D, Gaveriaux-Ruff C
Frontiers in psychiatry 2018;9:726
Frontiers in psychiatry 2018;9:726
Cholesterol Homeostatic Regulator SCAP-SREBP2 Integrates NLRP3 Inflammasome Activation and Cholesterol Biosynthetic Signaling in Macrophages.
Guo C, Chi Z, Jiang D, Xu T, Yu W, Wang Z, Chen S, Zhang L, Liu Q, Guo X, Zhang X, Li W, Lu L, Wu Y, Song BL, Wang D
Immunity 2018 Nov 20;49(5):842-856.e7
Immunity 2018 Nov 20;49(5):842-856.e7
Single-Cell Analysis of the Impact of Host Cell Heterogeneity on Infection with Foot-and-Mouth Disease Virus.
Xin X, Wang H, Han L, Wang M, Fang H, Hao Y, Li J, Zhang H, Zheng C, Shen C
Journal of virology 2018 May 1;92(9)
Journal of virology 2018 May 1;92(9)
A Golgi Lipid Signaling Pathway Controls Apical Golgi Distribution and Cell Polarity during Neurogenesis.
Xie Z, Hur SK, Zhao L, Abrams CS, Bankaitis VA
Developmental cell 2018 Mar 26;44(6):725-740.e4
Developmental cell 2018 Mar 26;44(6):725-740.e4
Sam50 Regulates PINK1-Parkin-Mediated Mitophagy by Controlling PINK1 Stability and Mitochondrial Morphology.
Jian F, Chen D, Chen L, Yan C, Lu B, Zhu Y, Chen S, Shi A, Chan DC, Song Z
Cell reports 2018 Jun 5;23(10):2989-3005
Cell reports 2018 Jun 5;23(10):2989-3005
Identification of MOSPD2, a novel scaffold for endoplasmic reticulum membrane contact sites.
Di Mattia T, Wilhelm LP, Ikhlef S, Wendling C, Spehner D, Nominé Y, Giordano F, Mathelin C, Drin G, Tomasetto C, Alpy F
EMBO reports 2018 Jul;19(7)
EMBO reports 2018 Jul;19(7)
Autophagy defects and related genetic variations in renal cell carcinoma with eosinophilic cytoplasmic inclusions.
Yu Z, Ma J, Li X, Liu Y, Li M, Wang L, Zhao M, He H, Zhang Y, Rao Q, Zhao D, Wang Y, Fan L, Li P, Liu Y, Liu F, Zhang F, Ye J, Yan Q, Guo S, Wang Z
Scientific reports 2018 Jul 2;8(1):9972
Scientific reports 2018 Jul 2;8(1):9972
Protein kinase D at the Golgi controls NLRP3 inflammasome activation.
Zhang Z, Meszaros G, He WT, Xu Y, de Fatima Magliarelli H, Mailly L, Mihlan M, Liu Y, Puig Gámez M, Goginashvili A, Pasquier A, Bielska O, Neven B, Quartier P, Aebersold R, Baumert TF, Georgel P, Han J, Ricci R
The Journal of experimental medicine 2017 Sep 4;214(9):2671-2693
The Journal of experimental medicine 2017 Sep 4;214(9):2671-2693
ESCRT-I Protein Tsg101 Plays a Role in the Post-macropinocytic Trafficking and Infection of Endothelial Cells by Kaposi's Sarcoma-Associated Herpesvirus.
Kumar B, Dutta D, Iqbal J, Ansari MA, Roy A, Chikoti L, Pisano G, Veettil MV, Chandran B
PLoS pathogens 2016 Oct;12(10):e1005960
PLoS pathogens 2016 Oct;12(10):e1005960
Quantitative proteomic analysis identifies new effectors of FOXM1 involved in breast cancer cell migration.
Ye X, Zhang Y, He B, Meng Y, Li Y, Gao Y
International journal of clinical and experimental pathology 2015;8(12):15836-44
International journal of clinical and experimental pathology 2015;8(12):15836-44
Characterization and proteomic analysis of ovarian cancer-derived exosomes.
Liang B, Peng P, Chen S, Li L, Zhang M, Cao D, Yang J, Li H, Gui T, Li X, Shen K
Journal of proteomics 2013 Mar 27;80:171-82
Journal of proteomics 2013 Mar 27;80:171-82
A novel non-canonical mechanism of regulation of MST3 (mammalian Sterile20-related kinase 3).
Fuller SJ, McGuffin LJ, Marshall AK, Giraldo A, Pikkarainen S, Clerk A, Sugden PH
The Biochemical journal 2012 Mar 15;442(3):595-610
The Biochemical journal 2012 Mar 15;442(3):595-610
Therapeutic potential for phenytoin: targeting Na(v)1.5 sodium channels to reduce migration and invasion in metastatic breast cancer.
Yang M, Kozminski DJ, Wold LA, Modak R, Calhoun JD, Isom LL, Brackenbury WJ
Breast cancer research and treatment 2012 Jul;134(2):603-15
Breast cancer research and treatment 2012 Jul;134(2):603-15
No comments: Submit comment
Supportive validation
- Submitted by
- Proteintech Group (provider)
- Main image

- Experimental details
- HEK-293 cells were subjected to SDS PAGE followed by western blot with 11308-1-AP(GOLGA2,GM130 antibody) at dilution of 1:1000
- Sample type
- cell line
Supportive validation
- Submitted by
- Proteintech Group (provider)
- Main image

- Experimental details
- The GOLGA2/GM130 antibody from Proteintech is a rabbit polyclonal antibody to a recombinant protein of human GOLGA2/GM130. This antibody recognizes human,mouse,rat antigen. The GOLGA2/GM130 antibody has been validated for the following applications: ELISA, WB, IHC, IF analysis.
Supportive validation
- Submitted by
- Proteintech Group (provider)
- Main image

- Experimental details
- Immunohistochemical of paraffin-embedded human testis using 11308-1-AP(GOLGA2,GM130 antibody) at dilution of 1:100 (under 10x lens)
- Sample type
- tissue
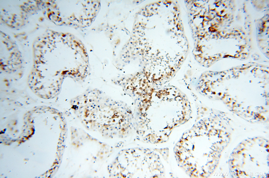
- Submitted by
- Proteintech Group (provider)
- Main image

- Experimental details
- Immunohistochemical of paraffin-embedded human testis using 11308-1-AP(GOLGA2,GM130 antibody) at dilution of 1:100 (under 40x lens)
- Sample type
- tissue