Antibody data
- Antibody Data
- Antigen structure
- References [0]
- Comments [0]
- Validations
- Immunohistochemistry [3]
Submit
Validation data
Reference
Comment
Report error
- Product number
- AP31198PU-N - Provider product page

- Provider
- OriGene
- Product name
- Gemin 2 (GEMIN2) (C-term) rabbit polyclonal antibody, Purified
- Antibody type
- Polyclonal
- Description
- Gemin 2 (GEMIN2) (C-term) rabbit polyclonal antibody, Purified
- Host
- Rabbit
- Conjugate
- Unconjugated
- Epitope
- GEMIN2
- Isotype
- IgG
- Antibody clone number
- NULL
- Vial size
- 50 µg
- Concentration
- NULL
No comments: Submit comment
Supportive validation
- Submitted by
- OriGene (provider)
- Main image

- Experimental details
- Human Tonsil: Formalin-Fixed, Paraffin-Embedded (FFPE)
- Validation comment
- IHC
- Submitted by
- OriGene (provider)
- Main image

- Experimental details
- Human Thymus: Formalin-Fixed, Paraffin-Embedded (FFPE)
- Validation comment
- IHC
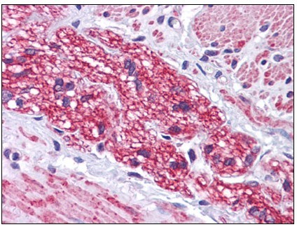
- Submitted by
- OriGene (provider)
- Main image

- Experimental details
- Human Colon, Nerve: Formalin-Fixed, Paraffin-Embedded (FFPE)
- Validation comment
- IHC